医影在线
标题: CT22427:头痛 [打印本页]
作者: shijunhuai 时间: 2009-9-30 01:32
标题: CT22427:头痛
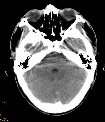
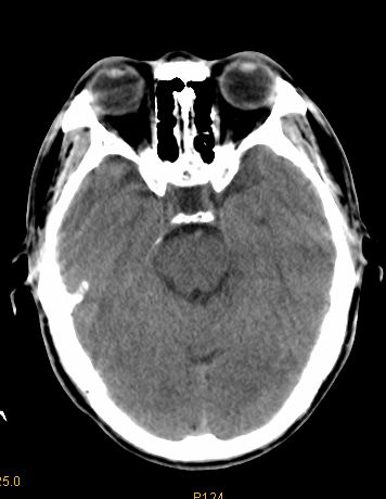
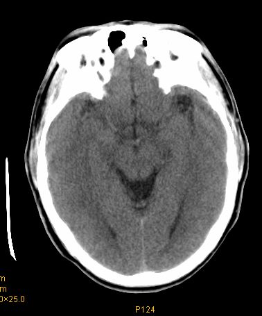
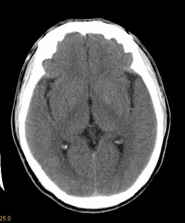
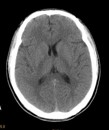
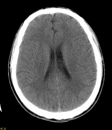
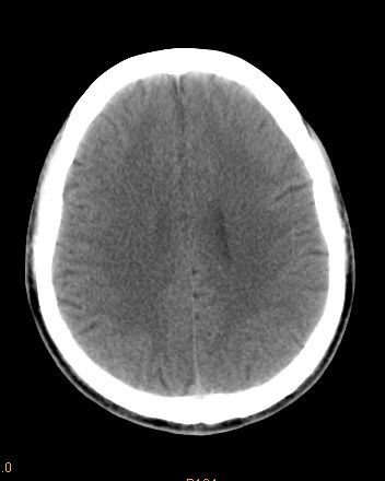
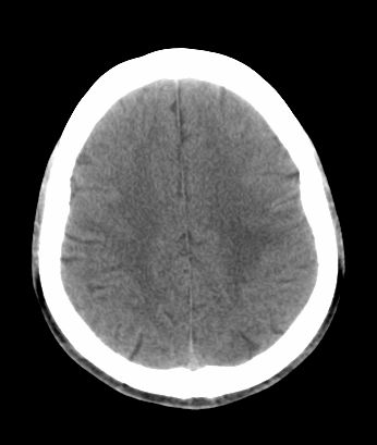
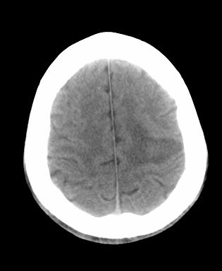
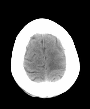
男 42岁 头痛20天










[emb28]
[本贴已被 shijunhuai 于 2009-9-29 20:48:14 修改过]
[本贴已被 翁志蓬 于 2009-9-29 21:14:19 修改过]
作者: wlq66556 时间: 2009-9-30 02:35
转移瘤
作者: 731208 时间: 2009-9-30 02:51
转移瘤?胶质瘤?建议增强或mri进一步检查。
作者: 卜一 时间: 2009-9-30 03:07
建议增强或mri进一步检查。
作者: 初学者LANMEI 时间: 2009-9-30 03:22
建议增强或mri进一步检查
作者: sxz2001 时间: 2009-9-30 04:04
标题: 回复:头痛
以下是引用初学者lanmei在2009-9-29 19:22:00的发言:[br]建议增强或mri进一步检查
支持
作者: 泪洒红尘 时间: 2009-9-30 04:08
左顶叶占位,不排除转移瘤,建议进一步检查。
作者: yzt222 时间: 2009-9-30 04:20
考虑转移瘤
作者: 快乐工作者 时间: 2009-9-30 04:47
左顶叶见片状低密度影,边界不清,内见斑片状等密度影。考虑转移性肿瘤可能性大,建议ct增强或mr增强扫描。建议胸部检查,排除肺部病变。
作者: liu.hui.yang 时间: 2009-9-30 05:00
标题: 回复:头痛
以下是引用初学者lanmei在2009-9-29 19:22:00的发言:[br]建议增强或mri进一步检查
作者: dyqct 时间: 2009-9-30 05:22
建议增强或mri进一步检查。
作者: zhangling 时间: 2009-9-30 05:29
建议增强或mri进一步检查。
作者: 天海 时间: 2009-9-30 05:56
左顶叶见片状低密度影,内似见结节状略高密度影,建议增强扫描。
作者: 江广1996 时间: 2009-9-30 08:19
胶质瘤?建议增强或mri进一步检查
作者: bmw011 时间: 2009-9-30 08:42
标题: 回复:ct22427:头痛
以下是引用快乐工作者在2009-9-29 20:47:00的发言:[br]左顶叶见片状低密度影,边界不清,内见斑片状等密度影。考虑转移性肿瘤可能性大,建议ct增强或mr增强扫描。建议胸部检查,排除肺部病变。
作者: 健力宝 时间: 2009-9-30 09:19
标题: 回复:ct22427:头痛
以下是引用bmw011在2009-9-30 0:42:00的发言:[br][quote]以下是引用快乐工作者在2009-9-29 20:47:00的发言:[br]左顶叶见片状低密度影,边界不清,内见斑片状等密度影。考虑转移性肿瘤可能性大,建议ct增强或mr增强扫描。建议胸部检查,排除肺部病变。
[br][/quote]
作者: 随光逐影 时间: 2009-9-30 15:39
左侧顶叶低密度灶,性质待定;建议行ct增强扫描或mri检查。
作者: shijunhuai 时间: 2009-9-30 15:41
胸部ct未见异常。
作者: 施明 时间: 2009-9-30 15:49
占位
作者: shibing 时间: 2009-9-30 15:50
左顶叶见片状低密度影,边界不清,内见斑片状等密度影。考虑转移性肿瘤可能性大,建议ct增强或mr增强扫描。建议胸部检查,排除肺部周围型腺癌。
作者: mqagl 时间: 2009-9-30 16:06
支持
作者: shijunhuai 时间: 2009-9-30 16:11
标题: 回复:ct22427:头痛
胸部ct未见异常
作者: 987654zwf 时间: 2009-9-30 16:46
左顶叶占位,建议进一步检查。
作者: 王仕学 时间: 2009-9-30 16:54
建议增强或mri
作者: 深泽交通 时间: 2009-9-30 17:04
支持左顶叶转移瘤
作者: zjzjr 时间: 2009-9-30 17:11
建议增强或mri进一步检查
作者: LIAOQIANG 时间: 2009-9-30 17:12
左侧顶叶低密度灶,性质?建议行ct增强扫描或mri检查。
作者: zxl51642 时间: 2009-9-30 17:44
左侧顶叶低密度灶,胶质瘤或转移瘤,建议ct增强扫描或mri检查。
作者: scdlc2008 时间: 2009-9-30 18:35
支持左顶叶转移瘤
作者: shijunhuai 时间: 2009-9-30 19:38
标题: 回复:ct22427:头痛
胸部ct扫描未见异常
作者: 初学者LANMEI 时间: 2009-9-30 20:33
转移瘤?胶质瘤?建议增强或mri进一步检查。
作者: shijunhuai 时间: 2009-9-30 21:10
标题: 回复:ct22427:头痛
没有原发病灶
作者: 初学者LANMEI 时间: 2009-9-30 21:15
建议增强或mri进一步检查
作者: 黑白光影 时间: 2009-9-30 21:36
转移瘤?胶质瘤?建议增强或mri进一步检查。
| 欢迎光临 医影在线 (http://bbs.radida.com/bbs/) |
Powered by Discuz! X3.2 |