医影在线

标题: 近期腹胀明显 [打印本页]

作者: yjr1217    时间: 2009-9-30 03:22
标题: 近期腹胀明显
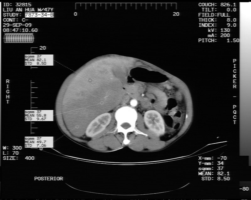
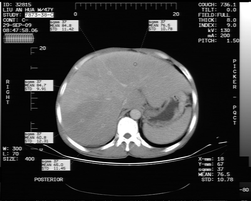
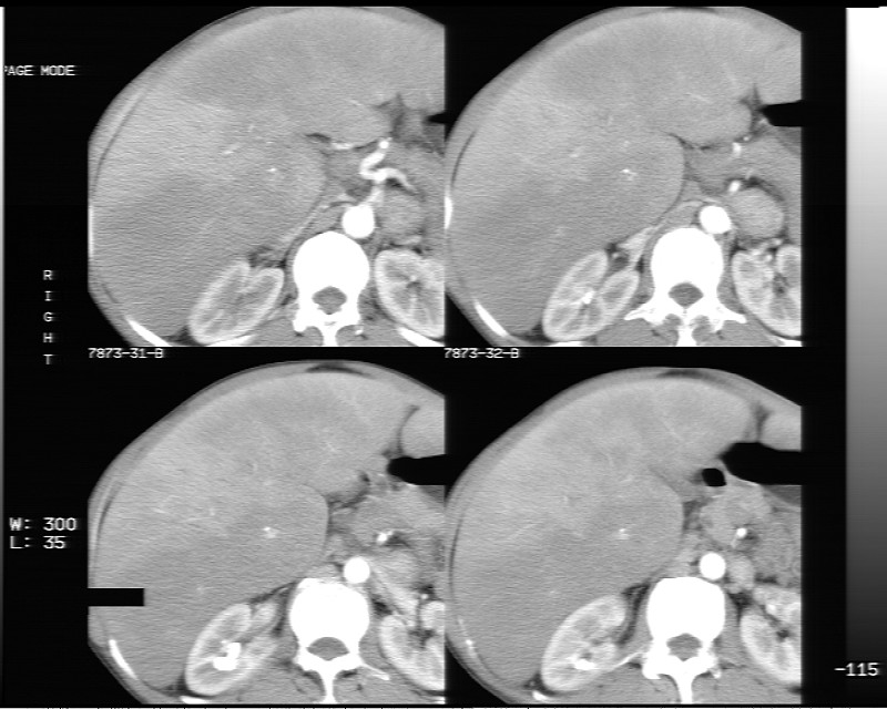
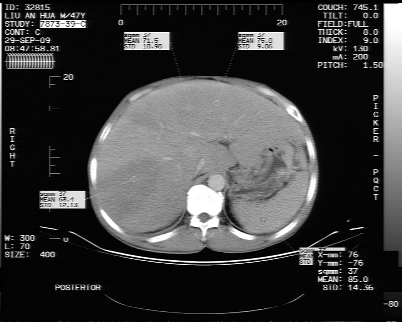
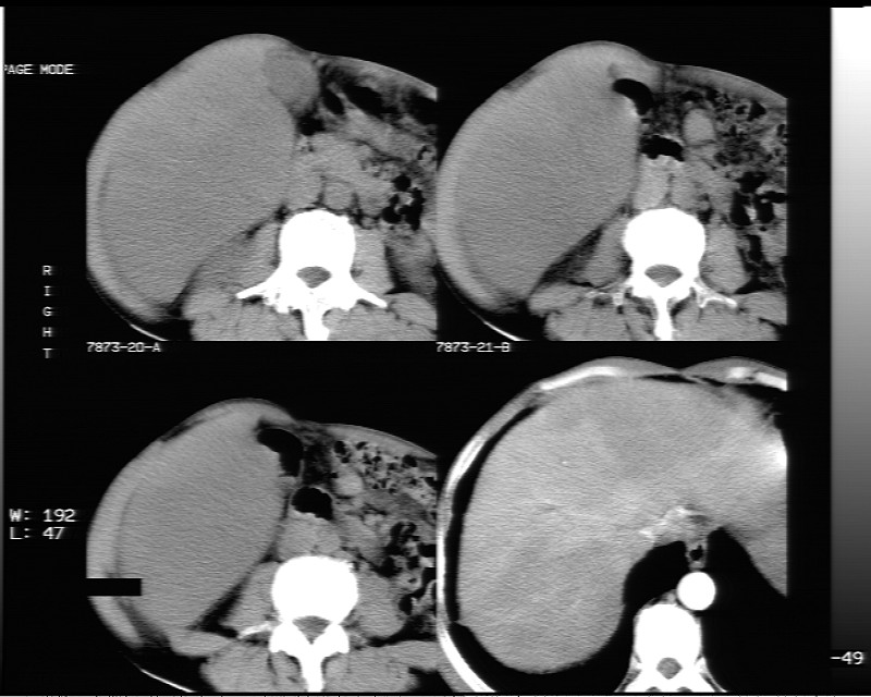
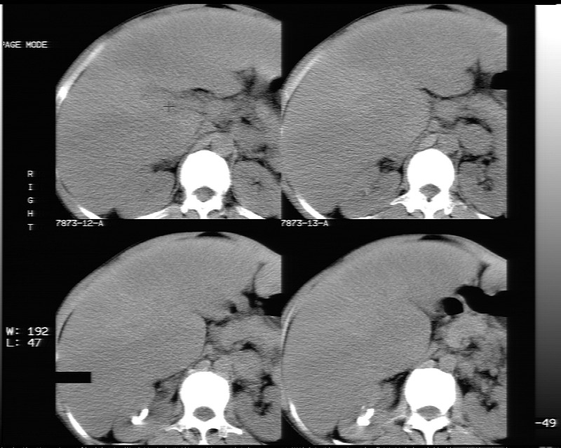
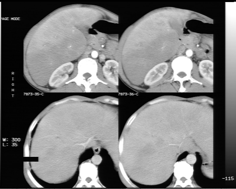
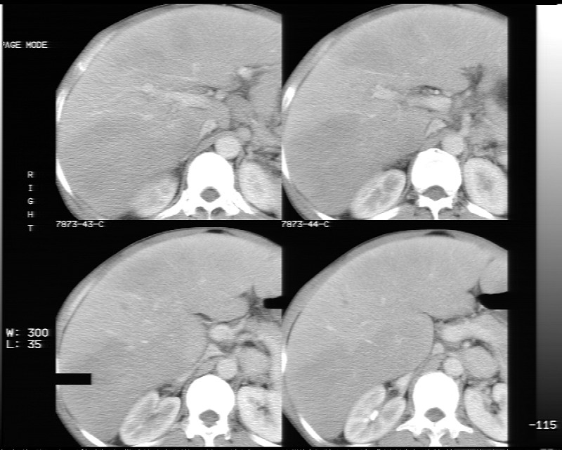
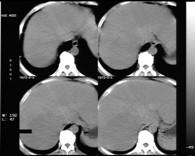
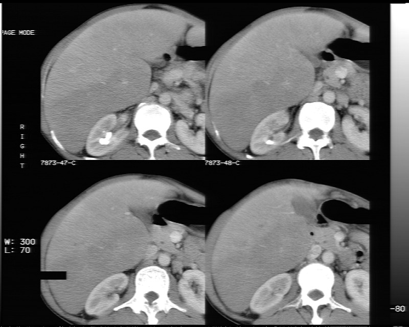
平扫示:





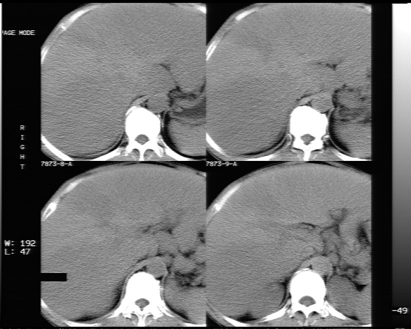
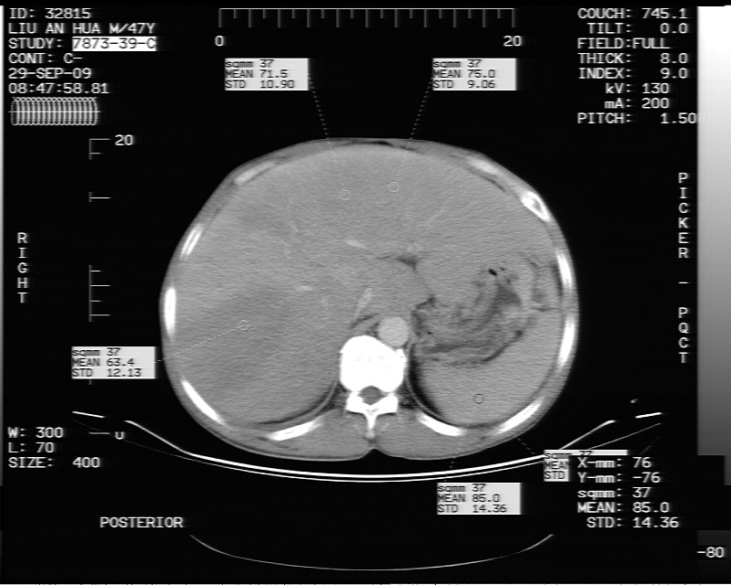
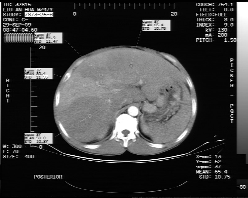
动态增强示:










作者: whzht    时间: 2009-9-30 03:26
脂肪肝。
作者: 六月天    时间: 2009-9-30 03:34
局灶性脂肪肝
作者: 泪洒红尘    时间: 2009-9-30 03:59
支持局灶性脂肪肝
作者: 春夜喜雨    时间: 2009-9-30 03:59
脂肪肝
作者: yzt222    时间: 2009-9-30 04:18
肝脏也太大了吧
作者: 小淘气2006    时间: 2009-9-30 04:21
我想也是脂肪肝。
作者: mlfx123321    时间: 2009-9-30 04:53
不均匀性脂肪肝
作者: dyqct    时间: 2009-9-30 05:17
不均匀性脂肪肝 。支持!
作者: dengkai    时间: 2009-9-30 08:28
不均匀性脂肪肝 。支持!
作者: bmw011    时间: 2009-9-30 08:35
脂肪肝肯定有,会不会合并有急性肝炎?
作者: 健力宝    时间: 2009-9-30 09:13
标题: 回复:近期腹胀明显
以下是引用bmw011在2009-9-30 0:35:00的发言:[br]脂肪肝肯定有,会不会合并有急性肝炎?[br]

作者: shibing    时间: 2009-9-30 16:00
非均质性脂肪肝。
作者: 施明    时间: 2009-9-30 16:06
脂肪肝 好图
作者: 随光逐影    时间: 2009-9-30 16:09
不均匀性脂肪肝。
作者: 王仕学    时间: 2009-9-30 16:42
不均匀性脂肪肝 。支持!
作者: 深泽交通    时间: 2009-9-30 16:47
支持脂肪肝【无占位性,高低密度区同期强化,平扫与强化的密度成比例】
作者: LIAOQIANG    时间: 2009-9-30 17:01
不均匀性脂肪肝。肝脏体积稍大,不除外合并肝功能损害。
作者: 求知若渴    时间: 2009-9-30 17:06
1.脂肪肝;
2.右肾结石。
作者: zjzjr    时间: 2009-9-30 17:17
不均匀性脂肪肝 。支持!
作者: 朦胧女孩    时间: 2009-9-30 18:15
不均匀性脂肪肝 。支持!
作者: 蒂萨    时间: 2009-9-30 18:55
不均匀性脂肪肝 。支持!右肾结石
作者: songyi    时间: 2009-9-30 19:20
不均匀性脂肪肝 。支持!
作者: zxl51642    时间: 2009-9-30 19:35
1、不均匀脂肪肝;2、布加氏综合症(肝脏肿大,门脉纤细,下腔海绵状变性,肠系膜上静脉显著扩张)。
作者: 黑白光影    时间: 2009-9-30 21:41
支持大家




欢迎光临 医影在线 (http://bbs.radida.com/bbs/) Powered by Discuz! X3.2