医影在线
标题: CT22439:腰椎低密度病灶(腰椎血管瘤) [打印本页]
作者: shijunhuai 时间: 2009-9-30 19:56
标题: CT22439:腰椎低密度病灶(腰椎血管瘤)
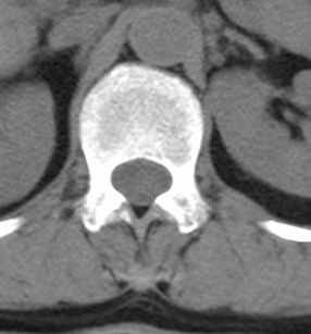
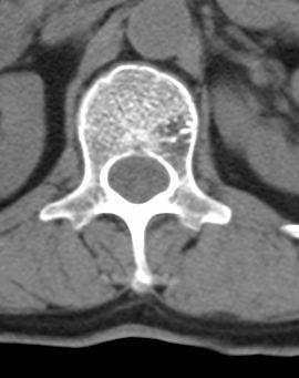
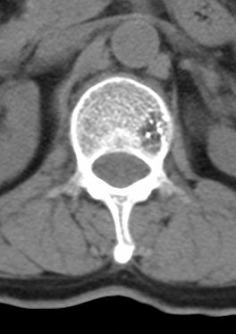
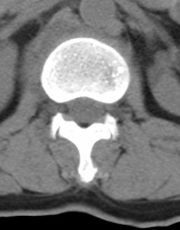
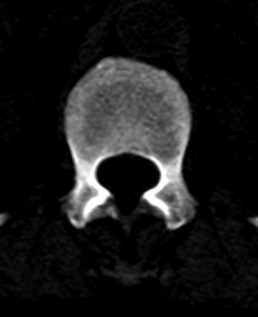
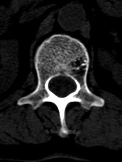
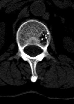
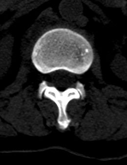
患者 女 54岁 外伤后检查发现l1椎体局部密度减低,请问这是什么病灶?








[本贴已被 翁志蓬 于 2009-9-30 21:37:55 修改过]
[emb7][emb6][emb26]
[本贴已被 shijunhuai 于 2009-10-1 12:13:01 修改过]
作者: songyi 时间: 2009-9-30 20:32
考虑腰椎血管瘤
作者: dengkai 时间: 2009-9-30 20:36
拟诊:血管瘤
作者: bmw011 时间: 2009-9-30 20:47
考虑腰椎血管瘤
作者: zxl51642 时间: 2009-9-30 20:51
椎体小血管瘤,可排除骨母。
作者: 杀毒软件 时间: 2009-9-30 20:55
同意
作者: 道哥 时间: 2009-9-30 21:59
椎体内部局限性骨小梁稀疏、粗大改变,周围未见软组织肿块,首先考虑椎体血管瘤。
作者: 黑白光影 时间: 2009-9-30 22:00
支持大家。
作者: 施明 时间: 2009-9-30 22:23
选择题 椎体最长见的良性肿瘤1 2 3 4 血管瘤
作者: 卜一 时间: 2009-9-30 22:26
椎体小血管瘤!支持!
作者: jiahui7z 时间: 2009-9-30 22:40
考虑腰椎血管瘤
作者: zjzjr 时间: 2009-9-30 23:04
腰椎血管瘤
作者: zgb5618 时间: 2009-9-30 23:50
血管瘤
作者: 随光逐影 时间: 2009-10-1 01:57
l1椎体血管瘤可能性大;建议必要时行mri检查。
作者: zsl6918 时间: 2009-10-1 03:40
考虑腰椎小血管瘤
作者: dr.yang 时间: 2013-3-27 11:52
椎体小血管瘤
| 欢迎光临 医影在线 (http://bbs.radida.com/bbs/) |
Powered by Discuz! X3.2 |