医影在线

标题: CT22461:腰外伤请会诊 [打印本页]

作者: 王靖旗    时间: 2009-10-3 04:51
标题: CT22461:腰外伤请会诊
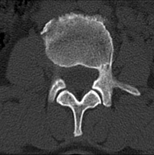
女、49、腰外伤请会诊,是永纯骨骺还是骨折,新鲜还是陈旧。如何鉴别?



















[本贴已被 翁志蓬 于 2009-10-3 1:59:35 修改过]

作者: 健力宝    时间: 2009-10-3 05:36
永存骨骺
作者: liuqiang    时间: 2009-10-3 06:09
骨折,前面见骨折线影。
作者: 影象小泰斗    时间: 2009-10-3 07:09
考虑永存骨骺。
作者: zbp537    时间: 2009-10-3 07:13
永存骨骺
作者: dyqct    时间: 2009-10-3 07:20
考虑永存骨骺。
作者: 光线    时间: 2009-10-3 07:34
考虑永存骨骺。
作者: doc张    时间: 2009-10-3 07:39
椎缘骨。
作者: zsl6918    时间: 2009-10-3 08:11
退变
作者: yuhongjun    时间: 2009-10-3 14:40
腰椎退行性改变,不考虑骨折,椎体内没有明显改变,其前缘考虑增生或前纵韧带钙化。
作者: 随光逐影    时间: 2009-10-3 16:21
椎缘骨——椎间盘突出所致。
作者: 黑白光影    时间: 2009-10-3 16:48
标题: 回复:ct22461:腰外伤请会诊
以下是引用随光逐影在2009-10-3 8:21:00的发言:[br]椎缘骨——椎间盘突出所致。

作者: shijunhuai    时间: 2009-10-3 17:08
永存骨骺。
作者: z13511933102z    时间: 2009-10-3 17:16
骨骺,二次骨化中心。
作者: 深泽交通    时间: 2009-10-3 17:35
考虑退行性变导致的软组织硬化【周围有明显的骨质增生】
作者: cainiao003    时间: 2009-10-3 17:39
支持椎缘骨.引用::椎缘骨(vertebral anterior marginal cartilage node)在腰椎影像检查中经常会遇到,多见于椎体前上角,次为前下角,偶见于后上角,罕有发生于椎体侧缘者。发病机制学说不一,包括外伤、永存骨骺及椎间盘突出等学说。以后者最多见,椎体软骨板和(或)椎体骨骺交界处存在薄弱区,在异常外力的作用下诱发髓核突出,使得椎体骨骺与椎体分离,形成三角形骨块。
作者: 王加美    时间: 2009-10-3 17:43
多半是永存骨。非要鉴别就去mri有一定的临床意义。
作者: zjzjr    时间: 2009-10-3 17:48
椎缘骨。
作者: shibing    时间: 2009-10-3 18:23
不能再叫永存骨骺,只有发生在椎体前缘是椎缘骨,而发生椎体后缘叫椎体后缘骨内软骨节结。
作者: zxl51642    时间: 2009-10-3 18:30
永存骨骺。
作者: 卜一    时间: 2009-10-3 22:53
腰椎退行性改变,不考虑骨折,椎体内没有明显改变,其前缘考虑增生或前纵韧带钙化。支持!
作者: 流星1234    时间: 2009-10-3 23:07
永存骨骺,退变
作者: panyishengct    时间: 2009-10-4 03:46
考虑永存骨骺。
作者: 帅河马    时间: 2009-10-4 04:06
16楼讲的非常仔细。
作者: shijunhuai    时间: 2009-10-6 23:17
永存骨骺  不考虑骨折。




欢迎光临 医影在线 (http://bbs.radida.com/bbs/) Powered by Discuz! X3.2