医影在线

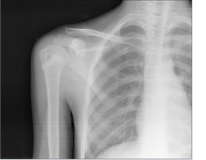
标题: CT22500:患者左肩痛一周,无其它不适,请会诊。 [打印本页]

作者: mlyzhw    时间: 2009-10-6 03:23
标题: CT22500:患者左肩痛一周,无其它不适,请会诊。




























[本贴已被 翁志蓬 于 2009-10-6 0:51:29 修改过]

作者: mlyzhw    时间: 2009-10-6 07:15
是正常的骨骺吗?
作者: huqi8888    时间: 2009-10-6 16:16
未见明显异常
作者: zjzjr    时间: 2009-10-6 18:32
未见明显异常
作者: zxl51642    时间: 2009-10-6 18:42
标题: 回复:ct22500:患者左肩痛一周,无其它不适,请会诊。
以下是引用zjzjr在2009-10-6 10:32:00的发言:[br]未见明显异常

作者: shijunhuai    时间: 2009-10-6 19:56
未见明显异常
作者: zsl6918    时间: 2009-10-6 22:41
正常图象
作者: 黑白光影    时间: 2009-10-6 23:04
未见明显异常。
作者: 随光逐影    时间: 2009-10-7 00:41
未见明确异常。




欢迎光临 医影在线 (http://bbs.radida.com/bbs/) Powered by Discuz! X3.2