医影在线
标题: X6382:拇指会诊 [打印本页]
作者: 07619 时间: 2009-10-7 03:47
标题: X6382:拇指会诊
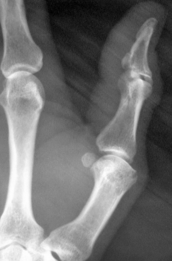
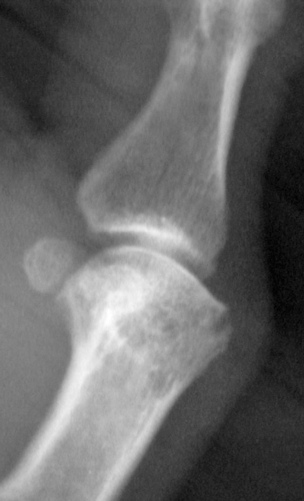
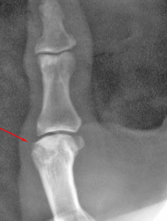
男,60,拇指掌指及指间关节疼痛15天。第一掌骨头低密度及箭头所指骨样突起正常吗


[本贴已被 cefcmj 于 2009-10-6 20:21:23 修改过]
作者: 拾荒者 时间: 2009-10-7 04:21
正常。
作者: 快乐工作者 时间: 2009-10-7 04:26
正常
作者: 当兵的 时间: 2009-10-7 04:57
未见明显异常。
作者: xiazhuzhu 时间: 2009-10-7 05:04
标题: 回复:x6382:拇指会诊
以下是引用快乐工作者在2009-10-6 20:26:00的发言:[br]正常
作者: 寻芳者 时间: 2009-10-7 05:21
未见明显异常。--------
作者: zdgds 时间: 2009-10-7 05:45
询问病史,是否有外伤史?
作者: yuhongjun 时间: 2009-10-7 14:29
未见明显异常。
作者: 黑白光影 时间: 2009-10-7 15:40
需作进一步检查.
作者: 施明 时间: 2009-10-7 18:19
看看对侧 好像有事
作者: zjzjr 时间: 2009-10-7 18:35
双侧对比下.
作者: 医学先锋 时间: 2009-10-7 18:44
未见明显异常。
作者: 592438394 时间: 2009-10-7 21:02
正常。
作者: sunbin 时间: 2009-10-7 21:27
未见明显异常。
作者: zhangkening 时间: 2009-10-7 22:10
我认为是正常的。
作者: zy_zj 时间: 2009-10-7 23:34
第一掌骨头局部低密度,考虑退变吧
作者: dyqct 时间: 2009-10-7 23:58
未见明显异常。
作者: zsl6918 时间: 2009-10-8 01:53
问题不大
作者: hhcckk 时间: 2009-10-8 02:29
标题: 回复:x6382:拇指会诊
手部经常可见囊状低密度区,可能为纤维性改变,无临床意义





[本贴已被 hhcckk 于 2009-10-7 18:35:33 修改过]
作者: ZHANGZHONGSHOU 时间: 2009-10-8 02:33
考虑退行性变。
作者: 帅河马 时间: 2009-10-8 05:02
需作进一步检查.
作者: 圆月 时间: 2009-10-8 06:25
未见明显骨质异常
作者: 胡宇 时间: 2009-10-8 07:08
未见明显异常。
作者: wanchuanyi1982 时间: 2009-10-8 07:12
考虑退变,双侧对比
作者: zhanggenliang 时间: 2009-10-8 20:01
箭头所指考虑纤维性骨皮质缺损。没有临床意义
作者: zxl51642 时间: 2009-10-8 23:12
考虑退行性变。
作者: ydx_74 时间: 2011-9-14 21:34
正常的
| 欢迎光临 医影在线 (http://bbs.radida.com/bbs/) |
Powered by Discuz! X3.2 |