医影在线

标题: CT22517:肾上腺CT平扫,请会诊! [打印本页]

作者: 林建春    时间: 2009-10-7 04:04
标题: CT22517:肾上腺CT平扫,请会诊!
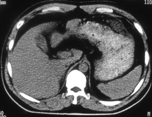
男 46岁 因不明原因低钾数年来院检查,了解有无肾上腺病变。患者补钾后几天又会不明原因缺钾。
















患者近几年来明显肥胖,但血压不高。


[本贴已被 jiajie 于 2009-10-6 20:51:32 修改过]

作者: 湘江一滴    时间: 2009-10-7 04:26
双侧肾上腺未见明显异常,低钾的原因是否应查一下甲状旁腺功能,或做个颅ct看一下脑内有无多发钙化
作者: 林建春    时间: 2009-10-7 04:38
谢谢!
作者: shijunhuai    时间: 2009-10-7 04:41
未见异常
作者: fengchunyan    时间: 2009-10-7 04:47
肾上腺正常的阿
作者: zjzjr    时间: 2009-10-7 05:52
未见异常
作者: lqxhl    时间: 2009-10-7 06:05
未见异常
作者: 胡宇    时间: 2009-10-7 06:30
双侧肾上腺未见明显异常,低钾的原因是否应查一下甲状旁腺功能,或做个颅ct看一下脑内有无多发钙化
作者: panyishengct    时间: 2009-10-7 06:45
未见异常
作者: jinguoji    时间: 2009-10-7 07:50
未见异常。
作者: yuhongjun    时间: 2009-10-7 14:26
未见异常。
作者: 施明    时间: 2009-10-7 16:35
zc   支持
作者: 蒂萨    时间: 2009-10-7 17:23
未见异常。
作者: z13511933102z    时间: 2009-10-7 17:36
未见异常,查甲状腺或行颅脑ct检查了解颅内情况。
作者: 深泽交通    时间: 2009-10-7 17:43
未见明显异常【低钾可考虑周期性麻痹】
作者: yemin92007    时间: 2009-10-7 18:07
双侧肾上腺正常
作者: 731208    时间: 2009-10-7 18:15
未见明显异常
作者: 泪洒红尘    时间: 2009-10-7 18:39
双侧肾上腺未见明显异常
作者: sunbin    时间: 2009-10-7 20:18
未见明显异常。
作者: zsl6918    时间: 2009-10-8 01:37
建议结合颅脑ct及实验室检查明确。
作者: 黑白光影    时间: 2009-10-8 03:29
支持大家意见。
作者: pujunzhi    时间: 2009-10-8 03:34
支持大家意见,建议查胸部有无胸腺增生或胸腺瘤。
作者: zxl51642    时间: 2009-10-9 00:58
腹盆全扫,看看有无异位嗜铬细胞瘤。




欢迎光临 医影在线 (http://bbs.radida.com/bbs/) Powered by Discuz! X3.2