医影在线

标题: PED2927:马某,男,两岁,发现血尿4天,请大家看看,发表 [打印本页]

作者: 宏宏    时间: 2009-10-7 23:52
标题: PED2927:马某,男,两岁,发现血尿4天,请大家看看,发表


















[本贴已被 jiajie 于 2009-10-7 19:07:20 修改过]

作者: 深泽交通    时间: 2009-10-8 00:00
考虑右肾母细胞瘤 左肺转移
作者: 小林秋风    时间: 2009-10-8 00:01
肾癌肺转移
作者: 求知若渴    时间: 2009-10-8 00:03
右肾母细胞瘤双肺转移
作者: dyqct    时间: 2009-10-8 00:32
标题: 回复:马某,男,两岁,发现血尿4天,请大家看看,发表
以下是引用求知若渴在2009-10-7 16:03:00的发言:[br]右肾母细胞瘤双肺转移

支持!
作者: 流星1234    时间: 2009-10-8 00:44
右肾母细胞瘤双肺转移
作者: zsl6918    时间: 2009-10-8 01:17
支持右肾母细胞瘤双肺转移
作者: 当兵的    时间: 2009-10-8 01:18
右肾母细胞瘤并双肺转移造
作者: sdzyy    时间: 2009-10-8 01:26
支持右肾母细胞瘤双肺转移
作者: 宏宏    时间: 2009-10-8 02:47
敬请各位具体描述
作者: 影象小辈    时间: 2009-10-8 02:55
支持右肾母细胞瘤双肺转移
作者: 黑白光影    时间: 2009-10-8 04:06
右肾母细胞瘤双肺转移,支持
作者: 拾荒者    时间: 2009-10-8 04:32
支持右肾母细胞瘤双肺转移 。
作者: zjzjr    时间: 2009-10-8 19:15
右肾母细胞瘤双肺转移
作者: zhangling    时间: 2009-10-8 19:37
支持
作者: zxl51642    时间: 2009-10-9 00:23
右肾母细胞瘤双肺转移
作者: 道哥    时间: 2009-10-9 17:38
右肾母细胞瘤(wils瘤)双肺转移
作者: LIAOQIANG    时间: 2009-10-9 18:54
支持右肾母细胞瘤双肺转移。
作者: jiangjing    时间: 2009-10-10 01:31
右肾母细胞瘤双肺转移
作者: zy_zj    时间: 2009-10-10 19:56
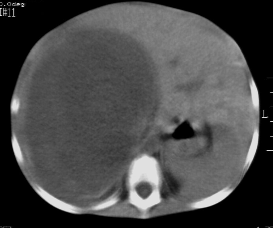
右肾巨大囊性占位病变,其内密度不均,正常肾结构消失,肝脏,肾上腺及肠管等受压移位。双肺内多发大小不等的结节及块状影。考虑右肾母细胞瘤伴双肺多发转移。
可怜的孩子
作者: 北方的狼    时间: 2009-10-12 18:21
肾母细胞瘤(wilms),系儿童最常见的恶性肿瘤,好发于3岁以下儿童,瘤体较大,主要由胚胎性肉瘤样细胞和上皮样细胞构成,临床以腹部肿块;血尿和高血压为主要体征。
ct表现:密度不均匀的大肿块存在;出血和坏死。与神母鉴别点:wilms易向颅脑转移,而神母易往肺转移。
作者: 北方的狼    时间: 2009-10-12 18:32
肾母细胞瘤(wilms),系儿童最常见的恶性肿瘤,好发于3岁以下儿童,瘤体较大,主要由胚胎性肉瘤样细胞和上皮样细胞构成,临床以腹部肿块;血尿和高血压为主要体征。
ct表现:密度不均匀的大肿块存在;出血和坏死。与神母鉴别点:wilms易向肺转移。而神母易往颅脑转移.
作者: huangyinshan    时间: 2009-10-12 18:40
考虑右肾母细胞瘤 左肺转移




欢迎光临 医影在线 (http://bbs.radida.com/bbs/) Powered by Discuz! X3.2