医影在线
标题: CT22569:盆腔占位增强扫描 [打印本页]
作者: xiaozhengct 时间: 2009-10-10 08:59
标题: CT22569:盆腔占位增强扫描
(结果公布:http://www.radida.com/bbs/forum.php?mod=viewthread&tid=71022)
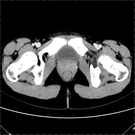
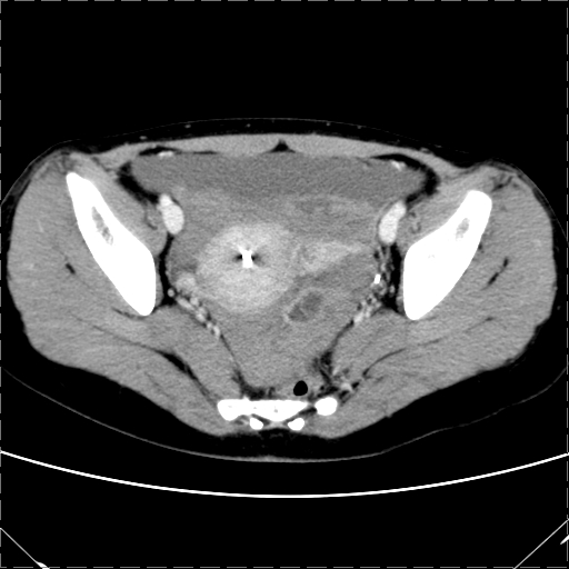
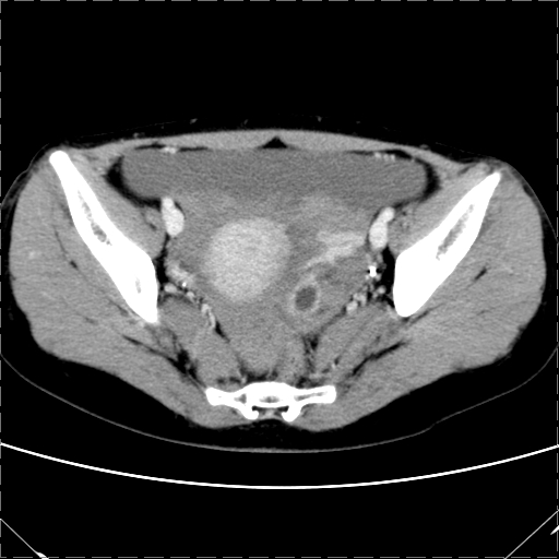
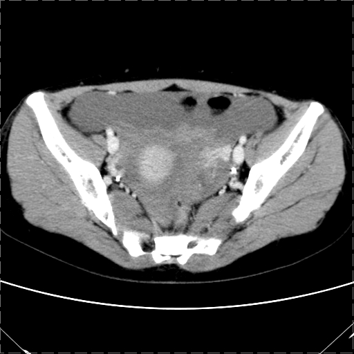
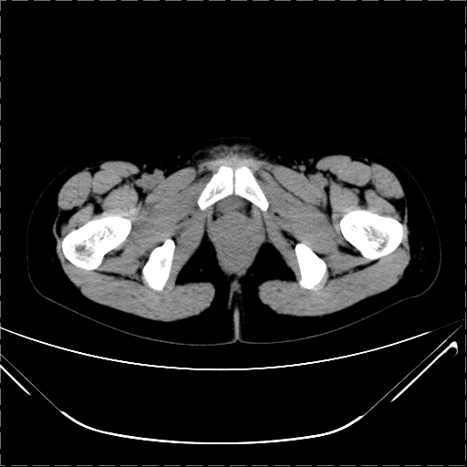
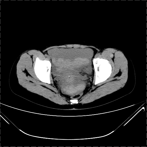
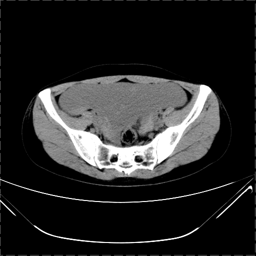
女 29岁 突然腹部疼痛1天 b超示子宫左后方肿块。月经正常。











[本贴已被 jiajie 于 2009-10-10 6:33:01 修改过]














[本贴已被 xiaozhengct 于 2009-10-10 6:56:05 修改过]
[本贴已被 jiajie 于 2010-9-18 17:23:16 修改过]
作者: xiaozhengct 时间: 2009-10-10 09:03
请各位指教 该病人子宫周围云絮状高密度影是什么
作者: fpl784177 时间: 2009-10-10 14:26
应该是出血,没平扫的片子吗?
作者: xiaozhengct 时间: 2009-10-10 15:02
考虑什么原因出血
作者: revenger 时间: 2009-10-10 15:16
影像表现复杂,膀胱上见一囊性包块,比膀胱密度高,其内有不均匀稍高密度,似与道格拉斯窝肿物无分界,病灶没有张力,因其腹平坦,推定其具有流动性,但又似见包膜,而b超没有报告这一现象。确实没见过。考虑卵巢囊肿蒂扭转并囊内出血可能。
作者: zsl6918 时间: 2009-10-10 16:06
月经正常?要小心宫外孕破裂出血啊.
作者: xiaozhengct 时间: 2009-10-10 16:08
确定没有怀孕
作者: zsl6918 时间: 2009-10-10 16:13
标题: 回复:ct22569:盆腔占位增强扫描
以下是引用xiaozhengct在2009-10-10 8:08:00的发言:[br]确定没有怀孕
那要好好查查出血的原因.影像表现主要是盆腔积血的改变
作者: LIAOQIANG 时间: 2009-10-10 16:24
考虑左侧卵巢占位(囊肿?)蒂扭转并出血可能性大。
作者: YRJ0513 时间: 2009-10-10 16:38
标题: 回复:ct22569:盆腔占位增强扫描
以下是引用revenger在2009-10-10 7:16:00的发言:[br]影像表现复杂,膀胱上见一囊性包块,比膀胱密度高,其内有不均匀稍高密度,似与道格拉斯窝肿物无分界,病灶没有张力,因其腹平坦,推定其具有流动性,但又似见包膜,而b超没有报告这一现象。确实没见过。考虑卵巢囊肿蒂扭转并囊内出血可能。
作者: 子期 时间: 2009-10-10 16:52
年轻女性,考虑黄素囊肿破裂出血可能性大。
作者: shibing 时间: 2009-10-10 16:59
那要好好查查出血的原因.影像表现主要是盆腔积血的改变
作者: zjzjr 时间: 2009-10-10 17:03
影像真像左侧附件异位妊娠破裂出血,既然临床不支持,只能考虑左侧卵巢囊肿破裂出血.
作者: zxl51642 时间: 2009-10-10 18:08
左侧卵巢巧克力囊肿破裂出血
作者: 147971863 时间: 2009-10-10 18:08
考虑左侧附件囊肿出血
作者: 深泽交通 时间: 2009-10-10 18:21
标题: 回复:ct22569:盆腔占位增强扫描
以下是引用zsl6918在2009-10-10 8:06:00的发言:[br]月经正常?要小心宫外孕破裂出血啊.
作者: 吴医师 时间: 2009-10-10 18:24
标题: 回复:ct22569:盆腔占位增强扫描
以下是引用revenger在2009-10-10 7:16:00的发言:[br]影像表现复杂,膀胱上见一囊性包块,比膀胱密度高,其内有不均匀稍高密度,似与道格拉斯窝肿物无分界,病灶没有张力,因其腹平坦,推定其具有流动性,但又似见包膜,而b超没有报告这一现象。确实没见过。考虑卵巢囊肿蒂扭转并囊内出血可能。
作者: 悟空 时间: 2009-10-10 19:06
病变主要位于道格拉斯窝,而且大体形态比较扁平且贴合子宫直肠,无明显张力及对周围脏器压迫,所以考虑为液体,而中间可见囊样病变伴环形强化,期内还可见分隔影,结合突发急性腹痛故多考虑囊腺瘤伴破裂出血。
作者: 健力宝 时间: 2009-10-10 19:07
标题: 回复:ct22569:盆腔占位增强扫描
以下是引用zsl6918在2009-10-10 8:06:00的发言:[br]月经正常?要小心宫外孕破裂出血啊.
作者: yhb 时间: 2009-10-10 19:34
囊肿破裂?
作者: 卜一 时间: 2009-10-10 21:52
左侧卵巢囊肿破裂出血!
作者: 513ytb 时间: 2009-10-10 23:10
病变主要位于道格拉斯窝,而且大体形态比较扁平且贴合子宫直肠,无明显张力及对周围脏器压迫,所以考虑为液体,而中间可见囊样病变伴环形强化,期内还可见分隔影,结合突发急性腹痛故多考虑囊腺瘤伴破裂出血。
作者: 蒂萨 时间: 2009-10-10 23:38
查查出血的原因.影像表现主要是盆腔积血的改变
作者: wgh407 时间: 2009-10-11 01:59
考虑左侧囊腺瘤伴破裂出血。
作者: zbp537 时间: 2009-10-11 02:38
出血是肯定的,现在是要查明出血的原因。
作者: 黑白光影 时间: 2009-10-11 15:37
考虑左侧卵巢囊肿破裂出血可能。
作者: xiaozhengct 时间: 2009-10-19 04:07
腹腔镜术后 卵巢黄体囊肿破裂出血
作者: ghp3522 时间: 2010-9-19 02:27
谢谢反馈。
作者: 37度 时间: 2010-9-19 02:41
腹腔镜术后 卵巢黄体囊肿破裂出血,学习了。
作者: xiongneo 时间: 2010-9-19 07:24
学习
作者: yuhongjun 时间: 2010-9-19 13:54
腹腔镜术后 卵巢黄体囊肿破裂出血,学习了。
作者: 宇宙CT 时间: 2010-9-19 22:46
谢谢反馈。
作者: jiazhirong 时间: 2010-9-20 00:41
卵巢黄体囊肿破裂出血,谢谢反馈。
| 欢迎光临 医影在线 (http://bbs.radida.com/bbs/) |
Powered by Discuz! X3.2 |