医影在线
标题: X6404:肱骨骨质破坏 [打印本页]
作者: jiangguowu 时间: 2009-10-11 20:47
标题: X6404:肱骨骨质破坏
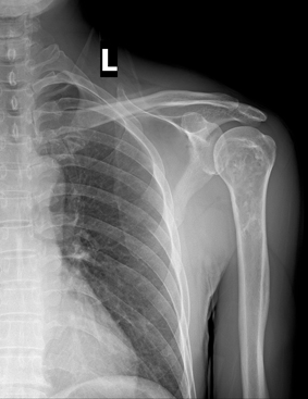
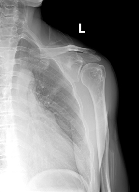
男,50岁,左肩部轻微疼痛,活动不便5个月就诊,无红肿热痛,间断理疗治疗无好转,既往5个月前左肩轻微拉伤史。

[本贴已被 jiajie 于 2009-10-11 19:38:16 修改过]
作者: weixiaoxiaoxiao 时间: 2009-10-11 21:02
应该没问题。
作者: zxl51642 时间: 2009-10-11 21:28
肱骨上段髓腔内蜿蜒索条状、簇状高密度影,肱骨头多发囊变。考虑:肩关节周围炎,并肱骨上段骨梗死。
作者: zsl6918 时间: 2009-10-11 21:52
建议ct观察病变的细微改变
作者: yjzlt123 时间: 2009-10-11 21:54
正常变异
作者: zhhy6410 时间: 2009-10-11 22:22
未见异常
作者: fylzm 时间: 2009-10-11 22:30
标题: 回复:肱骨骨质破坏
以下是引用zxl51642在2009-10-11 13:28:00的发言:[br]肱骨上段髓腔内蜿蜒索条状、簇状高密度影,肱骨头多发囊变。考虑:肩关节周围炎,并肱骨上段骨梗死。
作者: 太空射线 时间: 2009-10-11 22:42
骨梗死?
作者: 流星1234 时间: 2009-10-11 23:46
考虑骨梗死
作者: zjzjr 时间: 2009-10-12 00:21
骨梗死可能性大,建议mri
作者: 513ytb 时间: 2009-10-12 01:23
肱骨上段髓腔内蜿蜒索条状、簇状高密度影,肱骨头多发囊变。考虑:肩关节周围炎,并肱骨上段骨梗死。
作者: jiahui7z 时间: 2009-10-12 02:12
标题: 回复:肱骨骨质破坏
以下是引用zsl6918在2009-10-11 13:52:00的发言:[br]建议ct观察病变的细微改变
作者: ldc0057 时间: 2009-10-12 02:33
建议ct
作者: 圆月 时间: 2009-10-12 03:51
考虑骨梗死,骨纤待排。
作者: 拾荒者 时间: 2009-10-12 04:59
建议ct进一步检查。
作者: dengkai 时间: 2009-10-12 05:06
建议ct观察病变的细微改变
作者: 黑白光影 时间: 2009-10-12 05:21
骨梗死可能,建议mri。
作者: 江广1996 时间: 2009-10-12 08:18
骨梗死可能性大,建议mri
作者: 987654zwf 时间: 2009-10-12 16:04
骨梗死可能
作者: LIAOQIANG 时间: 2009-10-12 16:37
考虑骨梗死可能,建议mri。
作者: gaoyang8 时间: 2009-10-12 16:46
建议ct观察病变的细微改变
作者: 医学先锋 时间: 2009-10-12 18:57
建议ct观察病变的细微改变
作者: zhanggenliang 时间: 2009-10-12 22:55
骨梗死可能性大。建议mri
作者: 观影朔征 时间: 2009-10-12 22:58
标题: 回复:x6404:肱骨骨质破坏
以下是引用yjzlt123在2009-10-11 13:54:00的发言:[br]正常变异
作者: dyqct 时间: 2009-10-13 00:37
考虑骨梗死。支持!
作者: 未见异常 时间: 2009-10-13 01:13
考虑骨梗死
作者: zy_zj 时间: 2009-10-13 01:23
(二)影像学检查
肩周炎是软组织病变,所以x线检查多属阴性,对直接诊断无帮助,但可以排除骨与关节疾病,有时可见骨质疏松、冈上肌腱钙化,或大结节处有密度增高的阴影。
支持骨梗死的诊断,但平片不好诊断,结合临床考虑是肩周炎。但诊断应该是临床诊断的
作者: hexue 时间: 2009-10-13 03:33
骨梗死可能性大,建议mri
作者: yuhongjun 时间: 2009-10-13 04:07
骨梗死可能性大。
作者: 寻芳者 时间: 2009-10-13 06:31
骨梗死???------建议ct观察病变的细微改变
作者: dr.yang 时间: 2009-10-13 06:44
骨梗死与肩周炎并存
作者: 胡宇 时间: 2009-10-13 08:18
骨梗死与肩周炎并存
作者: 592438394 时间: 2009-10-13 19:13
骨梗死可能性大,建议mri
作者: 1275180110 时间: 2009-10-13 19:48
骨梗塞吧。
作者: 帅河马 时间: 2009-10-13 20:41
不好说,可见一些条状高密度影,进一步检查吧
作者: ydx_74 时间: 2009-10-15 00:45
不好说,建议ct
作者: jinguoji 时间: 2009-10-22 02:01
骨梗死可能性大,建议mri。
作者: tian1238 时间: 2009-10-22 19:44
骨梗死可能性大,建议mri。
作者: 奥林克 时间: 2009-10-23 06:16
骨梗死可能性大
作者: ljj88 时间: 2009-10-23 19:15
考虑:肩关节周围炎
作者: 帅河马 时间: 2009-10-24 06:55
骨梗死可能性大,建议mri
作者: shibing 时间: 2014-9-28 15:54
建议ct观察病变的细微改变
| 欢迎光临 医影在线 (http://bbs.radida.com/bbs/) |
Powered by Discuz! X3.2 |