医影在线

标题: PED2934:一个可爱的小女孩 [打印本页]

作者: aa13877358820    时间: 2009-10-12 05:05
标题: PED2934:一个可爱的小女孩
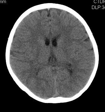
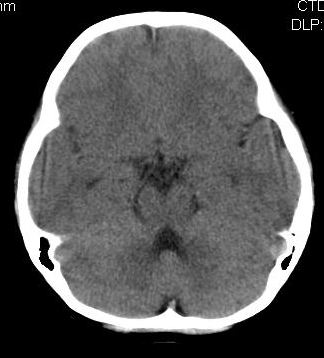
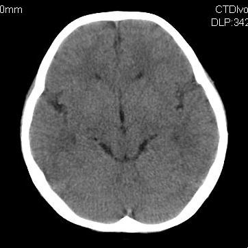
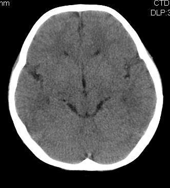
女,10岁,智力发育不良,既往史无特殊。





[本贴已被 jiajie 于 2009-10-11 21:12:17 修改过]

作者: zsl6918    时间: 2009-10-12 05:10
脑裂畸形,灰质异位
作者: dyqct    时间: 2009-10-13 00:46
就这四幅,好象未见明显异常。
作者: zxl51642    时间: 2009-10-13 01:04
标题: 回复:ped2934:一个可爱的小女孩
以下是引用dyqct在2009-10-12 16:46:00的发言:[br]就这四幅,好象未见明显异常。

作者: 同    时间: 2009-10-13 01:30
好象未见明显异常。
作者: wgh407    时间: 2009-10-13 02:32
好象未见明显异常。
作者: 拾荒者    时间: 2009-10-13 05:16
未见明显异常。
作者: xupengjie    时间: 2009-10-13 05:24
未见明显异常
作者: zjzjr    时间: 2009-10-13 19:04
好象未见明显异常。
作者: sunbin    时间: 2009-10-14 01:58
扫描范围未见明显异常。
作者: 黑白光影    时间: 2009-10-15 04:42
未见明显异常。
作者: bjcc-tcm-ct133    时间: 2009-10-15 07:53
未见明显异常。
作者: scdlc2008    时间: 2009-10-16 06:03
未见明显异常
作者: yuhongjun    时间: 2009-10-17 00:41
未见明显异常。
作者: zhaozejun1    时间: 2009-10-18 01:26
标题: 回复:ped2934:一个可爱的小女孩
以下是引用yuhongjun在2009-10-16 16:41:00的发言:[br]未见明显异常。  [br]   [br]





欢迎光临 医影在线 (http://bbs.radida.com/bbs/) Powered by Discuz! X3.2