医影在线

标题: CT22609:请各位大侠帮忙看看 [打印本页]

作者: zhaozejun1    时间: 2009-10-13 02:00
标题: CT22609:请各位大侠帮忙看看
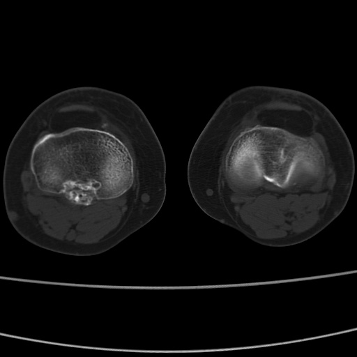
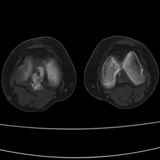
女性,50岁。【请提供患者临床症状体征】





























































[本贴已被 翁志蓬 于 2009-10-12 23:16:48 修改过]

作者: zsl6918    时间: 2009-10-13 02:17
提示退变
作者: 医影常客    时间: 2009-10-13 03:09
胫骨后缘陈旧性骨折(是否有病史)
退变?
作者: zhaozejun1    时间: 2009-10-13 03:19
退行性关节炎?
作者: yuhongjun    时间: 2009-10-13 03:29
右膝关节退行性改变,关节游离鼠。
作者: dengkai    时间: 2009-10-13 03:55
右膝关节退行性改变,关节游离鼠。
作者: 同    时间: 2009-10-13 04:10
右膝关节退行性改变
作者: zjzjr    时间: 2009-10-13 16:56
右膝关节退行性改变,关节游离鼠。
作者: 高学强    时间: 2009-10-13 18:13
支持
作者: zxl51642    时间: 2009-10-13 21:28
右膝关节退行性改变,滑膜黏液囊钙/骨化并游离。
作者: 黑白光影    时间: 2009-10-14 04:36
右膝关节退行性改变




欢迎光临 医影在线 (http://bbs.radida.com/bbs/) Powered by Discuz! X3.2