医影在线

标题: X6419:请大家帮忙看看 [打印本页]

作者: wanggang1972    时间: 2009-10-15 18:36
标题: X6419:请大家帮忙看看
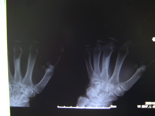
男 53 左手掌指关节肿胀 疼痛



[本贴已被 jiajie 于 2009-10-15 18:35:17 修改过]

作者: zxl51642    时间: 2009-10-15 19:28
片子太黑,关节看不清。箭头所指为局限性皮质增厚,无意义,多为良性皮质缺损愈后改变。鉴别:蜡泪样骨病、内生骨瘤。
作者: 黑白光影    时间: 2009-10-15 22:54
典型的 伸手不见五指,太黑!

支持2楼意见。
作者: 施明    时间: 2009-10-15 23:00
正常的
作者: sunbin    时间: 2009-10-16 01:42
支持2楼。
作者: zy_zj    时间: 2009-10-16 03:44
总能看到,发育所致吧。
作者: 康鹏    时间: 2009-10-16 03:48
看到了一个局限性的致密影,但是意义不大
作者: zsl6918    时间: 2009-10-16 04:51
总能看到,发育所致
作者: 拾荒者    时间: 2009-10-16 05:08
支持考虑局限性皮质增厚。
作者: dengkai    时间: 2009-10-16 06:29
局限性皮质增厚
作者: hexue    时间: 2009-10-16 06:42
局限性皮质增厚。
作者: 513ytb    时间: 2009-10-16 06:53
看到了一个局限性的致密影,但是意义不大.
作者: 寻芳者    时间: 2009-10-16 06:57
局限性皮质增厚??---请结合临床!!
作者: 987654zwf    时间: 2009-10-16 16:44
局限性皮质增厚。
作者: jiahui7z    时间: 2009-10-16 23:46
路过!
作者: 592438394    时间: 2009-10-17 00:17
支持2楼。
作者: zhanggenliang    时间: 2009-10-17 01:19
局限性皮质增厚。鉴别内生软骨瘤
作者: ZHANGZHONGSHOU    时间: 2009-10-17 15:12
指跖骨的局限性皮质增厚,多考虑为正常变异。
作者: jinguoji    时间: 2009-10-21 22:26
典型的伸手不见五指,太黑!
作者: shibing    时间: 2014-9-28 11:29
考虑局限性皮质增厚。




欢迎光临 医影在线 (http://bbs.radida.com/bbs/) Powered by Discuz! X3.2