医影在线

标题: CT22662:女 23 自述双侧颌下腺肿大年余 近来疼痛 左侧明显 [打印本页]

作者: 不学无术    时间: 2009-10-16 02:54
标题: CT22662:女 23 自述双侧颌下腺肿大年余 近来疼痛 左侧明显
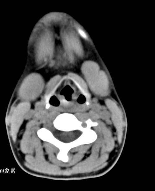
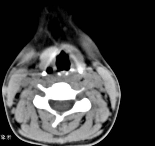
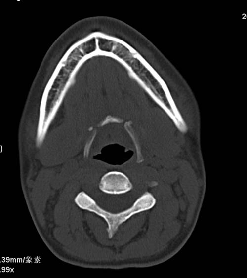
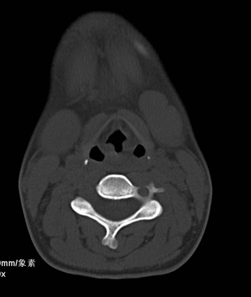
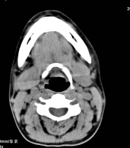
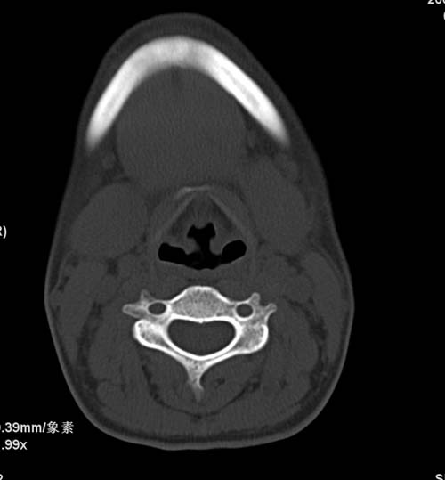
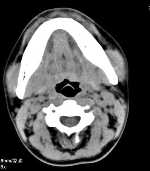
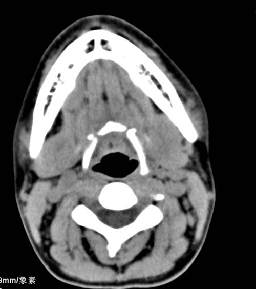
见双侧颌下腺略肿大  未见结石及钙化 考虑双侧慢性炎症 ?请指教















[本贴已被 翁志蓬 于 2009-10-16 20:41:31 修改过]

作者: ct诊断高手    时间: 2009-10-16 03:01
考虑双侧慢性炎症
作者: 康鹏    时间: 2009-10-16 03:37
慢性炎症可能
不是很确切
作者: 施明    时间: 2009-10-16 04:31
不像有事
作者: 同    时间: 2009-10-16 04:53
未见明显异常。
作者: scdlc2008    时间: 2009-10-16 05:07
炎症
作者: zsl6918    时间: 2009-10-16 05:11
考虑双侧慢性炎症
作者: 黑白光影    时间: 2009-10-16 05:45
支持慢性炎症考虑。
作者: 513ytb    时间: 2009-10-16 06:43
考虑双侧慢性炎症.
作者: dengkai    时间: 2009-10-16 07:47
考虑双侧慢性炎症.
作者: yuhongjun    时间: 2009-10-16 13:28
支持慢性炎症考虑。
作者: zxl51642    时间: 2009-10-16 17:48
未见明显异常。
作者: 漫步者    时间: 2009-11-2 02:48
考虑双侧慢性炎症.
作者: 水中捞月    时间: 2009-11-2 05:02
支持慢性炎症考虑。
作者: qingguang220    时间: 2013-9-19 18:07
学习了!




欢迎光临 医影在线 (http://bbs.radida.com/bbs/) Powered by Discuz! X3.2