医影在线

标题: PED2942:各位战位进来看看这张胸片 [打印本页]

作者: ysq1221    时间: 2009-10-16 08:59
标题: PED2942:各位战位进来看看这张胸片
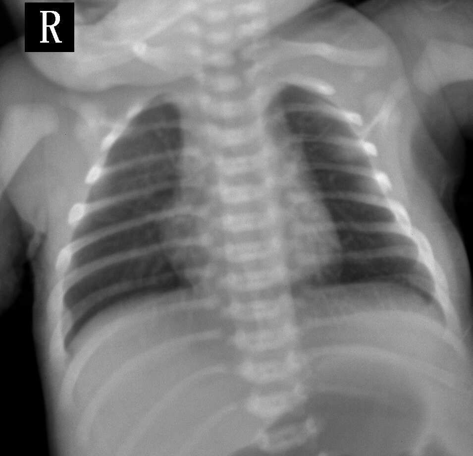
因为婴儿不能配合,影像有点模糊,患者3天,发作痰鸣,气促伴发绀,临床诊断:1、吸入性肺炎2、肺不张



[本贴已被 翁志蓬 于 2009-10-16 21:24:18 修改过]

作者: zxl51642    时间: 2009-10-16 17:02
肺纹理略增重,余(-)。
作者: yuhongjun    时间: 2009-10-17 00:27
未见明显异常表现。
作者: hxchang    时间: 2009-10-17 07:40
肺心膈未见明显异常。
作者: 江广1996    时间: 2009-10-17 23:37
肺心膈未见明显异常。
作者: sunbin    时间: 2009-10-18 02:35
未见明显异常。
作者: 拾荒者    时间: 2009-10-18 02:40
肺纹理稍强。
作者: 同    时间: 2009-10-18 03:19
未见明显异常。
作者: zy_zj    时间: 2009-10-18 19:36
没看到异常
作者: jiangjing    时间: 2009-10-19 01:21
肺纹理略增重,建议结合临床
作者: dyqct    时间: 2009-10-21 04:44
未见明显异常表现。可能为毛细支气管炎。




欢迎光临 医影在线 (http://bbs.radida.com/bbs/) Powered by Discuz! X3.2