
























































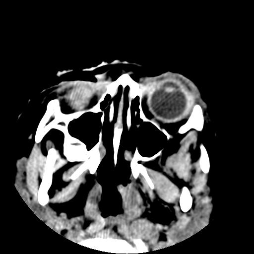
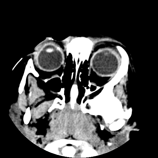
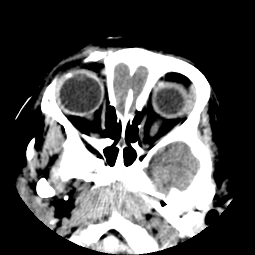
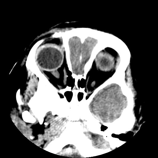
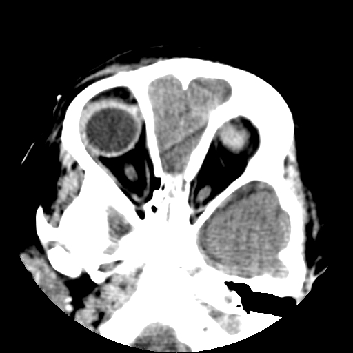
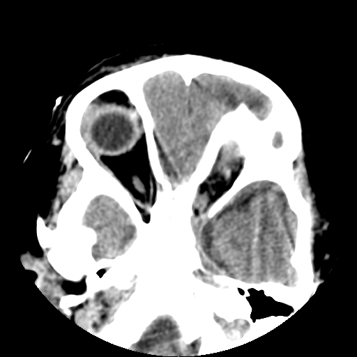
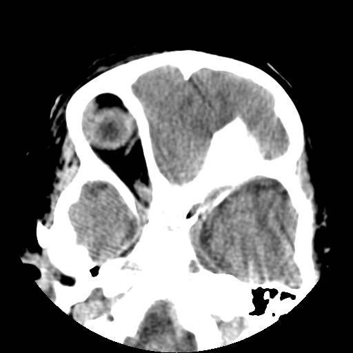
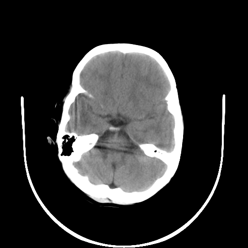
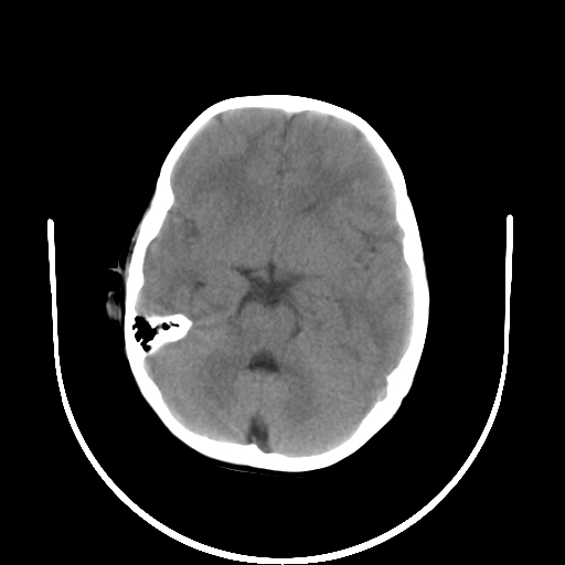
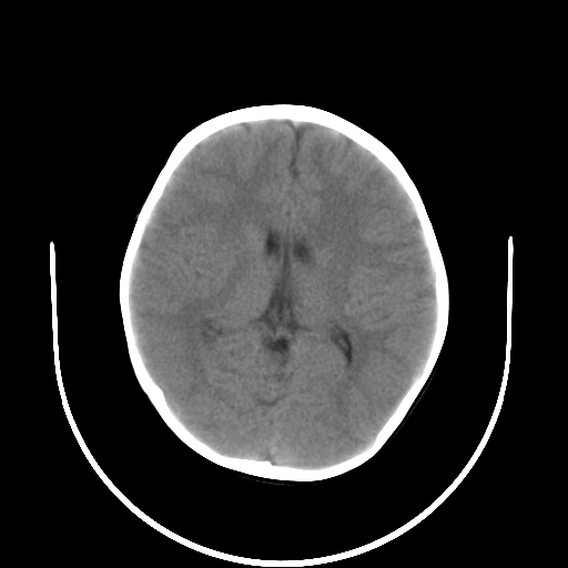
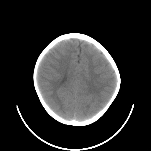
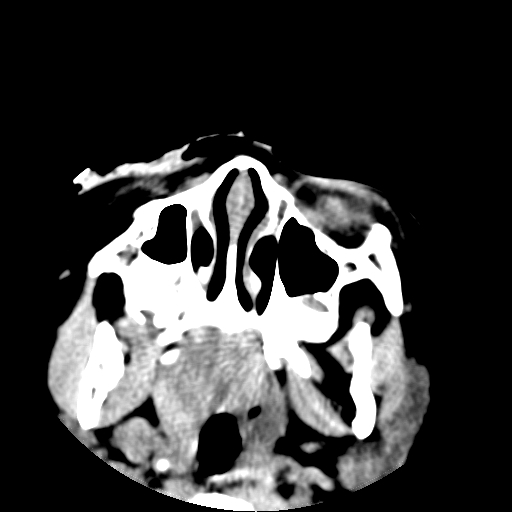
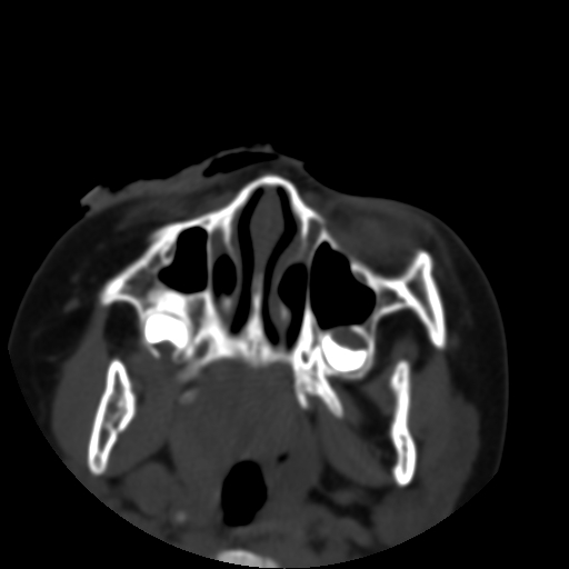
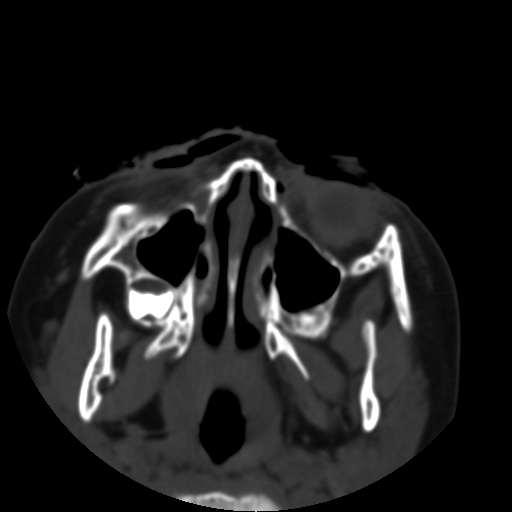
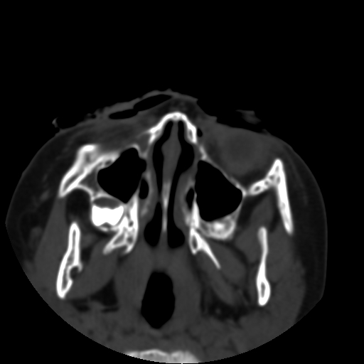
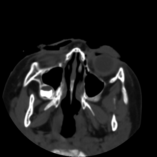
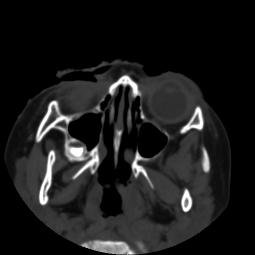
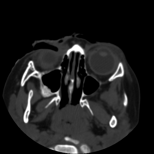
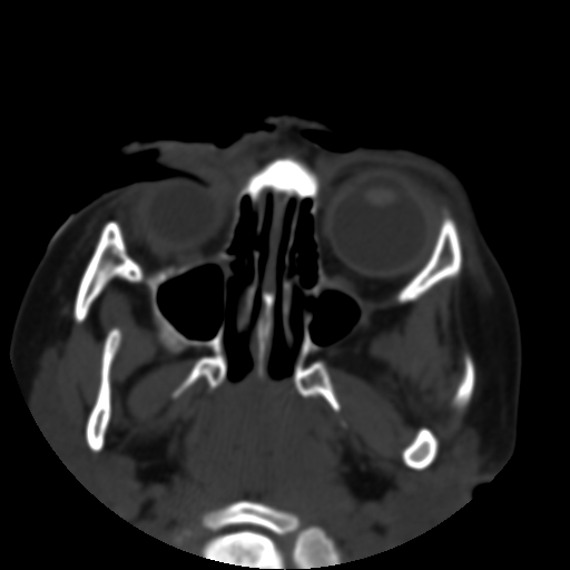
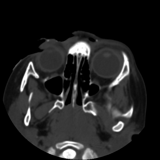
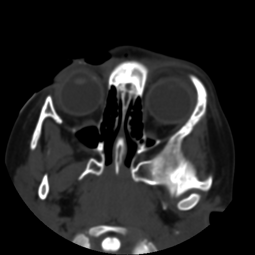
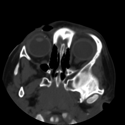
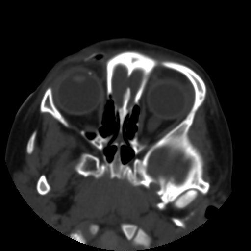
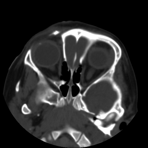
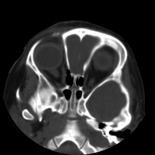
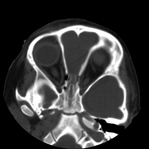
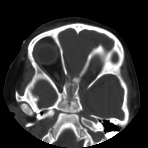
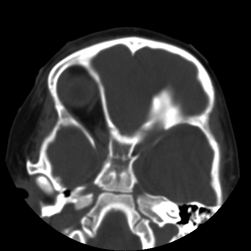
以下是引用深泽交通医院在2009-10-16 8:25:00的发言:[br]右眼环出血伴异物
以下是引用卜一在2009-10-16 15:01:00的发言:[br]右眼球挫裂伤伴异物!
以下是引用深泽交通医院在2009-10-16 8:25:00的发言:[br]右眼环出血伴异物
以下是引用拾荒者在2009-10-17 18:38:00的发言:[br]鼻面部皮下积气,右侧睑缘及眼球壁高密度异物影,左侧眼球壁晶状体内侧缘处是圆形低密度影。低密度异物?应提请眼科医生注意。
| 欢迎光临 医影在线 (http://bbs.radida.com/bbs/) | Powered by Discuz! X3.2 |