医影在线
标题: X6428:小腿病变。 [打印本页]
作者: 杏林古木 时间: 2009-10-17 03:26
标题: X6428:小腿病变。
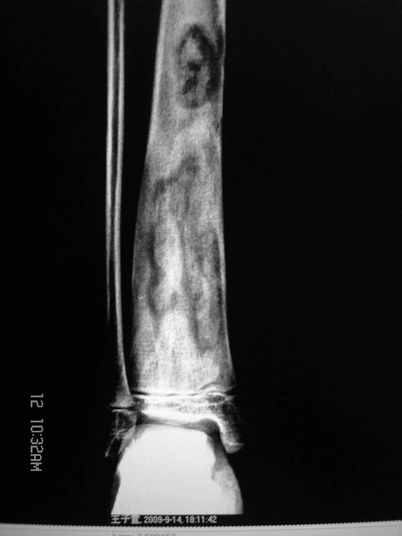
女孩10岁,右小腿痛3年。是骨纤吗?


[本贴已被 cefcmj 于 2009-10-16 19:48:10 修改过]
作者: zsl6918 时间: 2009-10-17 03:34
支持楼主骨纤的诊断.
作者: 513ytb 时间: 2009-10-17 06:25
骨纤.
作者: weixiaoxiaoxiao 时间: 2009-10-17 06:38
病变皮肤如何?没有病史资料啊?
作者: hxchang 时间: 2009-10-17 07:50
右胫骨下段增粗,内见多个长条状、类圆形骨质破坏区,边缘增生、硬化,内可见高密度坏骨块。不支持骨纤,考虑慢性化脓性骨髓炎。
作者: yuhongjun 时间: 2009-10-17 14:32
支持楼上。
作者: ZHANGZHONGSHOU 时间: 2009-10-17 15:06
标题: 回复:x6428:小腿病变。
以下是引用hxchang在2009-10-16 23:50:00的发言:[br]右胫骨下段增粗,内见多个长条状、类圆形骨质破坏区,边缘增生、硬化,内可见高密度坏骨块。不支持骨纤,考虑慢性化脓性骨髓炎。
作者: gaoyang8 时间: 2009-10-17 16:24
标题: 回复:x6428:小腿病变。
以下是引用hxchang在2009-10-16 23:50:00的发言:[br]右胫骨下段增粗,内见多个长条状、类圆形骨质破坏区,边缘增生、硬化,内可见高密度坏骨块。不支持骨纤,考虑慢性化脓性骨髓炎。
作者: zxl51642 时间: 2009-10-17 17:11
以下是引用hxchang在2009-10-16 23:50:00的发言:
右胫骨下段增粗,内见多个长条状、类圆形骨质破坏区,边缘增生、硬化,内可见高密度坏骨块。不支持骨纤,考虑慢性化脓性骨髓炎。
作者: jiahui7z 时间: 2009-10-17 18:39
标题: 回复:x6428:小腿病变。
以下是引用hxchang在2009-10-16 23:50:00的发言:[br]右胫骨下段增粗,内见多个长条状、类圆形骨质破坏区,边缘增生、硬化,内可见高密度坏骨块。不支持骨纤,考虑慢性化脓性骨髓炎。
作者: 海笑 时间: 2009-10-17 20:31
标题: 回复:x6428:小腿病变。
以下是引用jiahui7z在2009-10-17 10:39:00的发言:[br][quote]以下是引用hxchang在2009-10-16 23:50:00的发言:[br]右胫骨下段增粗,内见多个长条状、类圆形骨质破坏区,边缘增生、硬化,内可见高密度坏骨块。不支持骨纤,考虑慢性化脓性骨髓炎。
[br][/quote]
作者: kzc_zxm 时间: 2009-10-17 20:56
以下是引用hxchang在2009-10-16 23:50:00的发言:
右胫骨下段增粗,内见多个长条状、类圆形骨质破坏区,边缘增生、硬化,内可见高密度坏骨块。不支持骨纤,考虑慢性化脓性骨髓炎。
作者: 吴医师 时间: 2009-10-17 21:26
标题: 回复:x6428:小腿病变。
以下是引用hxchang在2009-10-16 23:50:00的发言:[br]右胫骨下段增粗,内见多个长条状、类圆形骨质破坏区,边缘增生、硬化,内可见高密度坏骨块。不支持骨纤,考虑慢性化脓性骨髓炎。
作者: wangzhongliang 时间: 2009-10-17 22:25
支持慢性化胀性骨髓炎。
作者: zxczxc 时间: 2009-10-18 01:44
右胫骨中下段骨纤
作者: zy_zj 时间: 2009-10-18 02:41
临床病史,症状等对诊断帮助很大。支持慢性骨髓炎。骨纤密度还是相对均一的,4种形态:磨玻璃样,丝瓜瓤样,虫蚀样,囊状膨胀样改变。再者骨纤的症状相对轻微。
作者: sunbin 时间: 2009-10-18 02:50
支持慢性化脓性骨髓炎。
作者: 592438394 时间: 2009-10-18 03:13
支持慢性化胀性骨髓炎
作者: 黑白光影 时间: 2009-10-18 03:53
高度怀疑慢性化胀性骨髓炎,只是不知道表皮如何?
作者: 拾荒者 时间: 2009-10-18 04:24
标题: 回复:x6428:小腿病变。
以下是引用hxchang在2009-10-16 23:50:00的发言:[br]右胫骨下段增粗,内见多个长条状、类圆形骨质破坏区,边缘增生、硬化,内可见高密度坏骨块。不支持骨纤,考虑慢性化脓性骨髓炎。
支持!建议密切结合临床。
作者: hexue 时间: 2009-10-18 06:34
标题: 回复:x6428:小腿病变。
以下是引用hxchang在2009-10-16 23:50:00的发言:[br]右胫骨下段增粗,内见多个长条状、类圆形骨质破坏区,边缘增生、硬化,内可见高密度坏骨块。不支持骨纤,考虑慢性化脓性骨髓炎。
作者: 寻芳者 时间: 2009-10-18 07:17
瞠是首先考虑慢性化脓性骨髓炎----------------------
作者: 蒂萨 时间: 2009-10-18 14:46
不支持骨纤,考虑慢性化脓性骨髓炎
作者: 观影朔征 时间: 2009-10-18 16:23
标题: 回复:x6428:小腿病变。
以下是引用yuhongjun在2009-10-17 6:32:00的发言:[br]支持楼上。
作者: jinguoji 时间: 2009-10-21 22:04
标题: 回复:x6428:小腿病变。
以下是引用hxchang在2009-10-16 23:50:00的发言:[br]右胫骨下段增粗,内见多个长条状、类圆形骨质破坏区,边缘增生、硬化,内可见高密度坏骨块。不支持骨纤,考虑慢性化脓性骨髓炎。
支持!
作者: shibing 时间: 2014-9-25 08:12
考虑慢性化脓性骨髓炎
作者: 回不去的 时间: 2014-9-26 19:06
右胫骨下段增粗,内见多个长条状、类圆形骨质破坏区,边缘增生、硬化,内可见高密度坏骨块。不支持骨纤,考虑慢性化脓性骨髓炎。支持
| 欢迎光临 医影在线 (http://bbs.radida.com/bbs/) |
Powered by Discuz! X3.2 |