医影在线
标题: X6431:请会诊 [打印本页]
作者: 07619 时间: 2009-10-17 22:07
标题: X6431:请会诊
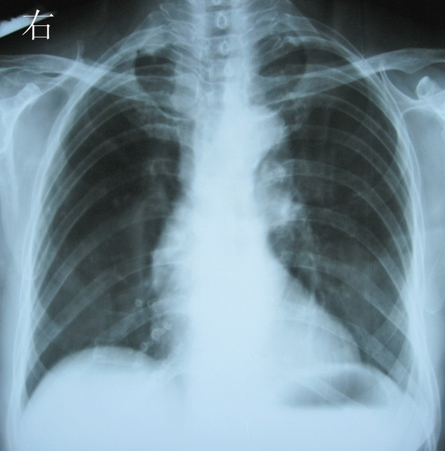
女,79,反复咳嗽10年,胸闷2年。请问有无肺心病,
[本贴已被 jiajie 于 2009-10-17 21:56:43 修改过]
作者: hxchang 时间: 2009-10-17 23:16
两肺野透光度增强。左中下肺野见片状密度增高影,密度均匀,边缘模糊。心影形态、大小未见异常。双膈面清晰,双侧助膈角锐利。不支持肺心病,结合病史考虑:慢支并肺部感染。
作者: zxl51642 时间: 2009-10-17 23:54
慢支、肺气肿、主动脉型心影,右下钙化灶。
作者: ncy888888 时间: 2009-10-18 01:34
不支持肺心病
作者: zsl6918 时间: 2009-10-18 02:54
诊断肺心病需结合临床综合考虑.
作者: sunbin 时间: 2009-10-18 02:57
慢支并肺部感染。
作者: 592438394 时间: 2009-10-18 03:08
不支持肺心病
作者: zy_zj 时间: 2009-10-18 03:13
肺心病即慢性肺原性心脏病的简称,是指肺组织或肺动脉系统的原发病变,使肺动脉压力增高,右心负荷加重而造成右心室肥大,最后发生有心功能不全的一种继发性心脏病。
不支持肺心病 :肺部慢性病变不明显。心:右心无明显改变,肺动脉无高压。
作者: 黑白光影 时间: 2009-10-18 03:44
支持以上
作者: 拾荒者 时间: 2009-10-18 04:46
影像不支持肺心病。
作者: wgh407 时间: 2009-10-18 05:44
不支持肺心病。
作者: 寻芳者 时间: 2009-10-18 07:21
诊断肺心病需结合临床综合考虑.
zsl6918说
--------------顶!!
作者: hexue 时间: 2009-10-18 07:23
征象不明显,如怀疑建议进一步检查
作者: yuhongjun 时间: 2009-10-18 14:11
标题: 回复:x6431:请会诊
以下是引用zy_zj在2009-10-17 19:13:00的发言:[br][br]肺心病即慢性肺原性心脏病的简称,是指肺组织或肺动脉系统的原发病变,使肺动脉压力增高,右心负荷加重而造成右心室肥大,最后发生有心功能不全的一种继发性心脏病。[br]不支持肺心病 :肺部慢性病变不明显。心:右心无明显改变,肺动脉无高压。
作者: 观影朔征 时间: 2009-10-18 16:26
标题: 回复:x6431:请会诊
以下是引用sunbin在2009-10-17 18:57:00的发言:[br]慢支并肺部感染。
作者: xiazhuzhu 时间: 2009-10-18 18:50
标题: 回复:x6431:请会诊
以下是引用zsl6918在2009-10-17 18:54:00的发言:[br]诊断肺心病需结合临床综合考虑.
作者: zhanggenliang 时间: 2009-10-18 22:01
标题: 回复:x6431:请会诊
以下是引用zy_zj在2009-10-17 19:13:00的发言:[br][br]肺心病即慢性肺原性心脏病的简称,是指肺组织或肺动脉系统的原发病变,使肺动脉压力增高,右心负荷加重而造成右心室肥大,最后发生有心功能不全的一种继发性心脏病。[br]不支持肺心病 :肺部慢性病变不明显。心:右心无明显改变,肺动脉无高压。
慢支,肺气肿
作者: 康鹏 时间: 2009-10-19 03:01
需要密切结合临床
化验室检查
心电图表现
方可诊断
作者: jinguoji 时间: 2009-10-21 21:52
不支持肺心病。
作者: shibing 时间: 2014-9-25 08:13
诊断肺心病需结合临床综合考虑.
作者: 景怡 时间: 2014-9-25 19:49
慢性支气管炎,肺气肿征象。
| 欢迎光临 医影在线 (http://bbs.radida.com/bbs/) |
Powered by Discuz! X3.2 |