



以下是引用zsl6918在2009-10-17 18:51:00的发言:[br]融椎畸形
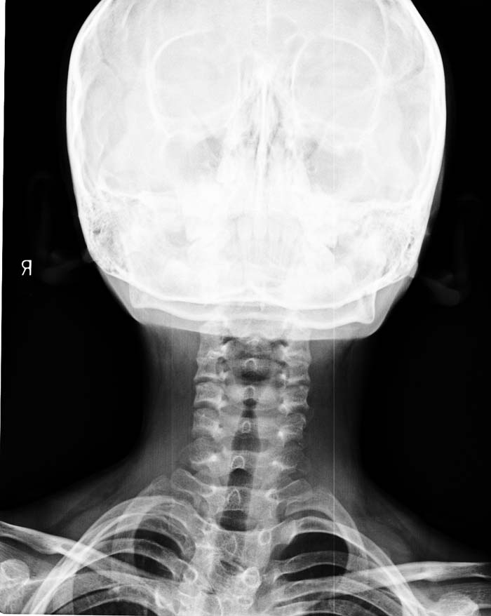
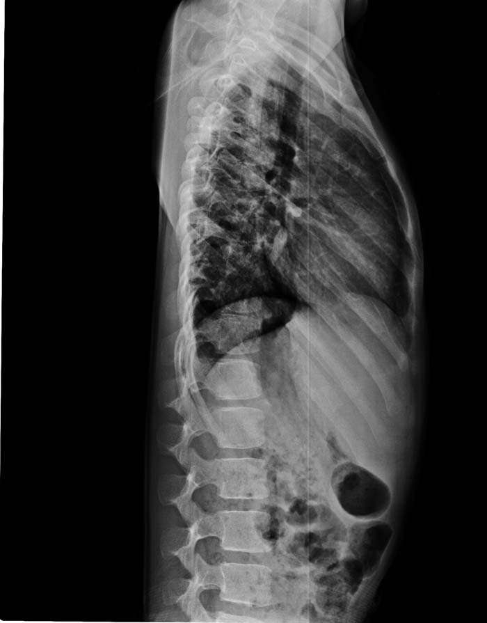
以下是引用zy_zj在2009-10-17 19:21:00的发言:[br]胸椎8,9椎体融合畸形,伴序列s形弯曲,颈椎稍侧弯,曲度反向。
以下是引用余辉在2009-10-18 10:20:00的发言:[br]支持椎体隔合畸形,肋骨亦有融合,局部椎体密度较低,棘突影像缺如,不排除合并椎体裂,建议ct检查
| 欢迎光临 医影在线 (http://bbs.radida.com/bbs/) | Powered by Discuz! X3.2 |