医影在线
标题: MRI2527:脑部肿瘤,(病理结果:淋巴瘤) [打印本页]
作者: wd8929053 时间: 2009-10-18 23:11
标题: MRI2527:脑部肿瘤,(病理结果:淋巴瘤)
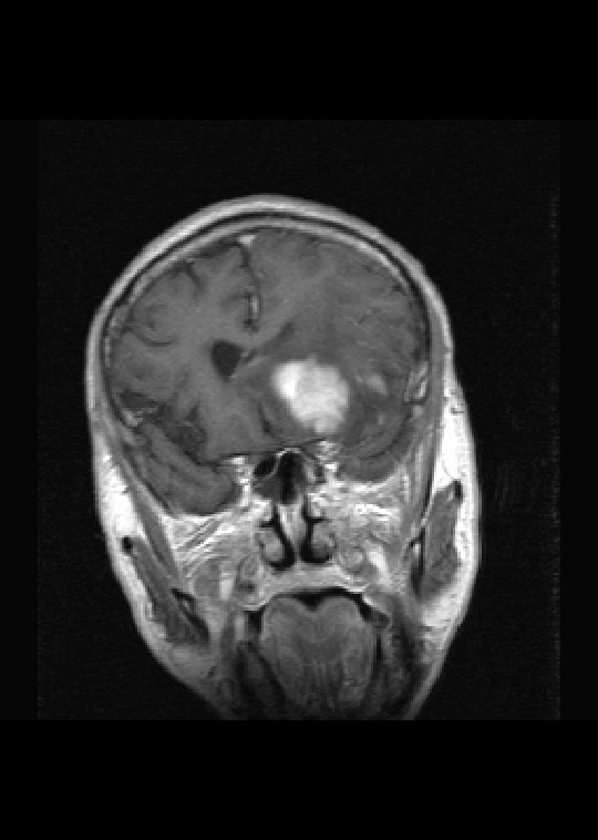
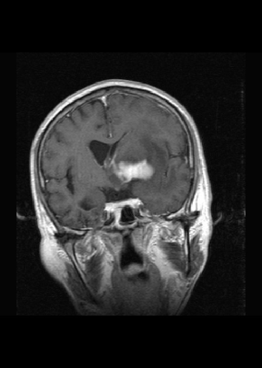
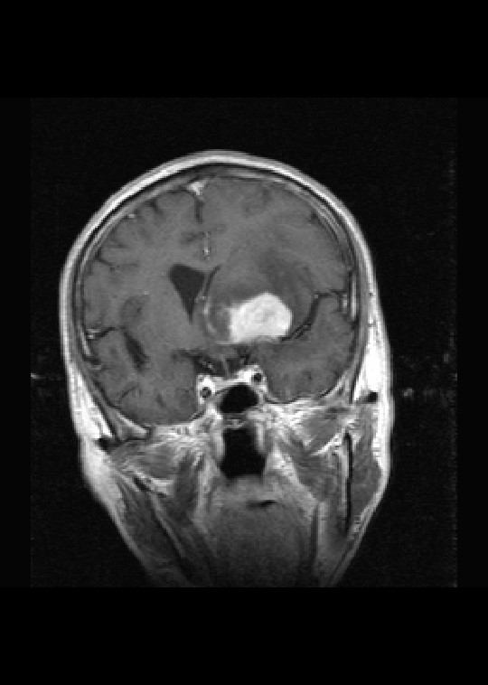
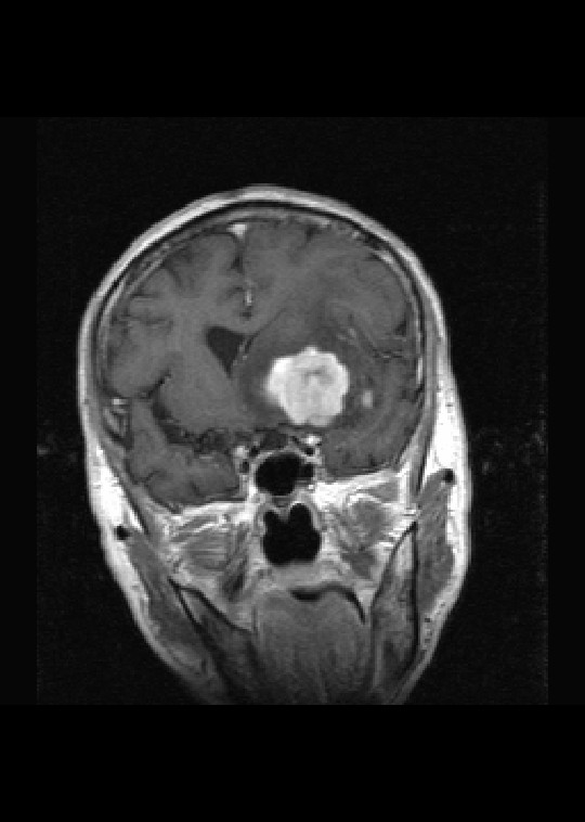
(左额颞叶)非霍奇金淋巴瘤,b细胞性,弥漫性大b细胞型。免疫组化结果:cd45(lca) +,vimentin +,ck(ae1/ae3) -,ema -,cd3 -,cd20 +++,cd30 -,plap -,cd79a +,gfap -,alk -,s-100 -。
[本贴已被 wd8929053 于 2009-10-21 12:29:58 修改过]




















[本贴已被 wd8929053 于 2009-10-21 12:32:42 修改过]
作者: zsl6918 时间: 2009-10-18 23:25
对mri图象认识一知半解,个人以为年龄较大的患者首先考虑胶质母细胞瘤和转移瘤。
作者: 郭凯 时间: 2009-10-19 00:21
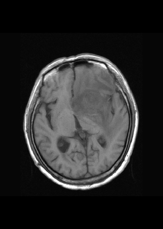
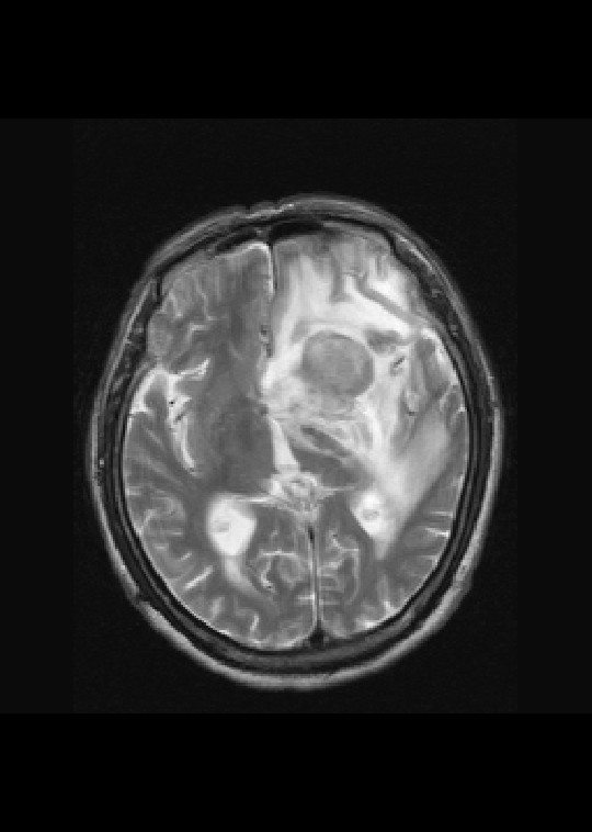
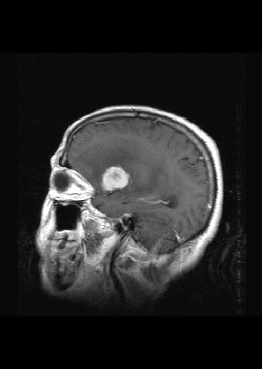
左侧基底节区异常强化信号,考虑胶质瘤。
作者: 三博 时间: 2009-10-19 01:02
基底节区团块样强化,淋巴瘤。
作者: huangxinghai 时间: 2009-10-19 06:27
考虑转移瘤
作者: guanaishengming 时间: 2009-10-19 07:05
淋巴瘤
作者: dzhq8766 时间: 2009-10-19 18:09
淋巴瘤。
作者: cmcedu 时间: 2009-10-19 21:35
考虑:胶质瘤(鉴别:淋巴瘤、畸胎瘤)
作者: liuqiang 时间: 2009-10-20 05:11
胶质瘤。
作者: zhang781119 时间: 2009-10-20 05:44
鉴别于胶质瘤与淋巴瘤。
本人是才学习者,见笑!
作者: hejie 时间: 2009-10-20 06:20
淋巴瘤。
作者: 施明 时间: 2009-10-20 16:19
胶质瘤?
作者: ailuanfei 时间: 2009-10-20 17:48
标题: 回复:mri2527:脑部肿瘤,三天后公布病理结果
以下是引用郭凯在2009-10-18 16:21:00的发言:[br]左侧基底节区异常强化信号,考虑胶质瘤。
作者: 卜一 时间: 2009-10-21 01:35
以下是引用郭凯在2009-10-18 16:21:00的发言:
左侧基底节区异常强化信号,考虑胶质瘤。
支持!
作者: xf74 时间: 2009-10-21 03:53
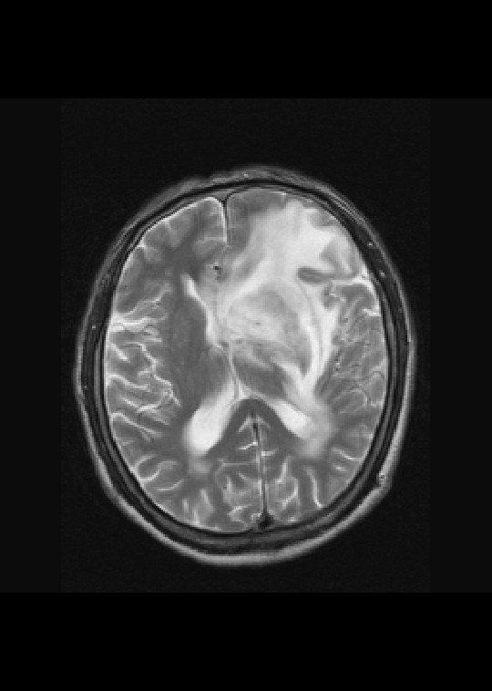
左侧基底节异常信号,水肿带明显,强化明显,考虑胶质瘤
作者: lycgh64 时间: 2009-10-21 05:31
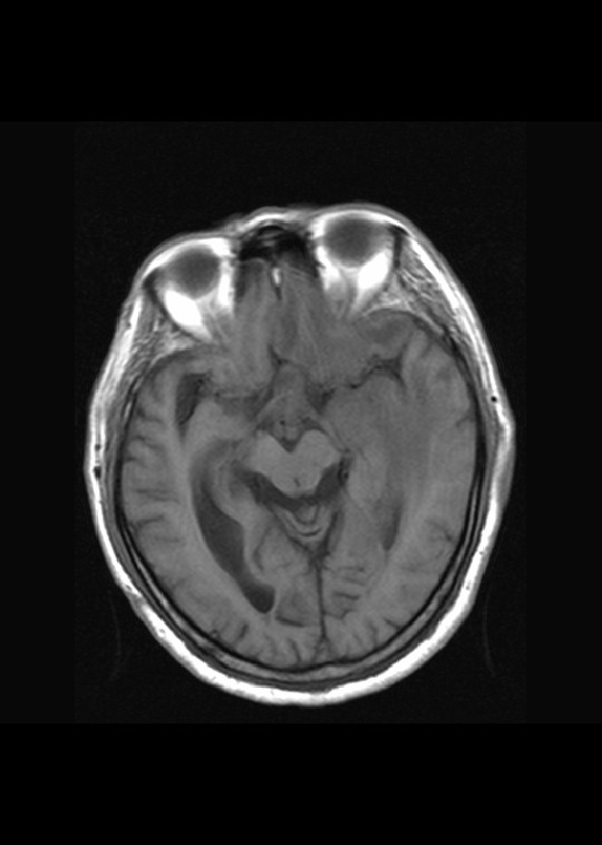
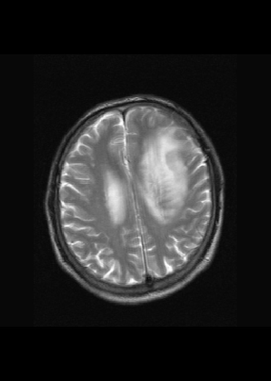
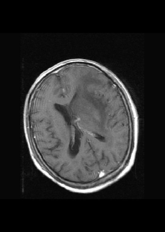
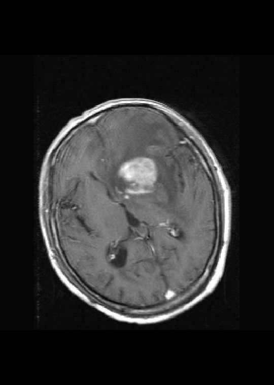
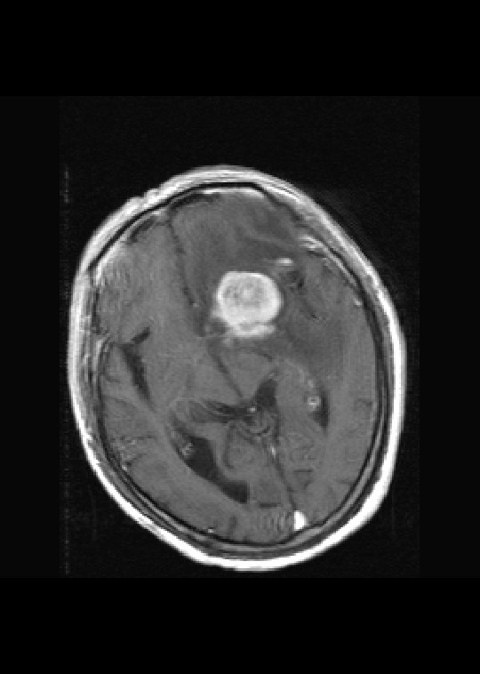
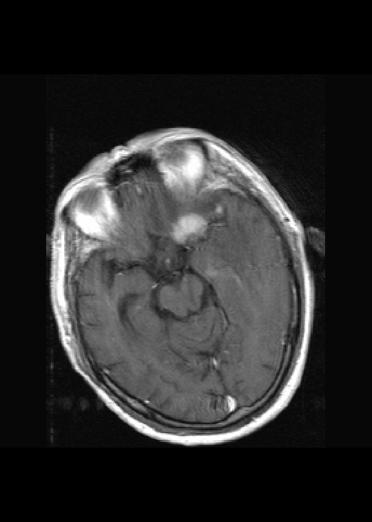
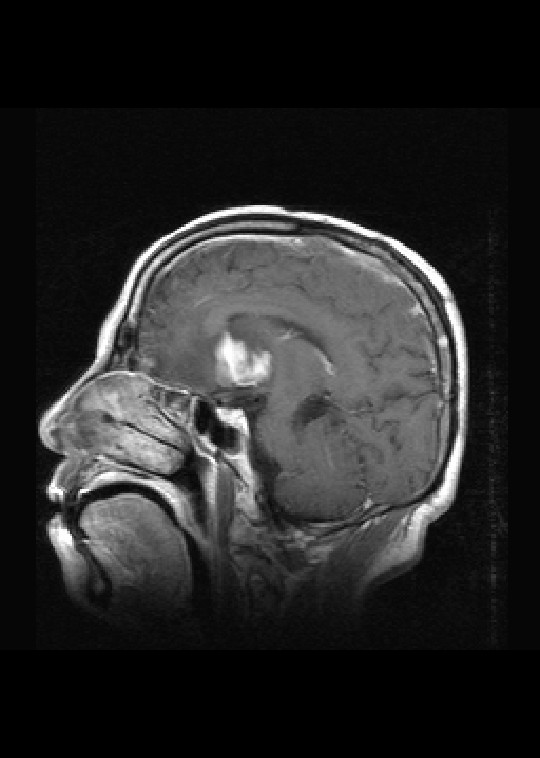
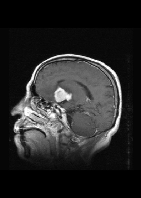
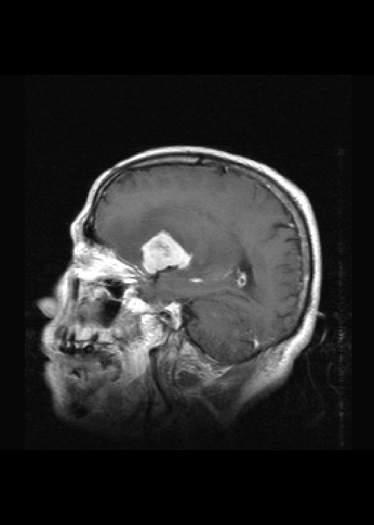
左侧基底节区病灶t1wi呈不均匀稍低信号,t2wi呈稍高信号,周围伴有水肿。增强扫描呈均匀团块样或者抱拳样明显强化,相邻的柔脑膜亦见线样强化。首先考虑淋巴瘤。可惜没有ct平扫,如果ct平扫病灶呈高密度,那么更支持pcnsl的诊断。
作者: tangbohu678 时间: 2009-10-21 18:02
左侧基底节区长t1长t2异常团块状信号,增强呈明显均一强化,水肿明显,挤压侧脑室前脚,本人考虑为胶质瘤可能性大。
作者: wawaquan 时间: 2009-10-21 18:24
首考淋巴瘤,不太支持胶质瘤。
作者: wd8929053 时间: 2009-10-21 20:29
病理结果:(左额颞叶)非霍奇金淋巴瘤,b细胞性,弥漫性大b细胞型。免疫组化结果:cd45(lca) +,vimentin +,ck(ae1/ae3) -,ema -,cd3 -,cd20 +++,cd30 -,plap -,cd79a +,gfap -,alk -,s-100 -。
作者: 康鹏 时间: 2009-10-22 01:30
淋巴瘤可能性大,考虑侵犯侧脑室
作者: wwp 时间: 2009-10-23 17:58
左侧基底节区病灶t1wi呈不均匀稍低信号,t2wi呈稍高信号,周围伴有水肿。增强扫描呈均匀团块样或者抱拳样明显强化,首先考虑淋巴瘤。
作者: pujunzhi 时间: 2009-10-23 18:21
感谢楼主反馈病理结果(淋巴瘤),学习了!
作者: qiuleiyu 时间: 2009-10-23 21:53
淋巴瘤,信号及强化方式较典型。灶周方广泛水肿相对较少见。长见识了。
作者: 黑白光影 时间: 2009-10-25 22:02
:(左额颞叶)非霍奇金淋巴瘤。
谢结果反馈。
| 欢迎光临 医影在线 (http://bbs.radida.com/bbs/) |
Powered by Discuz! X3.2 |