医影在线

标题: X6442:请会诊 [打印本页]

作者: 07619    时间: 2009-10-20 03:18
标题: X6442:请会诊
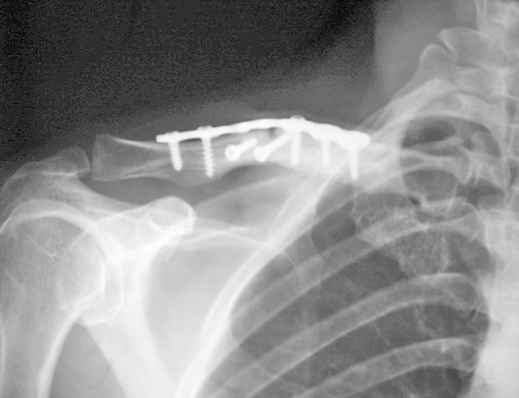
男,36,右锁骨骨折内固定一年,请问,愈合好吗,怎样描述


[本贴已被 jiajie 于 2009-10-19 19:33:04 修改过]

作者: zsl6918    时间: 2009-10-20 03:23
对位对线可。骨折线可见。
作者: 拾荒者    时间: 2009-10-20 05:14
对位对线可,一年了骨折线仍看见,应该说愈合的不好,不在钢板上的这两个钉子不知有什么用?
作者: 黑白光影    时间: 2009-10-20 06:28
对位对线可,愈合欠佳。
作者: 寻芳者    时间: 2009-10-20 07:17
对位对线可,愈合欠理想。-----------
作者: zxl51642    时间: 2009-10-20 17:18
对位对线可,愈合欠佳。
作者: 592438394    时间: 2009-10-20 17:26
对位对线可,愈合欠佳。
作者: weixiaoxiaoxiao    时间: 2009-10-20 17:57
对位对线可,一年了骨折线仍看见,应该说愈合的不好,不在钢板上的这两个钉子不知有什么用?
作者: wangzhip2009    时间: 2009-10-20 20:56
骨折线可见,对位对线可
作者: zoufeixiang    时间: 2009-10-20 21:06
对位对线可,骨折线可见,折端边缘骨质硬化。
作者: zhanggenliang    时间: 2009-10-20 23:14
对位对线可。愈合欠佳。不在钢板上的两个钉子不清楚原因
作者: 破釜沉舟    时间: 2009-10-20 23:28
我想是固定骨片所用。本例为延迟愈合。
作者: 眼睛    时间: 2009-10-21 02:54
支持楼上
作者: 杀毒软件    时间: 2009-10-21 03:13
髓腔中下部骨质致密,下缘皮质完整,应该说---愈合尚可,纵行透亮区---不排除螺钉所致---需结合临床。
作者: dyqct    时间: 2009-10-21 03:48
愈合的不好。
作者: 奥林克    时间: 2009-10-21 07:36
肯定属于愈合不好
作者: jinguoji    时间: 2009-10-21 21:03
对位对线可,愈合欠佳。
作者: shibing    时间: 2014-9-25 08:10
对位对线可,愈合欠佳。




欢迎光临 医影在线 (http://bbs.radida.com/bbs/) Powered by Discuz! X3.2