医影在线

标题: PED2951:男性,12岁。反复头痛呕吐半月。请会诊! [打印本页]

作者: 心愿    时间: 2009-10-21 17:44
标题: PED2951:男性,12岁。反复头痛呕吐半月。请会诊!
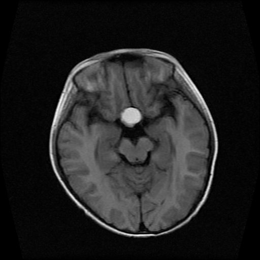
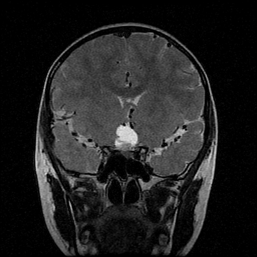
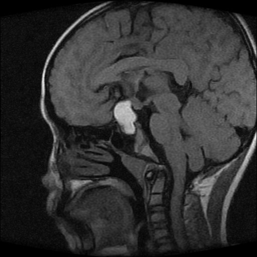
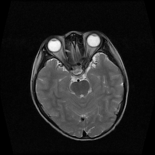
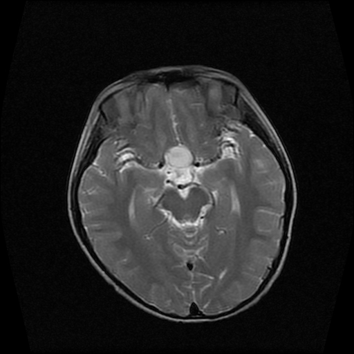
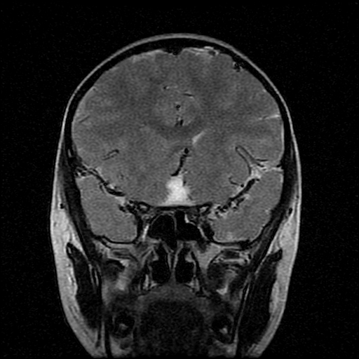
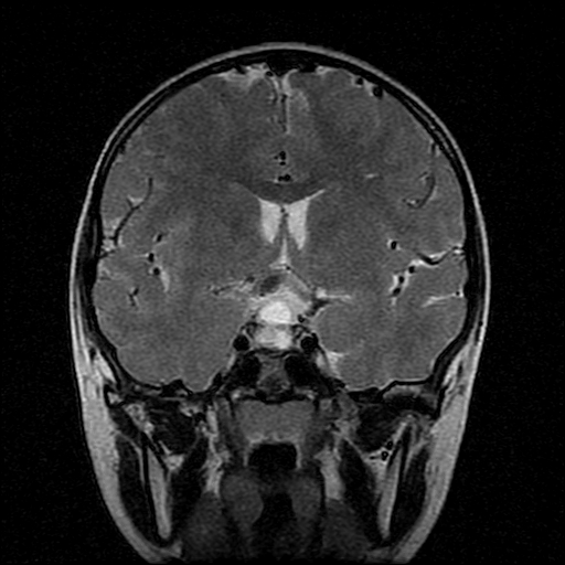
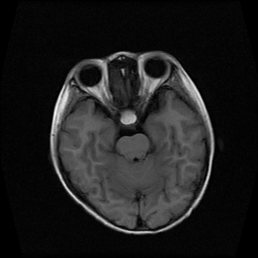
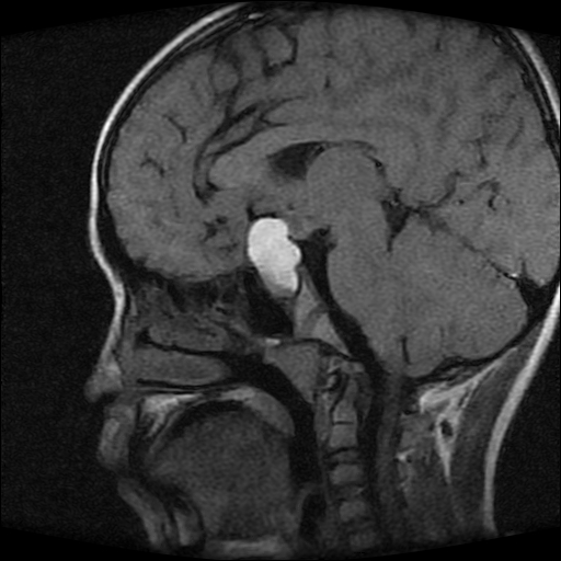
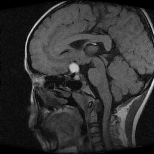
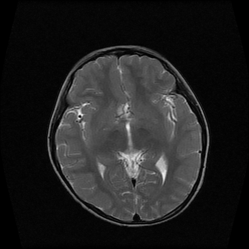
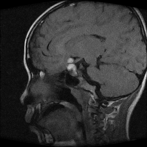
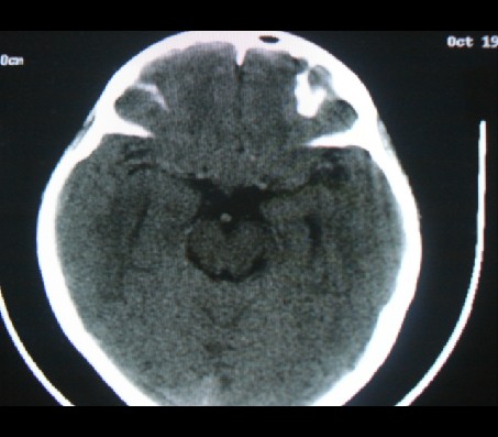
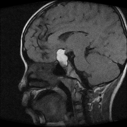
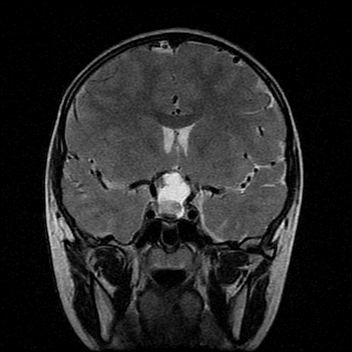
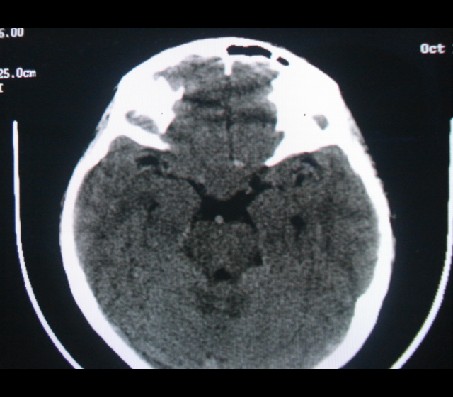
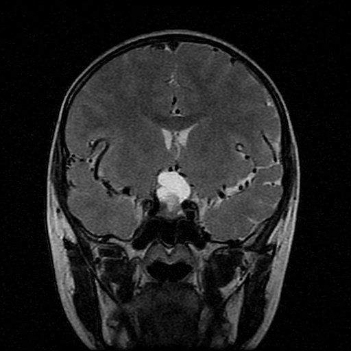
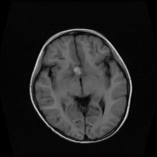
男性,12岁。反复头痛呕吐半月。脑积液无异常。病变部位ct值32hu,dwi无异常。
























[本贴已被 jiajie 于 2009-10-21 21:43:26 修改过]

作者: zsl6918    时间: 2009-10-21 17:51
考虑生殖细胞肿瘤
作者: wawaquan    时间: 2009-10-21 18:11
鞍上为主,累及鞍内,垂体受压位于鞍底。mri呈短t1、长t2信号,不太支持生殖细胞肿瘤,首考颅咽管瘤。
作者: 三博    时间: 2009-10-21 20:18
平扫看首先考虑颅咽管瘤,病人需增强扫描。
作者: 影像怪才    时间: 2009-10-21 23:06
鞍内囊性占位性病变,t1wi、t2wi,均为高信号影。ct平扫为等密度。发病年龄较小。故首先考虑颅咽管瘤,可以做ct增强扫描
作者: 施明    时间: 2009-10-22 03:42
支持
作者: lycgh64    时间: 2009-10-22 04:15
符合鞍上及鞍内颅咽管瘤影像表现,
作者: 天堂鸟    时间: 2009-10-22 04:51
支持考虑颅咽管瘤,建议进一步增强检查。
作者: dyqct    时间: 2009-10-22 06:44
支持考虑颅咽管瘤。
作者: 黑白光影    时间: 2009-10-22 06:59
首先考虑颅咽管瘤
作者: zxl51642    时间: 2009-10-22 17:51
首先考虑颅咽管瘤
作者: 同    时间: 2009-10-22 23:50
考虑颅咽管瘤。
作者: sunbin    时间: 2009-10-23 01:23
考虑颅咽管瘤可能性大。
作者: 道哥    时间: 2009-10-23 02:24
鞍内囊性占位性病变,t1wi、t2wi,均为高信号影。ct平扫为等密度。发病年龄较小。故首先考虑颅咽管瘤,可以做ct增强扫描
作者: 拾荒者    时间: 2009-10-23 02:43
鞍内囊性占位性病变,t1wi、t2wi,均为高信号影。ct平扫为等密度。发病年龄较小。故首先考虑颅咽管瘤。
支持!
作者: 李世军    时间: 2009-10-23 04:23
鞍上为主,累及鞍内,垂体受压位于鞍底。mri呈短t1、长t2信号,不太支持生殖细胞肿瘤,首考颅咽管瘤。
作者: 513ytb    时间: 2009-10-23 08:33
故首先考虑颅咽管瘤.
作者: w_jianhua    时间: 2009-10-24 19:51
考虑颅咽管瘤




欢迎光临 医影在线 (http://bbs.radida.com/bbs/) Powered by Discuz! X3.2