医影在线
标题: CT22771:宫颈癌复查 [打印本页]
作者: 泪洒红尘 时间: 2009-10-22 05:28
标题: CT22771:宫颈癌复查
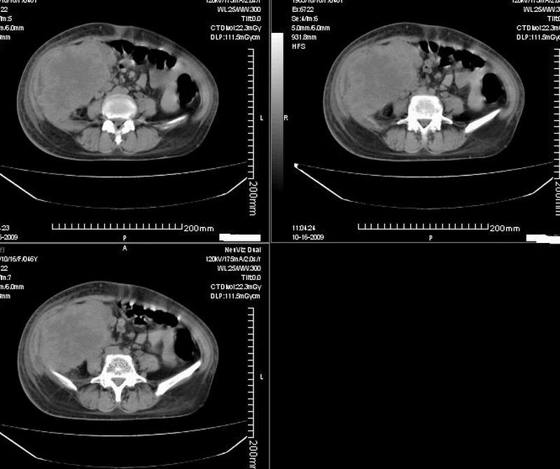
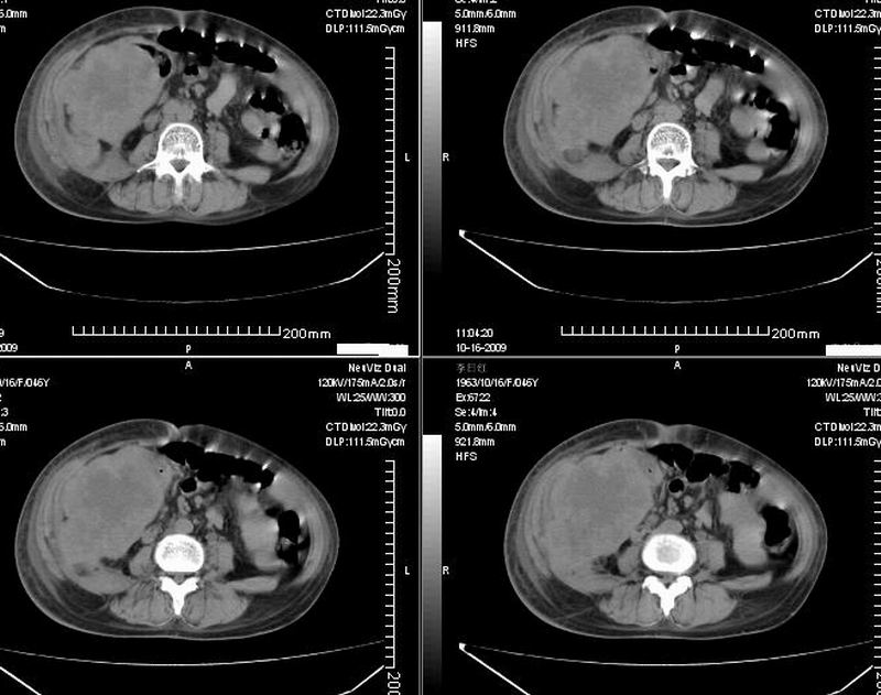
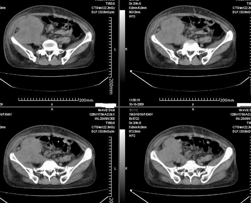
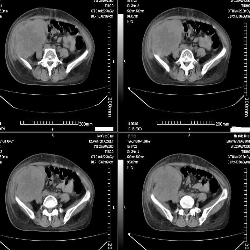
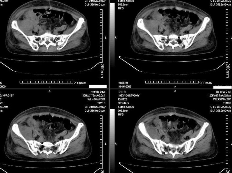
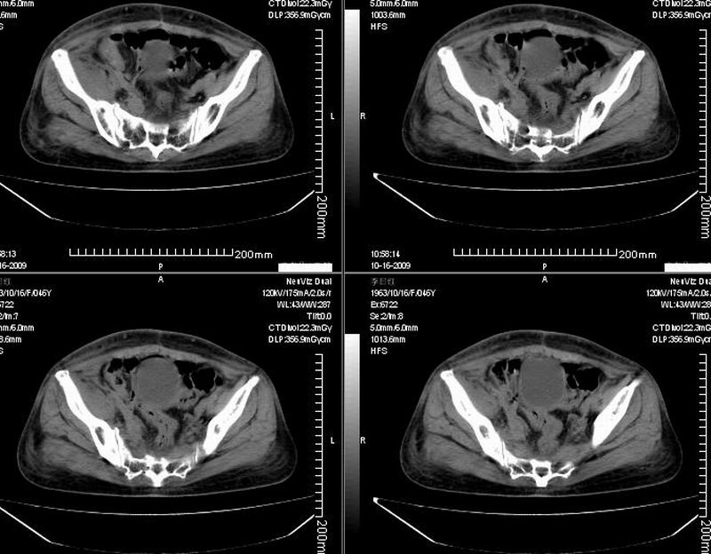
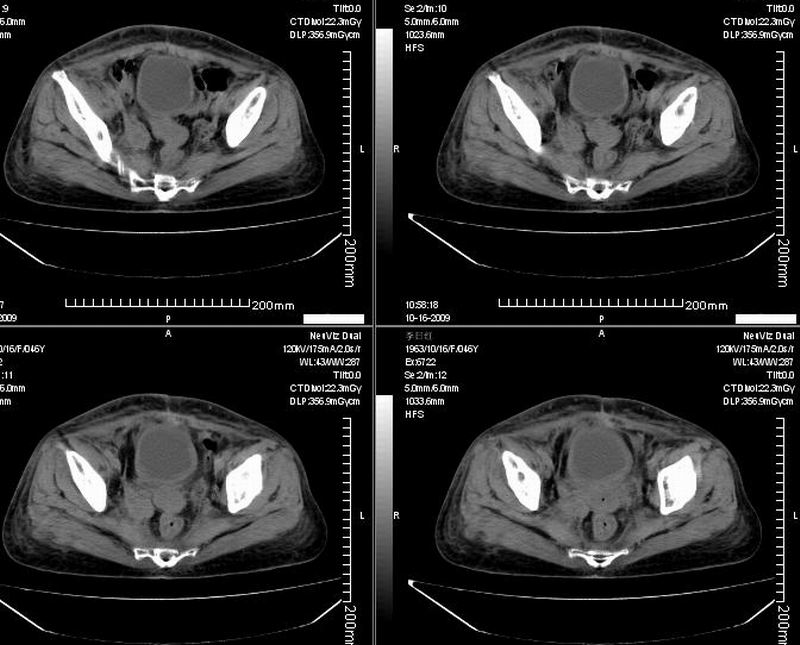
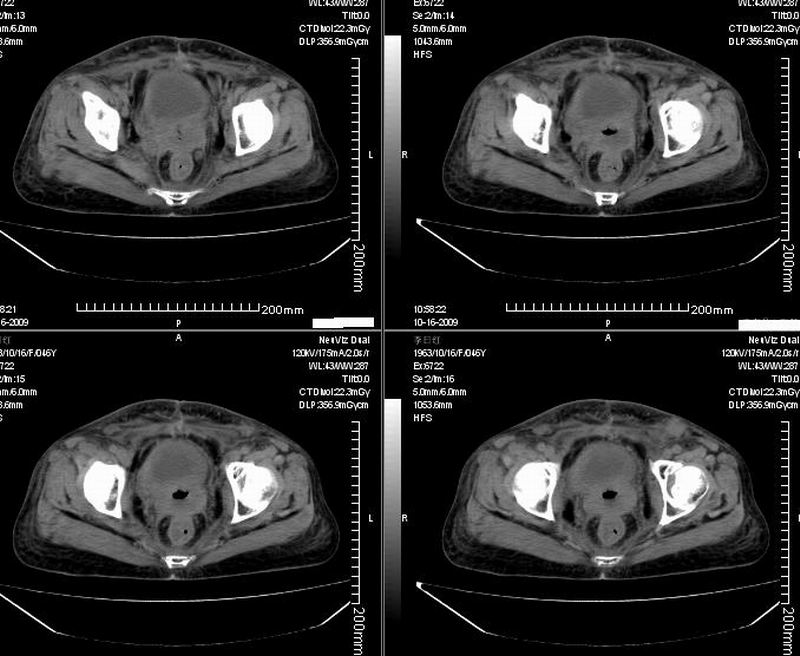
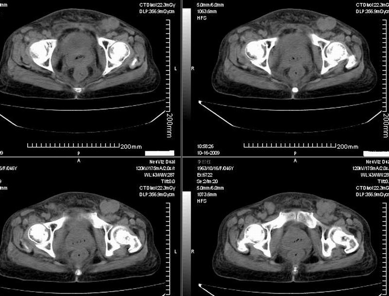
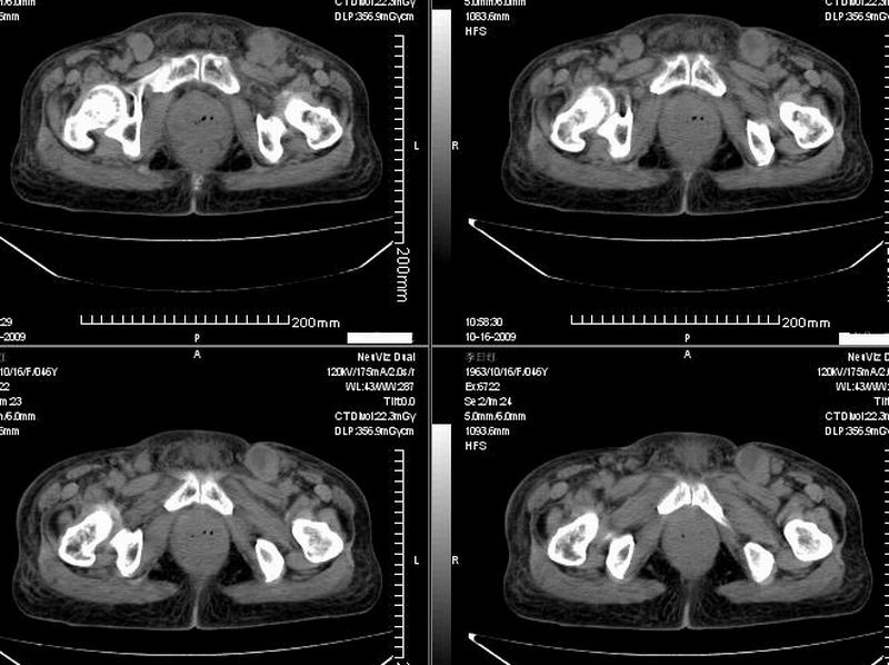
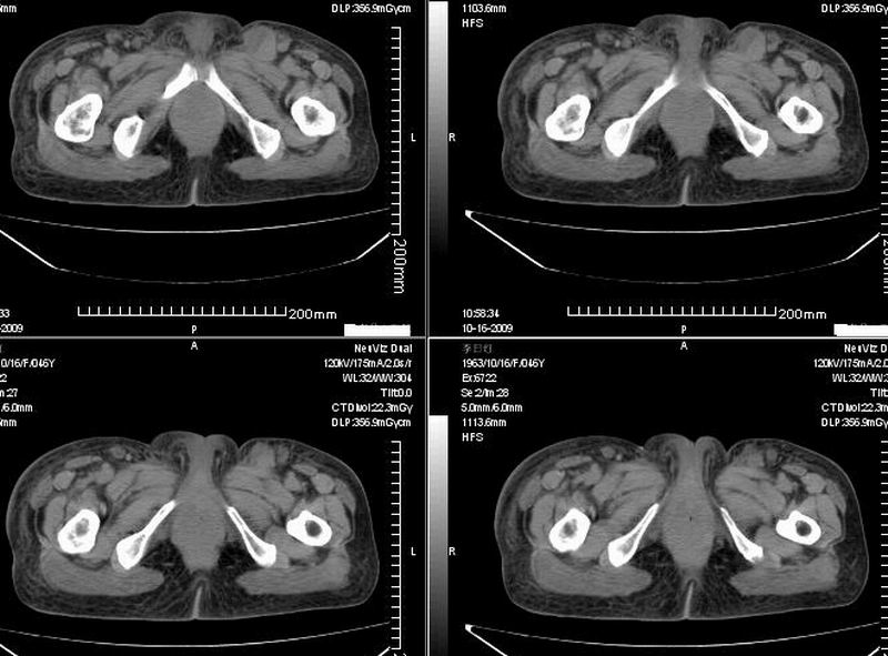
女:46y:一年前宫颈癌术后,现右下腹抚及肿块。












[本贴已被 jiajie 于 2009-10-21 21:41:05 修改过]
作者: panyishengct 时间: 2009-10-22 06:13
考虑宫颈癌术后复发周边侵犯/右中下腹及双侧腹股沟淋巴结转移。
作者: 胡宇 时间: 2009-10-22 06:51
考虑宫颈癌术后复发周边侵犯/右中下腹及双侧腹股沟淋巴结转移。
作者: tian1238 时间: 2009-10-22 10:33
标题: 回复:ct22771:宫颈癌复查
以下是引用panyishengct在2009-10-21 22:13:00的发言:[br]考虑宫颈癌术后复发周边侵犯/右中下腹及双侧腹股沟淋巴结转移。
作者: yuhongjun 时间: 2009-10-22 13:42
考虑宫颈癌术后复发周边侵犯/右中下腹及双侧腹股沟淋巴结转移。
支持。
作者: zsl6918 时间: 2009-10-22 15:41
标题: 回复:ct22771:宫颈癌复查
以下是引用panyishengct在2009-10-21 22:13:00的发言:[br]考虑宫颈癌术后复发周边侵犯/右中下腹及双侧腹股沟淋巴结转移。
作者: 张辉9999 时间: 2009-10-22 15:49
考虑宫颈癌术后复发周边侵犯/右中下腹及双侧腹股沟淋巴结转移。
作者: 施明 时间: 2009-10-22 15:53
支持
作者: 731208 时间: 2009-10-22 15:57
考虑宫颈癌术后复发周边侵犯/右中下腹及双侧腹股沟淋巴结转移。
作者: LIAOQIANG 时间: 2009-10-22 16:10
考虑宫颈癌术后复发周边侵犯并右中下腹转移灶及双侧腹股沟淋巴结转移。
支持。
作者: 深泽交通 时间: 2009-10-22 17:17
标题: 回复:ct22771:宫颈癌复查
以下是引用liaoqiang在2009-10-22 8:10:00的发言:[br]考虑宫颈癌术后复发周边侵犯并右中下腹转移灶及双侧腹股沟淋巴结转移。 [br]支持。
作者: muzi888 时间: 2009-10-22 17:17
支持!
作者: xiari 时间: 2009-10-22 17:19
支持转移
作者: 卜一 时间: 2009-10-22 17:43
考虑宫颈癌术后复发周边侵犯/右中下腹及双侧腹股沟淋巴结转移。
支持!
作者: zxl51642 时间: 2009-10-22 17:46
以下是引用panyishengct在2009-10-21 22:13:00的发言:
考虑宫颈癌术后复发周边侵犯/右中下腹及双侧腹股沟淋巴结转移。
作者: ygdygd123a 时间: 2009-10-22 18:38
支持宫颈癌术后复发周边侵犯/右中下腹及双侧腹股沟淋巴结转移
作者: 吴医师 时间: 2009-10-22 19:43
标题: 回复:ct22771:宫颈癌复查
以下是引用panyishengct在2009-10-21 22:13:00的发言:[br]考虑宫颈癌术后复发周边侵犯/右中下腹及双侧腹股沟淋巴结转移。
| 欢迎光临 医影在线 (http://bbs.radida.com/bbs/) |
Powered by Discuz! X3.2 |