医影在线

标题: CT22773:下腹痛查因 [打印本页]

作者: 泪洒红尘    时间: 2009-10-22 05:48
标题: CT22773:下腹痛查因
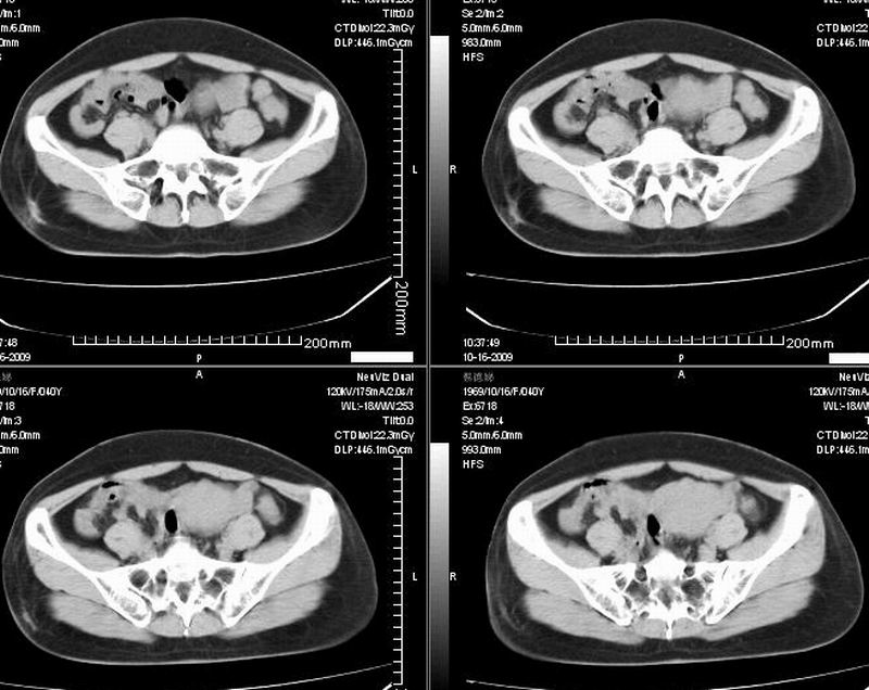
女:40y:下腹隐痛1周+,无其它不适,这个子宫会太一点吗?有临床意义吗?









[本贴已被 jiajie 于 2009-10-21 21:58:46 修改过]

作者: panyishengct    时间: 2009-10-22 06:21
宫腔内有积液,考虑炎症可能
作者: kh    时间: 2009-10-22 06:25
形态不规则,不能除外肌瘤可能。
作者: tian1238    时间: 2009-10-22 10:50
标题: 回复:ct22773:下腹痛查因
以下是引用panyishengct在2009-10-21 22:21:00的发言:[br]宫腔内有积液,考虑炎症可能

作者: yuhongjun    时间: 2009-10-22 13:28
子宫偏左,略显增大,期内可见低密度改变,考虑宫腔积液可能。
作者: zsl6918    时间: 2009-10-22 15:34
可能合并有子宫肌瘤
作者: 731208    时间: 2009-10-22 15:36
形态不规则,不能除外肌瘤可能。
作者: 张辉9999    时间: 2009-10-22 15:43
子宫偏左,略显增大,期内可见低密度改变,考虑宫腔积液可能。 不能除外肌瘤可能。
作者: ZHANGHUANG0515    时间: 2009-10-22 15:44
子宫体积稍增大,其内见低密度影。考虑宫腔积液可能。
作者: 施明    时间: 2009-10-22 15:57
做个b超
作者: ncy888888    时间: 2009-10-22 16:06
子宫不规则的增大 宫腔内积液 有多种考虑
1 子宫肌瘤
2 子宫腺肌症
3 子宫内膜炎
4 月经期 (宫腔内积血)
作者: 深泽交通    时间: 2009-10-22 17:14
标题: 回复:ct22773:下腹痛查因
以下是引用panyishengct在2009-10-21 22:21:00的发言:[br]宫腔内有积液,考虑炎症可能

作者: 卜一    时间: 2009-10-22 17:37
不除外肌瘤可能。
作者: zxl51642    时间: 2009-10-22 17:50
不除外肌瘤可能,建议超声。
作者: 吴医师    时间: 2009-10-22 19:53
标题: 回复:ct22773:下腹痛查因
以下是引用zxl51642在2009-10-22 9:50:00的发言:[br]不除外肌瘤可能,建议超声。





欢迎光临 医影在线 (http://bbs.radida.com/bbs/) Powered by Discuz! X3.2