医影在线

标题: PED2953:脑部病变,请分析。 [打印本页]

作者: caihe    时间: 2009-10-23 04:07
标题: PED2953:脑部病变,请分析。
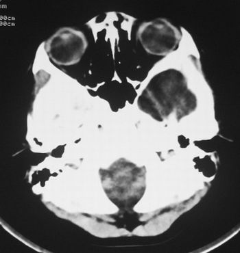
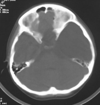
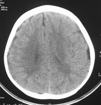
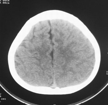
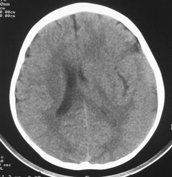
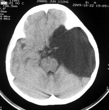
患儿,男,8岁,外伤2小时,无恶心、呕吐,四肢活动正常。既往无任何不适,智力发育正常。























[本贴已被 翁志蓬 于 2009-10-22 21:16:57 修改过]

作者: 李世军    时间: 2009-10-23 04:20
皮样囊肿、蛛网膜囊肿
作者: yangyang2000    时间: 2009-10-23 05:15
蛛网膜囊肿
作者: dyqct    时间: 2009-10-23 05:58
典型的左中颅窝蛛网膜囊肿。
作者: SBJQKOPV    时间: 2009-10-23 06:08
蛛网膜囊肿
作者: 道哥    时间: 2009-10-23 22:09
典型的左中颅窝蛛网膜囊肿。
作者: 同    时间: 2009-10-23 22:58
左侧中颅窝蛛网膜囊肿
作者: sunbin    时间: 2009-10-24 02:19
左颅中窝蛛网膜囊肿。
作者: 拾荒者    时间: 2009-10-24 03:06
典型的左中颅窝蛛网膜囊肿。
作者: 杀毒软件    时间: 2009-10-25 04:41
典型
作者: 飘浮的影子    时间: 2009-10-25 06:10
蛛网膜囊肿,需与表皮样囊肿鉴别。
作者: zy_zj    时间: 2009-10-25 20:27
典型的左中颅窝蛛网膜囊肿。最常见的发病部位,张力比较高,相应颅板受压变薄。赶紧治疗,脑组织的功能可能部分恢复。
作者: dongshuyin    时间: 2009-10-25 23:18
支持      
左侧中颅窝蛛网膜囊肿




欢迎光临 医影在线 (http://bbs.radida.com/bbs/) Powered by Discuz! X3.2