医影在线

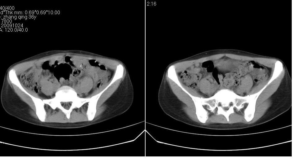
标题: CT22811:女 36岁,B超提示右侧附件囊性占位。 [打印本页]

作者: 同    时间: 2009-10-24 22:13
标题: CT22811:女 36岁,B超提示右侧附件囊性占位。
(结果公布:http://www.radida.com/bbs/forum.php?mod=viewthread&tid=59596












[本贴已被 jiajie 于 2009-10-29 21:55:54 修改过]

作者: 杀毒软件    时间: 2009-10-24 23:18
先考虑---卵巢囊肿。

子宫内膜增厚---可能是卵巢激素紊乱造成的。
作者: 深泽交通    时间: 2009-10-24 23:35
支持卵巢囊肿
作者: 513ytb    时间: 2009-10-24 23:36
支持卵巢囊肿 .
作者: zy_zj    时间: 2009-10-25 00:03
支持卵巢囊肿  
2楼的老师,子宫内膜增厚怎么看出来的?宫腔存在啊
作者: 卜一    时间: 2009-10-25 00:30
支持卵巢囊肿 !
作者: 蒂萨    时间: 2009-10-25 00:34
支持卵巢囊肿
作者: 高学强    时间: 2009-10-25 00:52
支持卵巢囊肿
作者: zxl51642    时间: 2009-10-25 01:11
右侧卵巢囊肿
作者: 医中人    时间: 2009-10-25 02:42
厉害
作者: 康鹏    时间: 2009-10-25 04:20
支持卵巢囊肿
作者: 影像孺子牛    时间: 2009-10-25 07:27
支持卵巢囊肿
作者: 飘浮的影子    时间: 2009-10-25 07:40
右侧卵巢囊肿。
作者: 张辉9999    时间: 2009-10-25 15:51
右侧卵巢囊肿。
作者: 眼睛    时间: 2009-10-25 20:40
右侧卵巢囊肿
作者: 731208    时间: 2009-10-25 20:56
右侧卵巢囊肿
作者: 黑白光影    时间: 2009-10-25 21:51
支持卵巢囊肿
作者: zsl6918    时间: 2009-10-26 01:31
支持右侧附件良性囊性占位性改变。
作者: dsl555    时间: 2009-10-26 01:54
支持卵巢囊肿 .
作者: panyishengct    时间: 2009-10-26 05:02
支持卵巢囊肿
作者: jinguoji    时间: 2009-10-26 18:09
支持卵巢囊肿。
作者: tian1238    时间: 2009-10-26 18:35
支持卵巢囊肿。
作者: 李兴    时间: 2009-10-26 19:22
卵巢囊肿
作者: 泪洒红尘    时间: 2009-10-30 03:41
谢谢楼主意见反馈。
作者: 拾荒者    时间: 2009-10-30 05:06
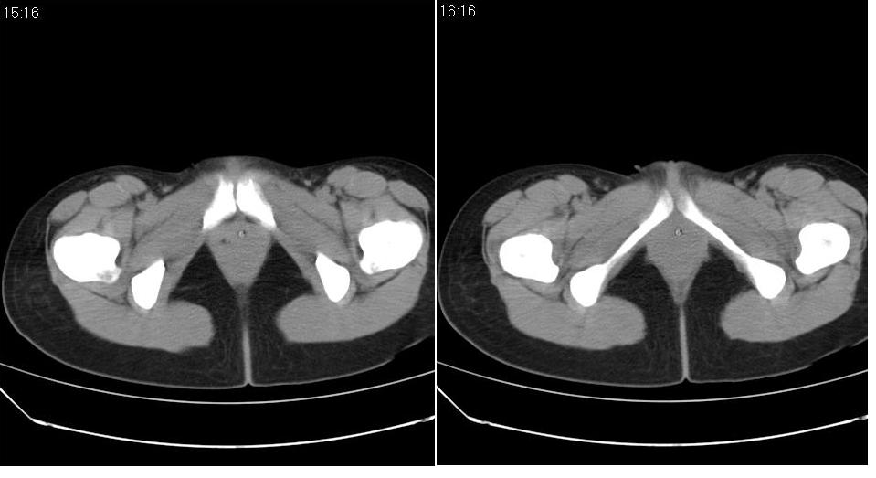
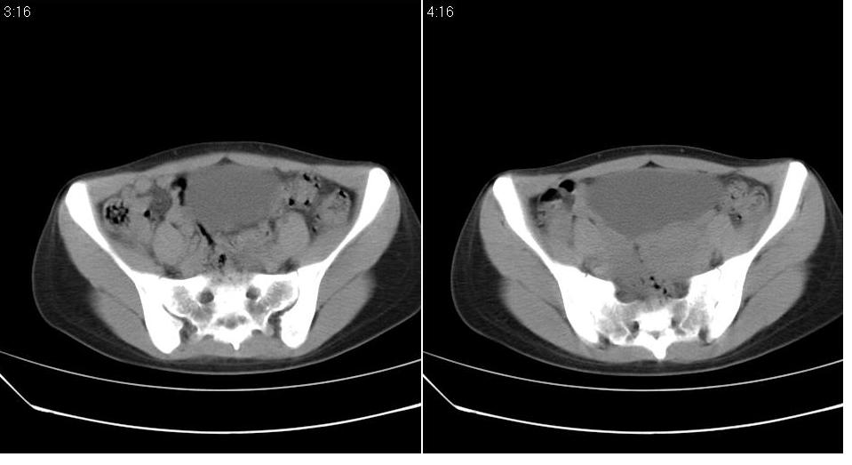
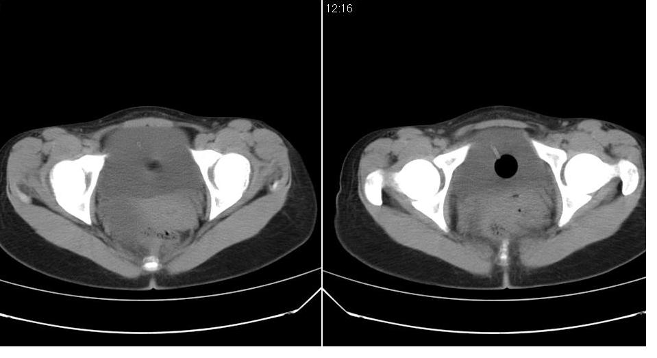
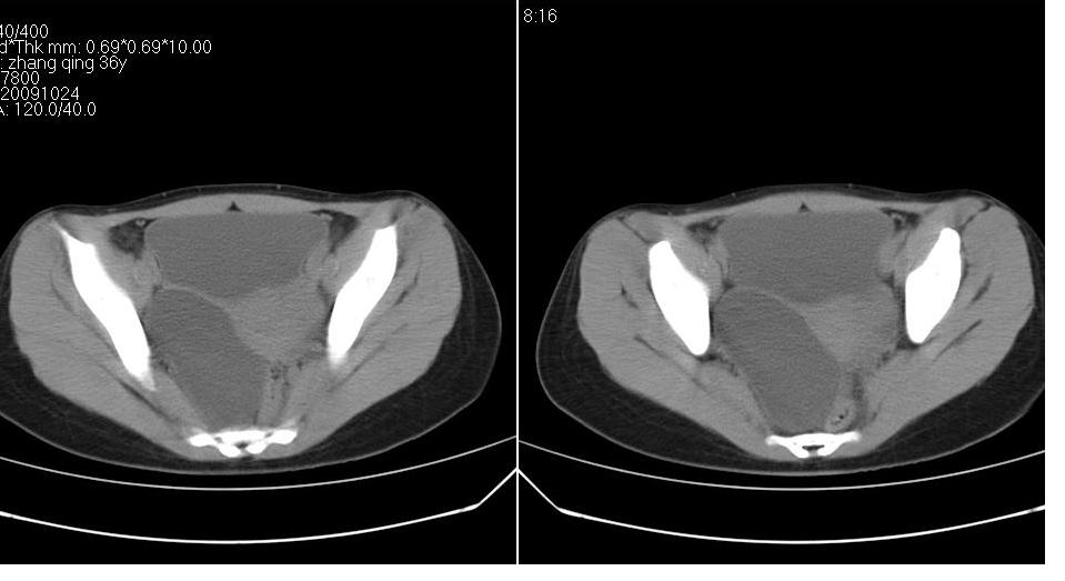
ct22811输卵管囊肿
   
手术结果证实为右侧输卵管囊肿。  
  输卵管囊肿?
作者: 影像孺子牛    时间: 2009-10-30 05:16
谢谢楼主反馈结果,学习了。
作者: 杀毒软件    时间: 2009-10-30 05:31
输卵管囊肿?
作者: dyqct    时间: 2009-10-31 01:18
输卵管囊肿罕见,从影像上无法同卵巢囊肿区分。
作者: yuhongjun    时间: 2009-10-31 14:24
感谢楼主。
作者: hurb    时间: 2009-10-31 18:04
输卵管囊肿一般是指输卵管受病原体感染以后,由于白细胞的浸润形成内膜肿胀、间质水肿、渗出,输卵管粘膜上皮脱落,如果输卵管急性期炎症没得到及时有效的治疗就形成了输卵管积脓。输卵管积脓在炎症消退后,脓液逐渐被吸收,腔内积液由脓性变为浆液性,则成为输卵管囊肿。
输卵管积水是不是另一种说法。
作者: 影像之路    时间: 2009-11-2 16:54
还是报右侧附件区良性囊性占位性改变       至于输尿管或卵巢囊肿不太好鉴别
作者: yuejun2001    时间: 2009-11-2 19:04
标题: 回复:ct22811:女 36岁,b超提示右侧附件囊性占位。
以下是引用dyqct在2009-10-30 17:18:00的发言:[br]输卵管囊肿罕见,从影像上无法同卵巢囊肿区分。

支持。附件囊肿。
作者: lffw    时间: 2009-11-3 06:33
支持卵巢囊肿
作者: 吴医师    时间: 2009-12-3 20:16
右侧输卵管囊肿。谢谢反馈结果
作者: ct诊断高手    时间: 2009-12-3 20:57
支持卵巢囊肿




欢迎光临 医影在线 (http://bbs.radida.com/bbs/) Powered by Discuz! X3.2