医影在线

标题: PED2957:男,9岁.咳嗽发烧3天,T37---39. [打印本页]

作者: 07619    时间: 2009-10-24 23:29
标题: PED2957:男,9岁.咳嗽发烧3天,T37---39.
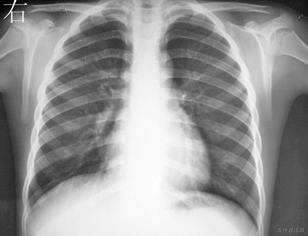
男,9岁.咳嗽发烧3天,t37---39.  请各位发表意见





[本贴已被 jiajie 于 2009-10-24 20:37:30 修改过]

作者: zhanggenliang    时间: 2009-10-24 23:32
双肺纹理增粗紊乱,以右下肺为著。考虑支气管炎。建议抗炎后复查
作者: 杀毒软件    时间: 2009-10-25 00:13
是不流感了
作者: 蒂萨    时间: 2009-10-25 00:48
双肺纹理增粗紊乱
作者: zxl51642    时间: 2009-10-25 01:53
支气管炎
作者: 观影朔征    时间: 2009-10-25 04:00
心肺大致正常
作者: hexue    时间: 2009-10-25 04:25
未见明显异常
作者: 康鹏    时间: 2009-10-25 04:33
未见异常
作者: 拾荒者    时间: 2009-10-25 05:03
双肺纹理增强,右肺门影增浓,支持考虑支气管炎。
作者: 飘浮的影子    时间: 2009-10-25 07:12
心肺未见异常。
作者: zy_zj    时间: 2009-10-25 21:06
正常——片子上所示。或许ct上有异常
如果这个片子肺纹理增强,那么基本的片子没有不报增强的。
作者: 同    时间: 2009-10-25 22:39
标题: 回复:ped2957:男,9岁.咳嗽发烧3天,t37---39.
以下是引用蒂萨在2009-10-24 16:48:00的发言:[br]双肺纹理增粗紊乱

作者: zsl6918    时间: 2009-10-26 03:31
大致正常
作者: sunbin    时间: 2009-10-27 01:32
提示支气管炎。
作者: scdlc2008    时间: 2009-10-27 05:10
正常
作者: 水中捞月    时间: 2009-10-29 03:52
心肺未见明显异常




欢迎光临 医影在线 (http://bbs.radida.com/bbs/) Powered by Discuz! X3.2