医影在线
标题: X6479:左髋及腰椎病变 [打印本页]
作者: 杏林古木 时间: 2009-10-28 05:07
标题: X6479:左髋及腰椎病变
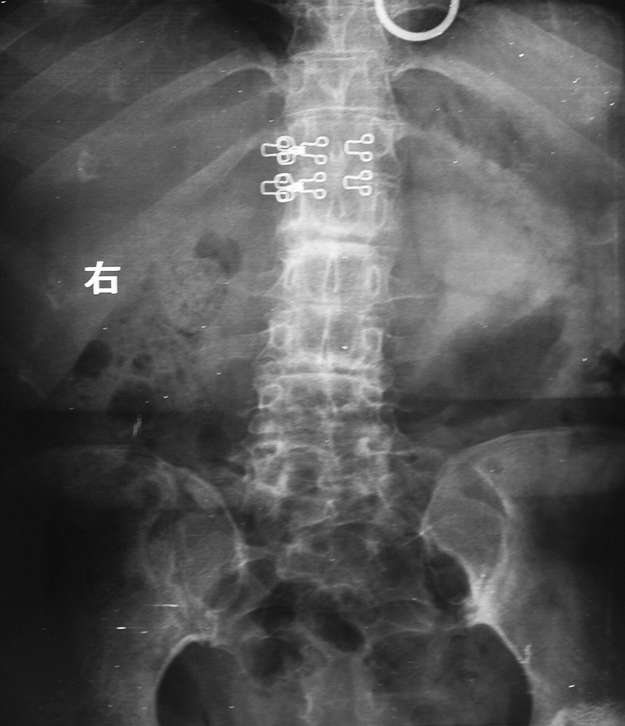
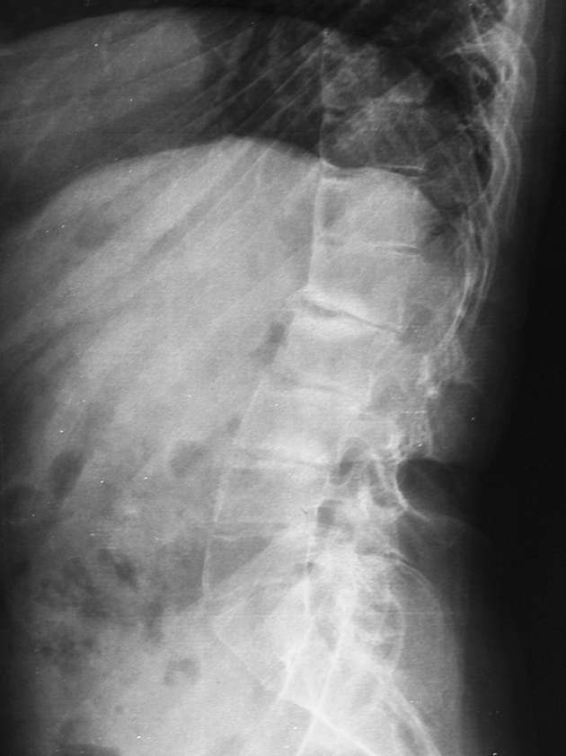
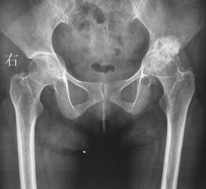
女性34岁,左髋疼痛5年,伴有背部疼痛,腰部活动受限,局部有压痛。


[本贴已被 cefcmj 于 2009-10-27 21:29:24 修改过]
作者: 拾荒者 时间: 2009-10-28 05:34
腰椎、左侧骶髂关节及双侧髋关节间隙变窄,左侧明显且有软骨下局部骨硬化,首先考虑强制性脊柱炎,鉴别包括类风湿性关节炎、沙门氏菌骨关节感染及布氏菌骨关节感染等。
作者: dyqct 时间: 2009-10-28 06:14
支持拾荒者。
作者: dengkai 时间: 2009-10-28 06:17
考虑强制性脊柱炎
作者: 黑白光影 时间: 2009-10-28 06:47
支持二楼
作者: dr.yang 时间: 2009-10-28 07:29
支持
作者: 寻芳者 时间: 2009-10-28 07:57
强制性脊柱炎
?????????????????????
作者: hexue 时间: 2009-10-28 08:56
首先考虑强直性脊柱炎
作者: 张辉9999 时间: 2009-10-28 15:26
首先考虑强直性脊柱炎
作者: 刘立龙 时间: 2009-10-28 18:09
考虑强直性脊柱炎
作者: zxl51642 时间: 2009-10-28 18:28
脊柱改变支持as,需查hla-b27及结合临床。骨盆为奥托氏骨盆,左侧股骨头无菌性坏死继发关节退变可能。
作者: 小初学者 时间: 2009-10-29 02:08
脊柱骨骺发育异常并进行性关节病
作者: zsl6918 时间: 2009-10-29 02:56
考虑强直性脊柱炎
作者: 513ytb 时间: 2009-10-29 05:57
腰椎、左侧骶髂关节及双侧髋关节间隙变窄,左侧明显且有软骨下局部骨硬化,首先考虑强制性脊柱炎.
作者: ydx_74 时间: 2009-10-29 06:00
支持
作者: jiahui7z 时间: 2009-10-29 16:50
考虑强制性脊柱炎
作者: jinguoji 时间: 2009-10-29 21:14
标题: 回复:x6479:左髋及腰椎病变
以下是引用拾荒者在2009-10-27 21:34:00的发言:[br]腰椎、左侧骶髂关节及双侧髋关节间隙变窄,左侧明显且有软骨下局部骨硬化,首先考虑强制性脊柱炎,鉴别包括类风湿性关节炎、沙门氏菌骨关节感染及布氏菌骨关节感染等。
支持!
作者: zhanggenliang 时间: 2009-10-31 02:54
标题: 回复:x6479:左髋及腰椎病变
以下是引用拾荒者在2009-10-27 21:34:00的发言:[br]腰椎、左侧骶髂关节及双侧髋关节间隙变窄,左侧明显且有软骨下局部骨硬化,首先考虑强制性脊柱炎,鉴别包括类风湿性关节炎、沙门氏菌骨关节感染及布氏菌骨关节感染等。
作者: yuhongjun 时间: 2009-11-1 14:07
首先考虑强直性脊柱炎。
作者: me13930865 时间: 2009-11-3 04:18
强脊
作者: 爱克斯光 时间: 2009-11-3 04:29
腰椎竹节样改变,考虑强直性脊柱炎
作者: xiaose 时间: 2009-11-28 06:11
单从骨盆片来看的话确实应该怀疑类风湿 这个和otto骨盆有点像
作者: shibing 时间: 2014-11-3 08:47
强直性脊柱炎
| 欢迎光临 医影在线 (http://bbs.radida.com/bbs/) |
Powered by Discuz! X3.2 |