



































































































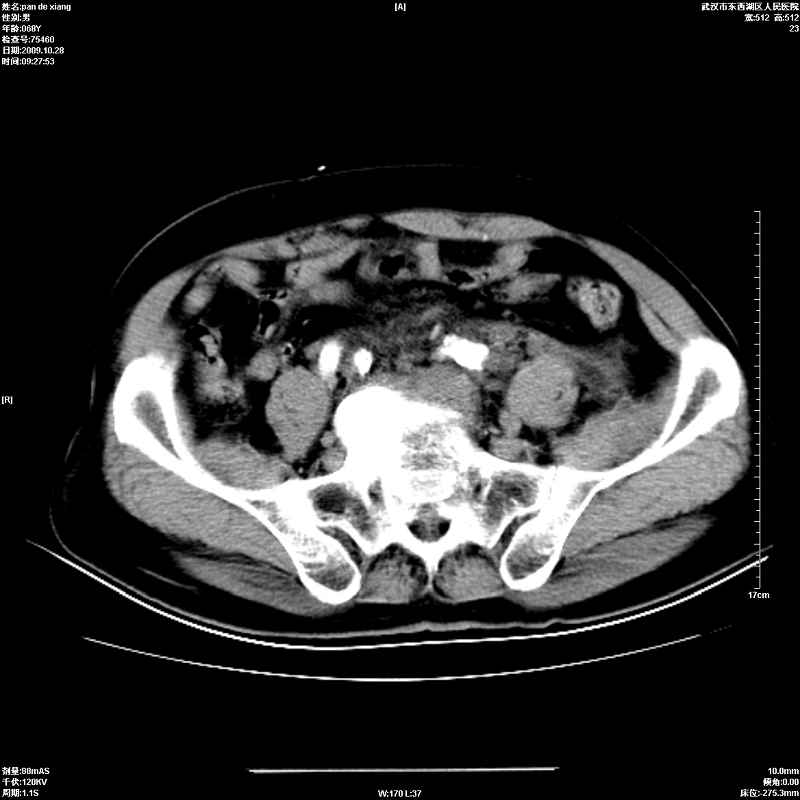
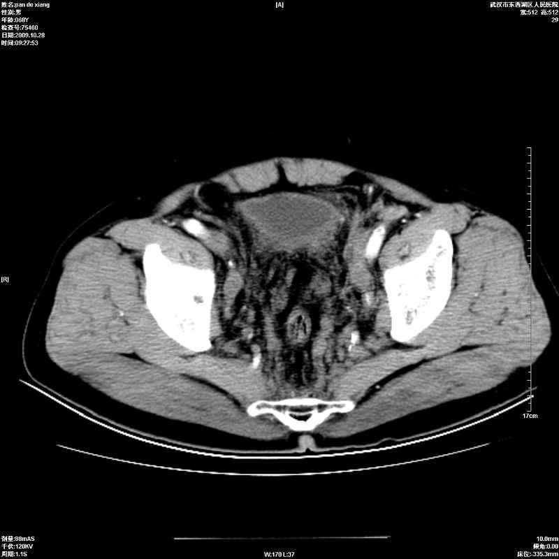
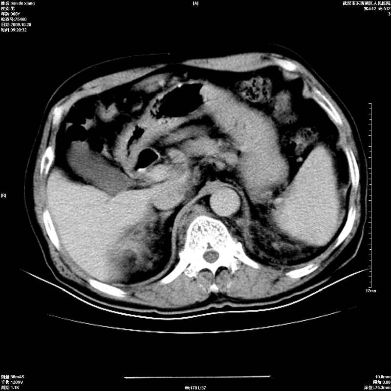
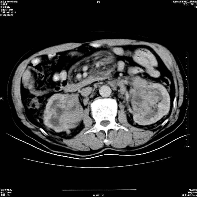
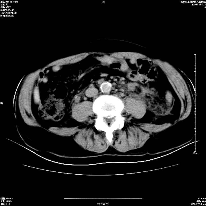
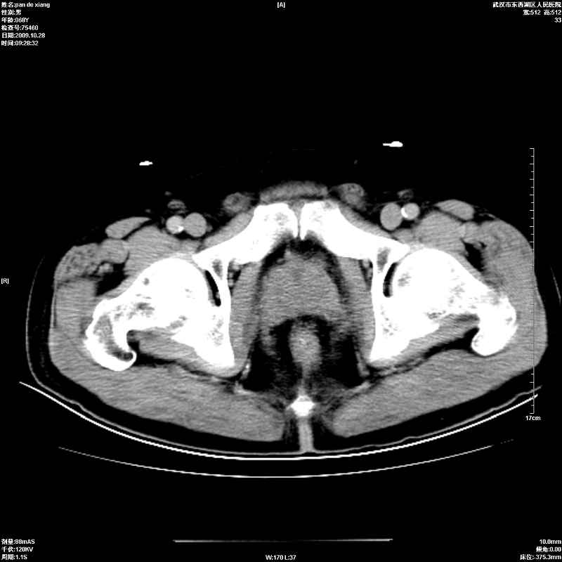
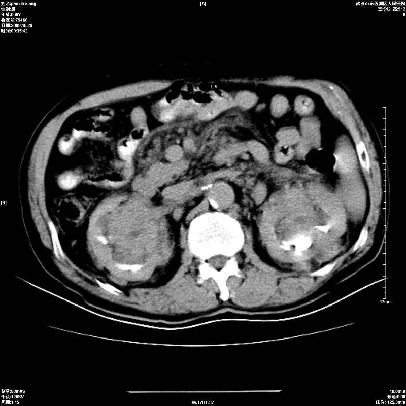
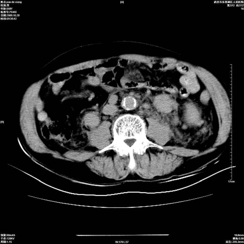
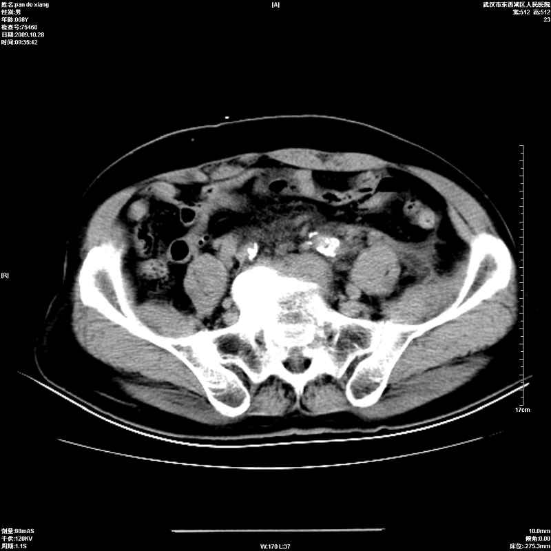
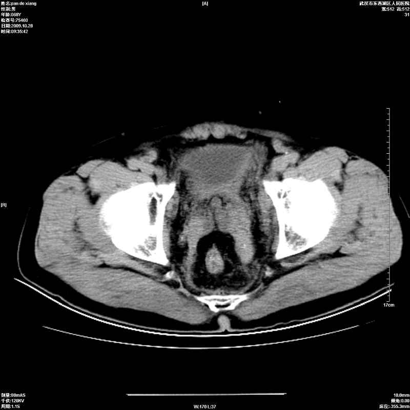
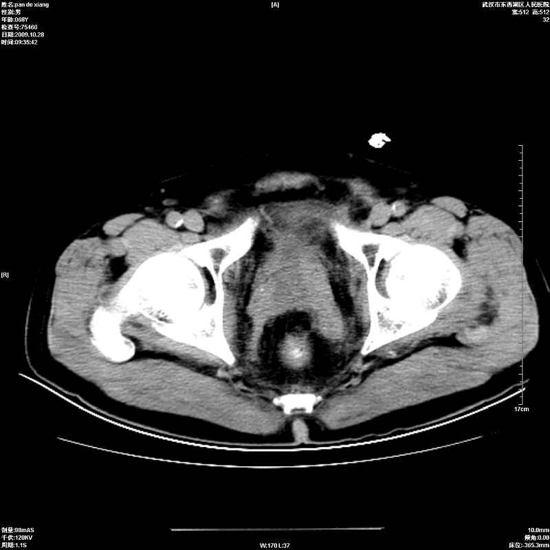
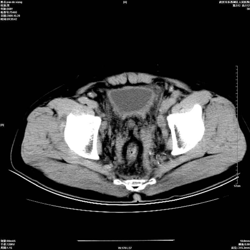
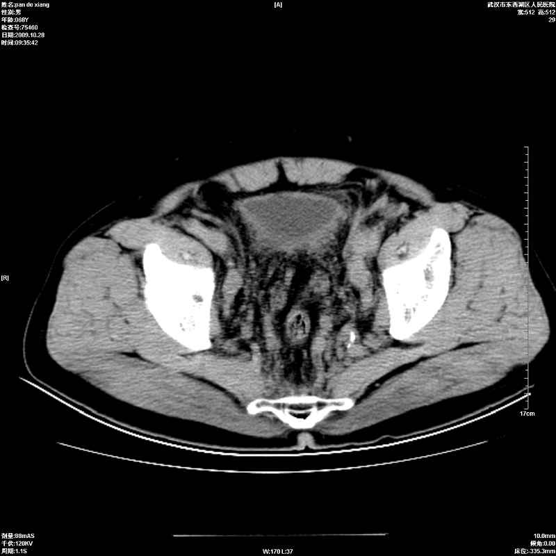
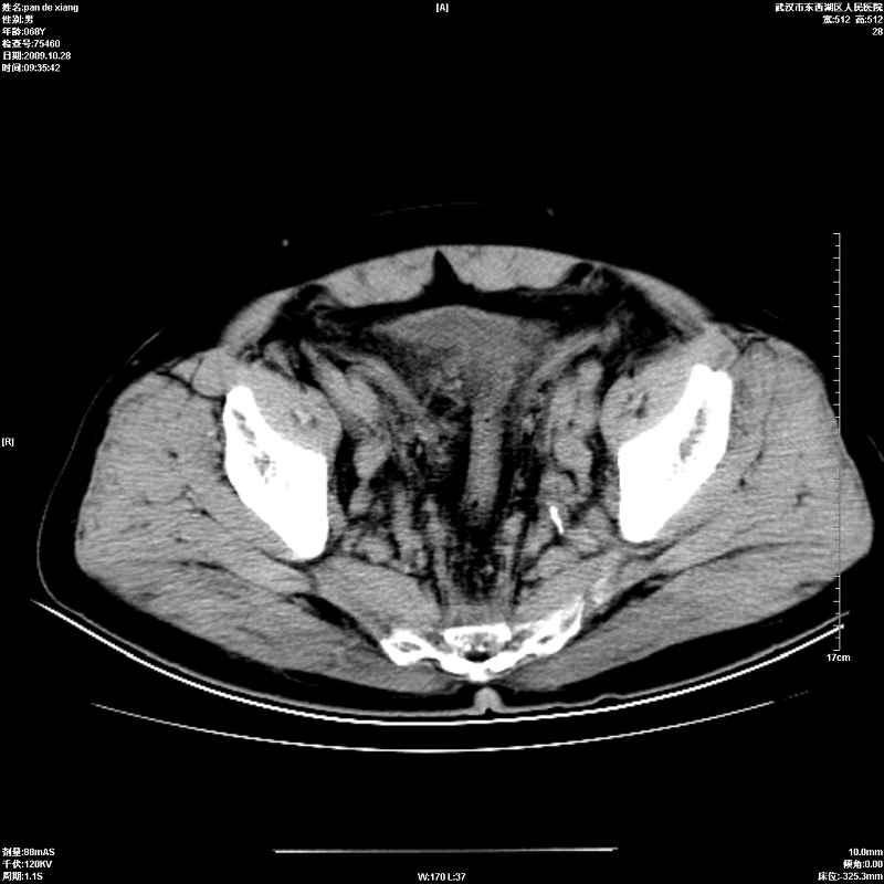
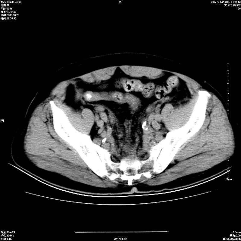
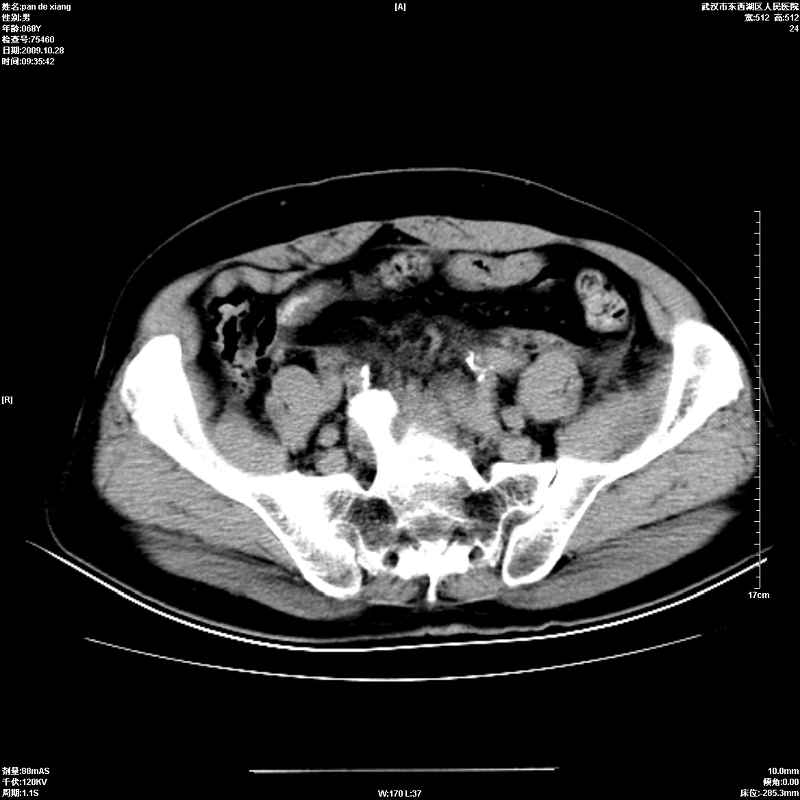
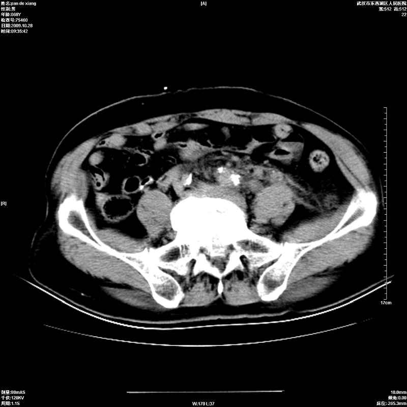
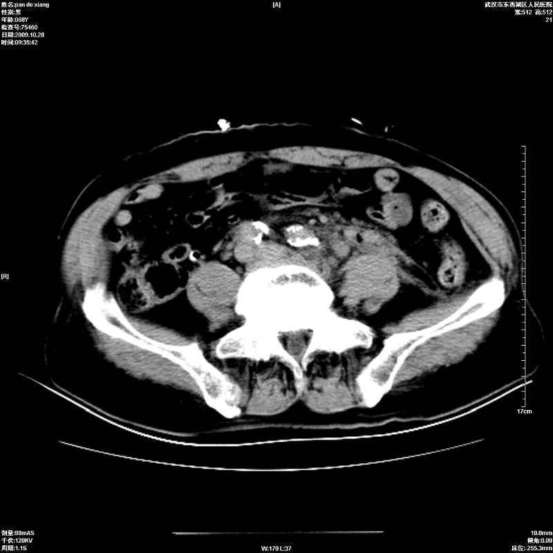
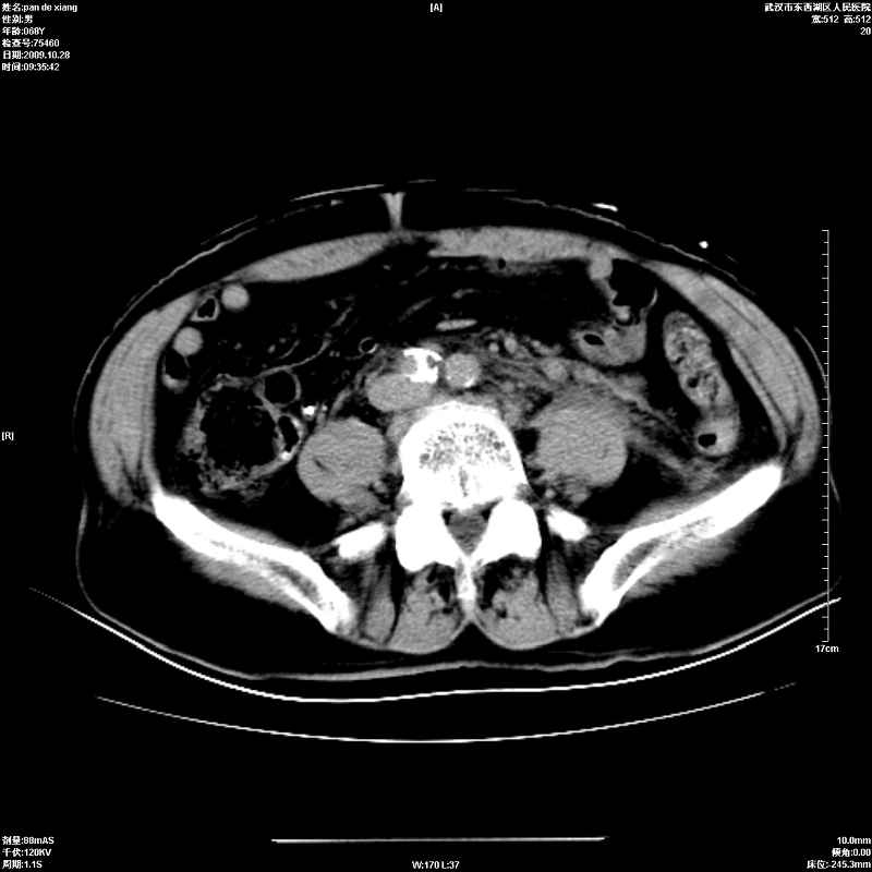
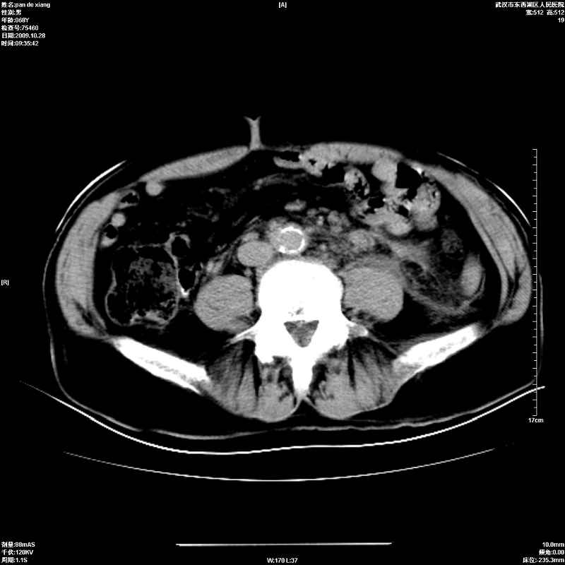
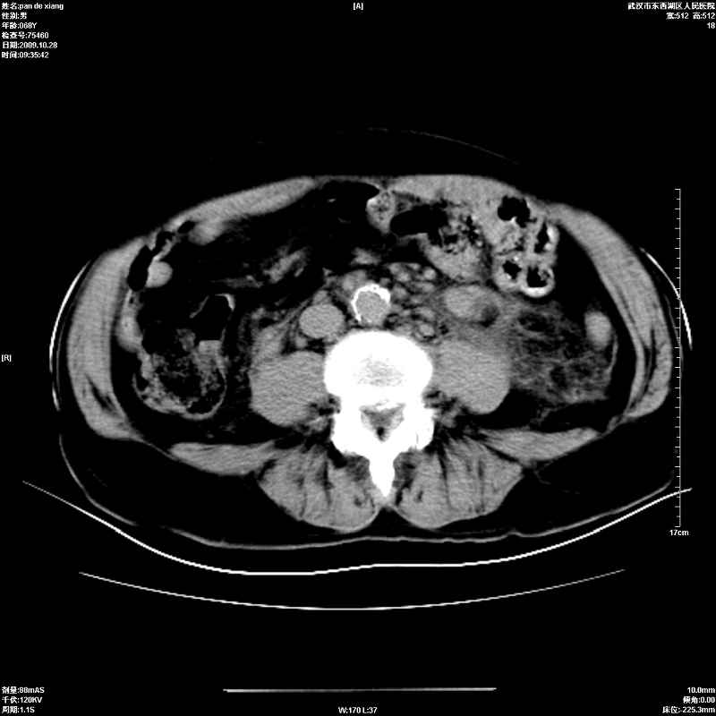
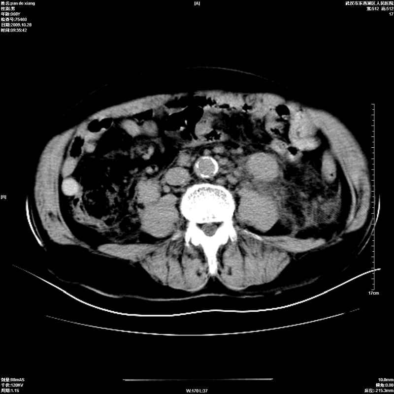
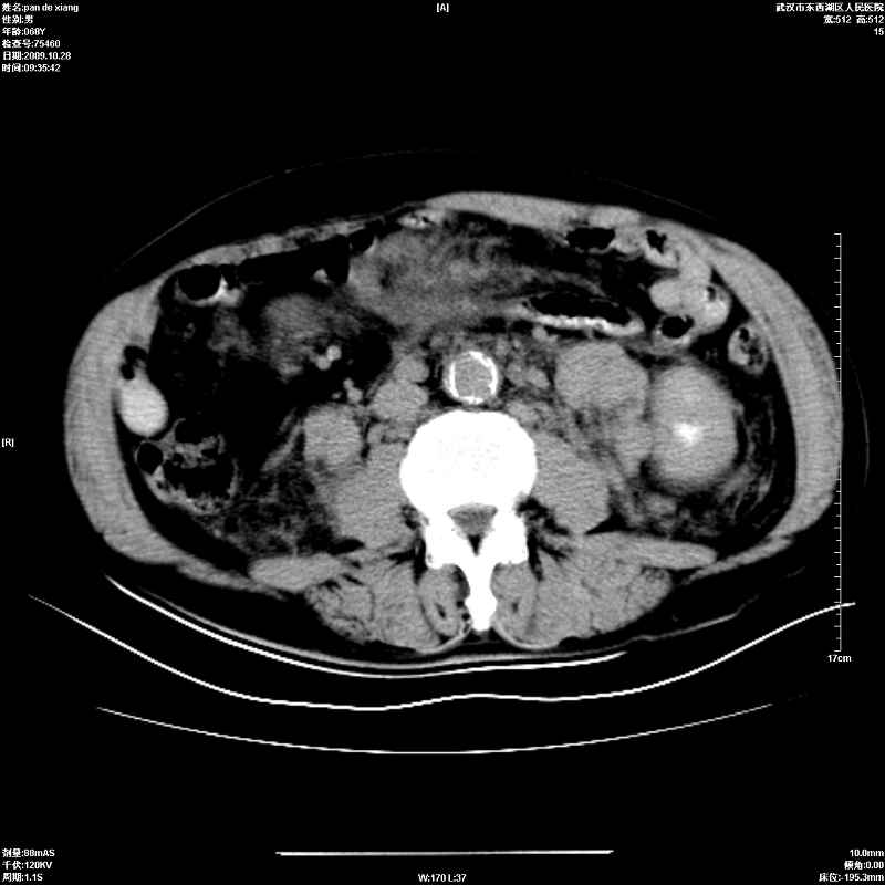
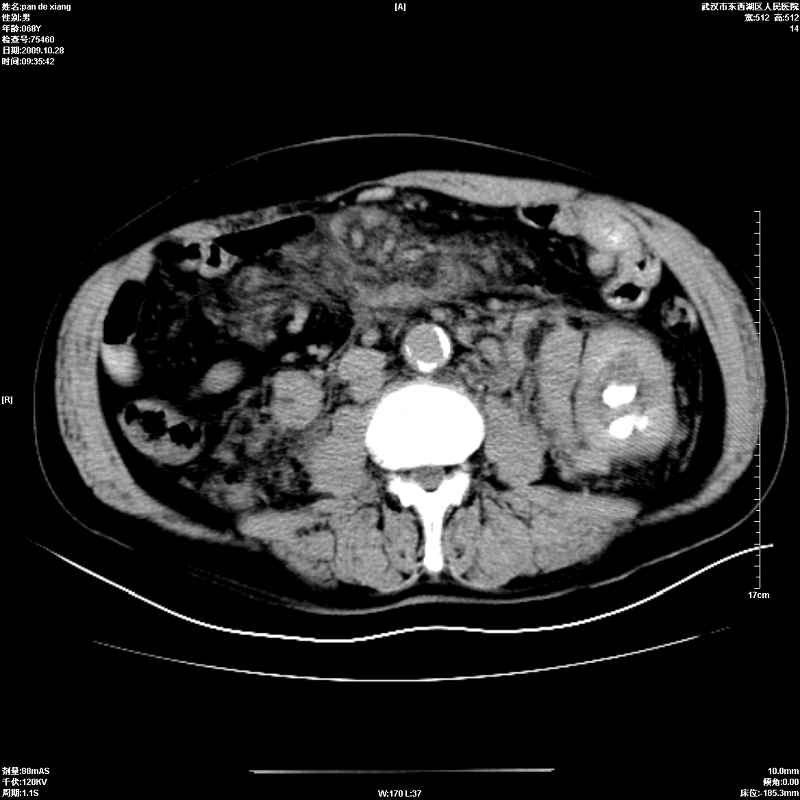
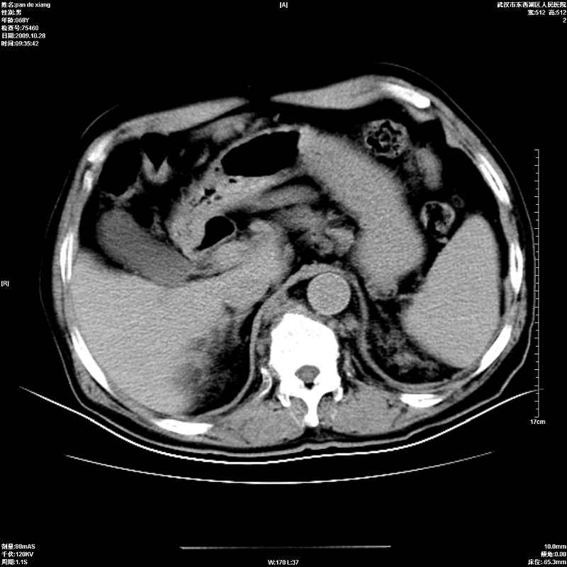
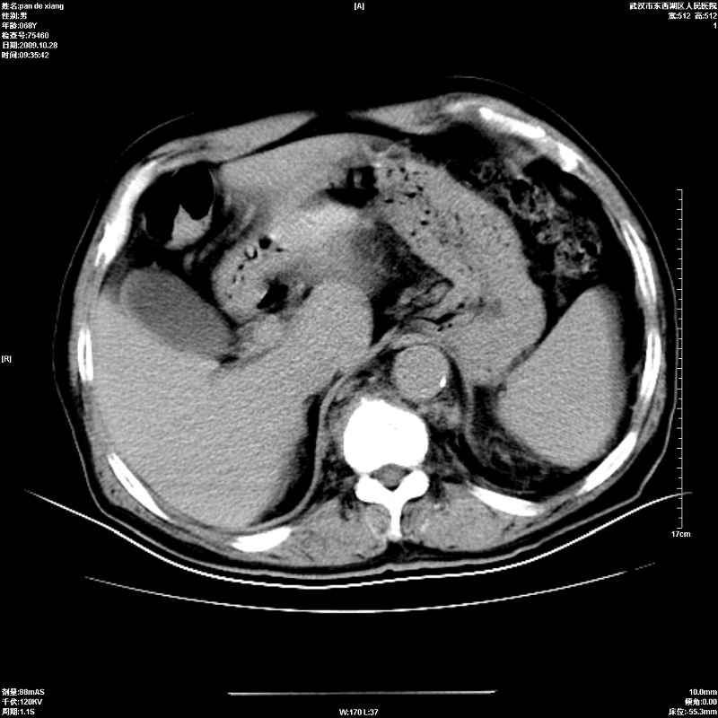
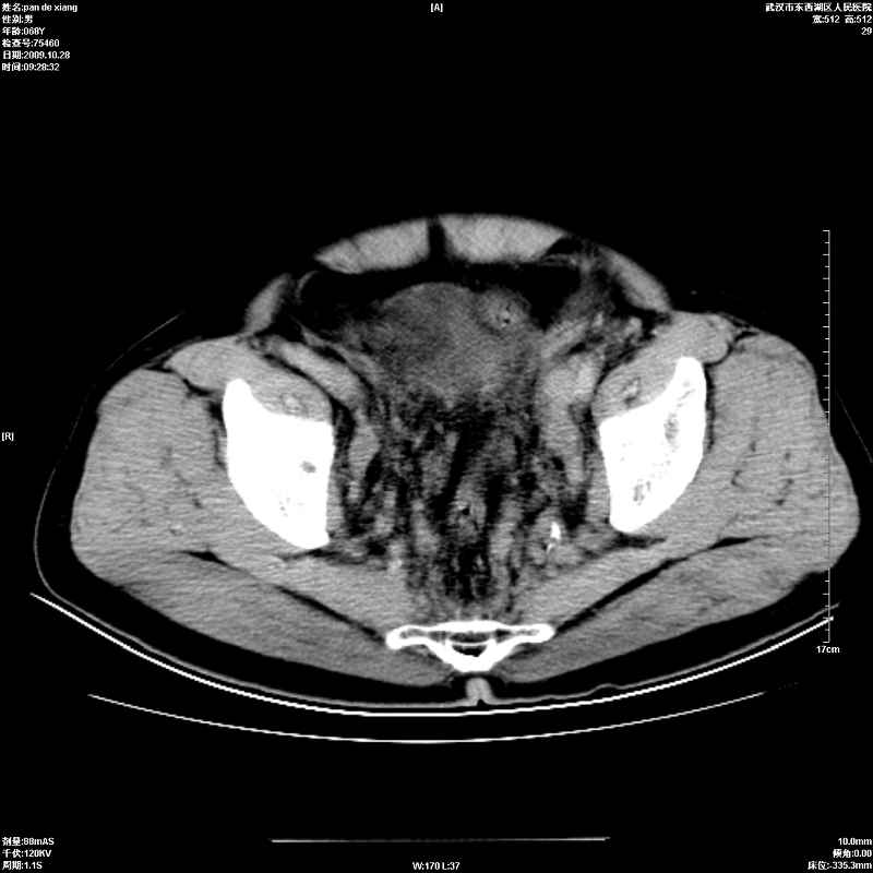
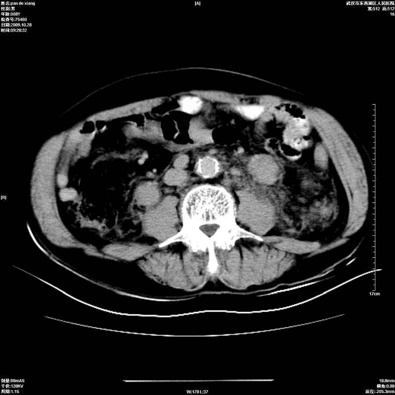
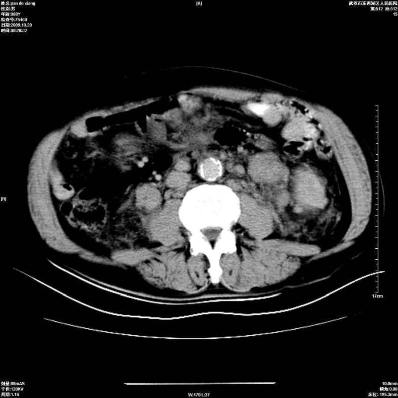
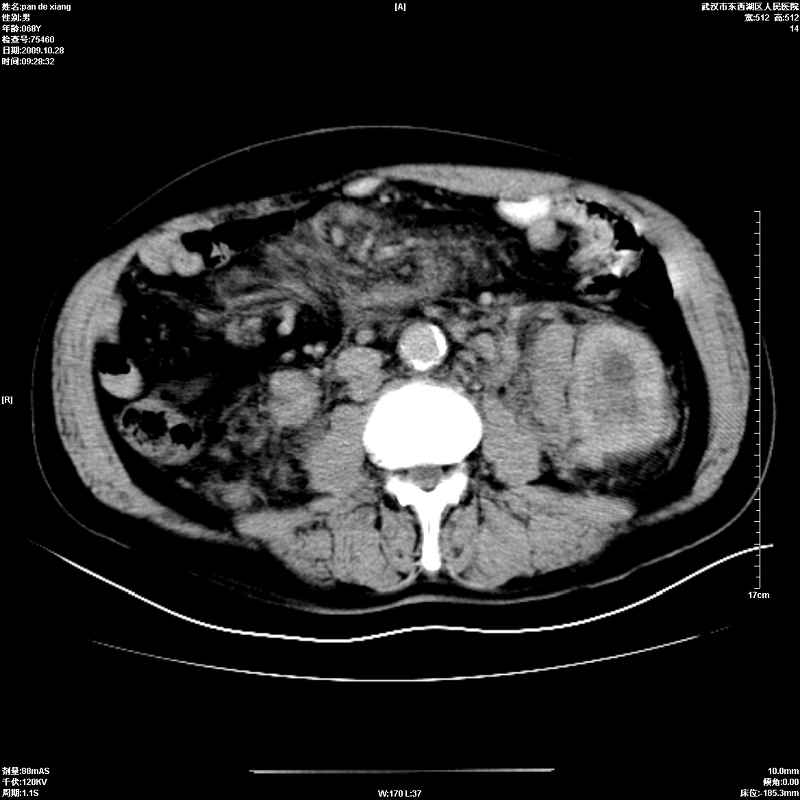
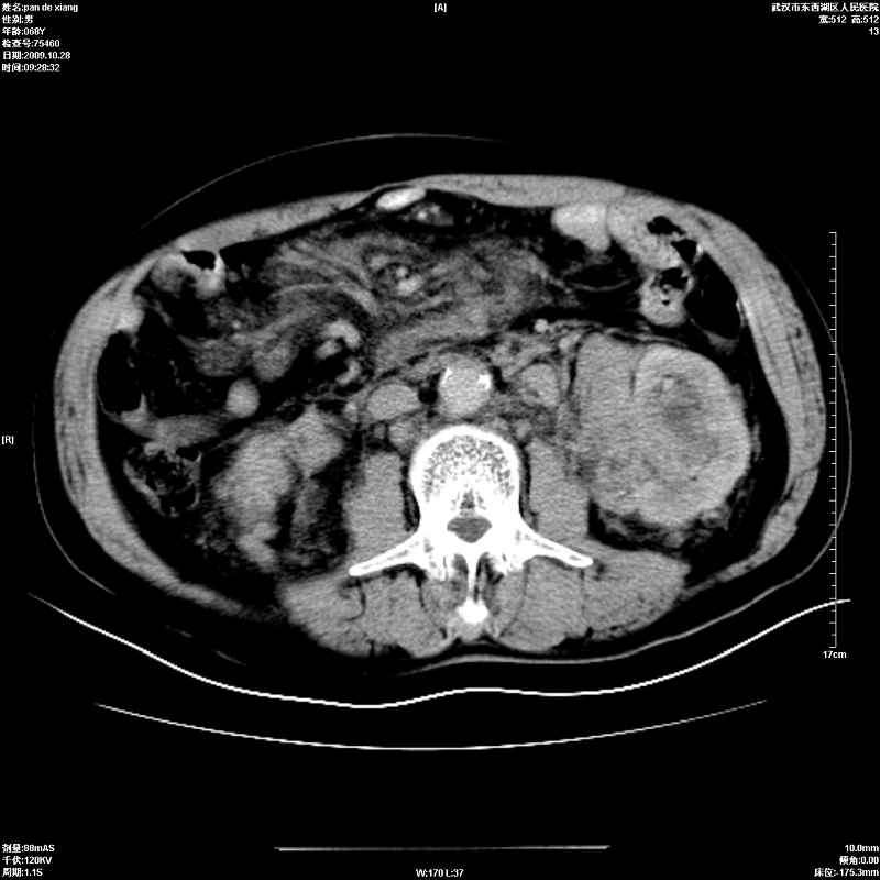
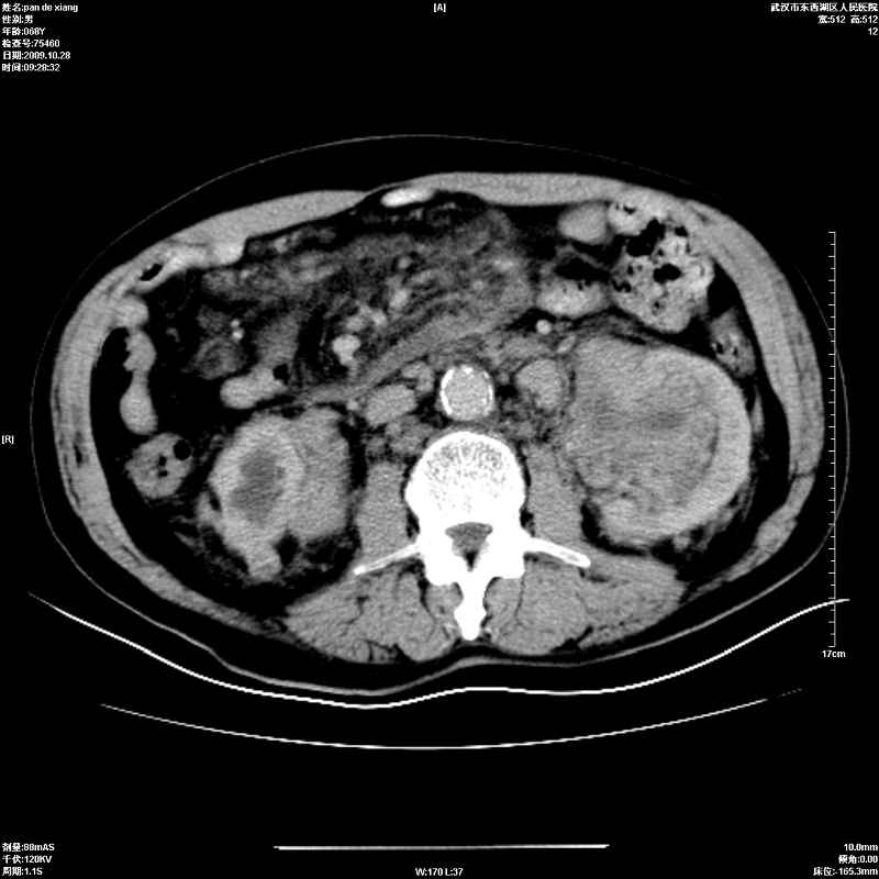
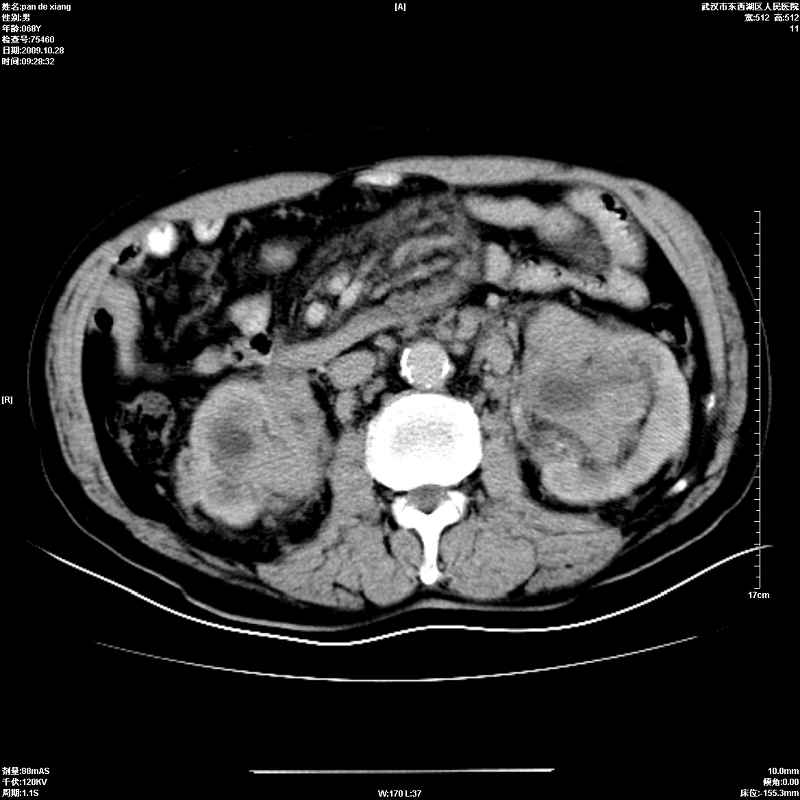
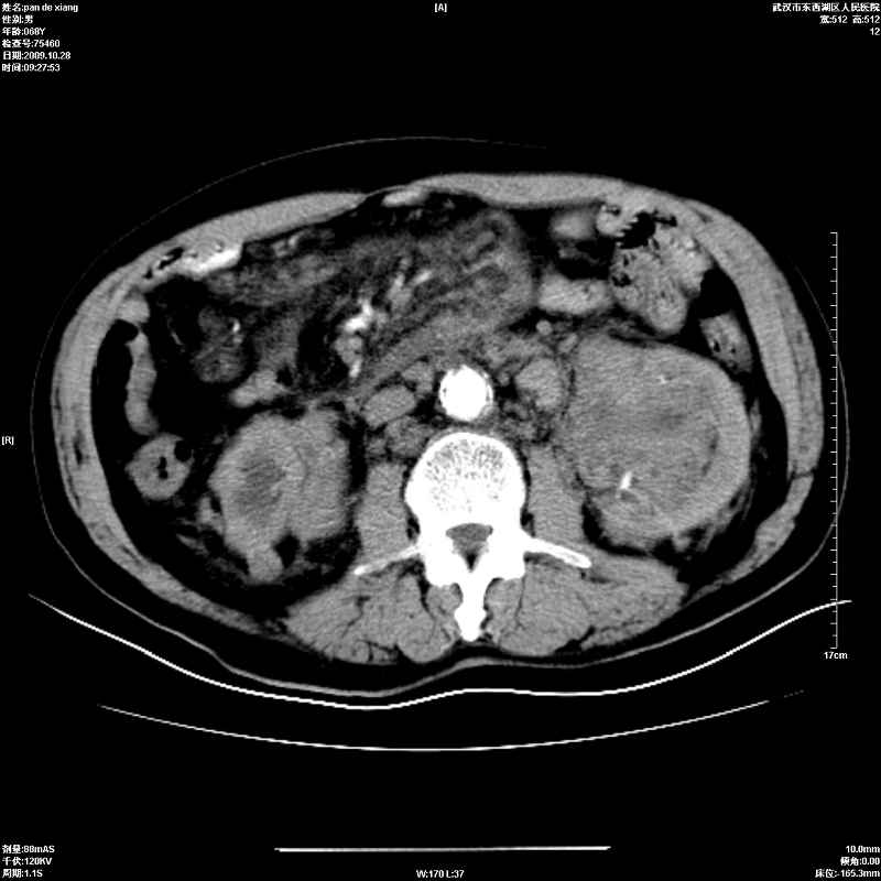
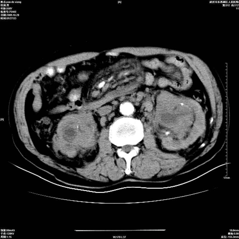
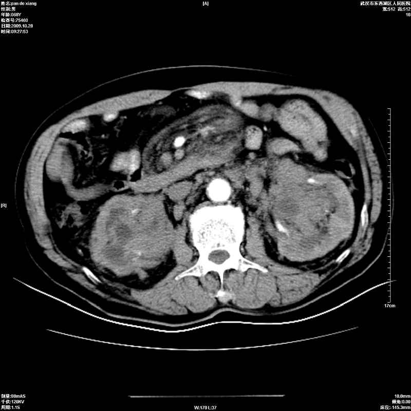
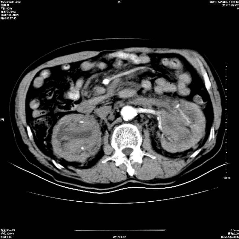
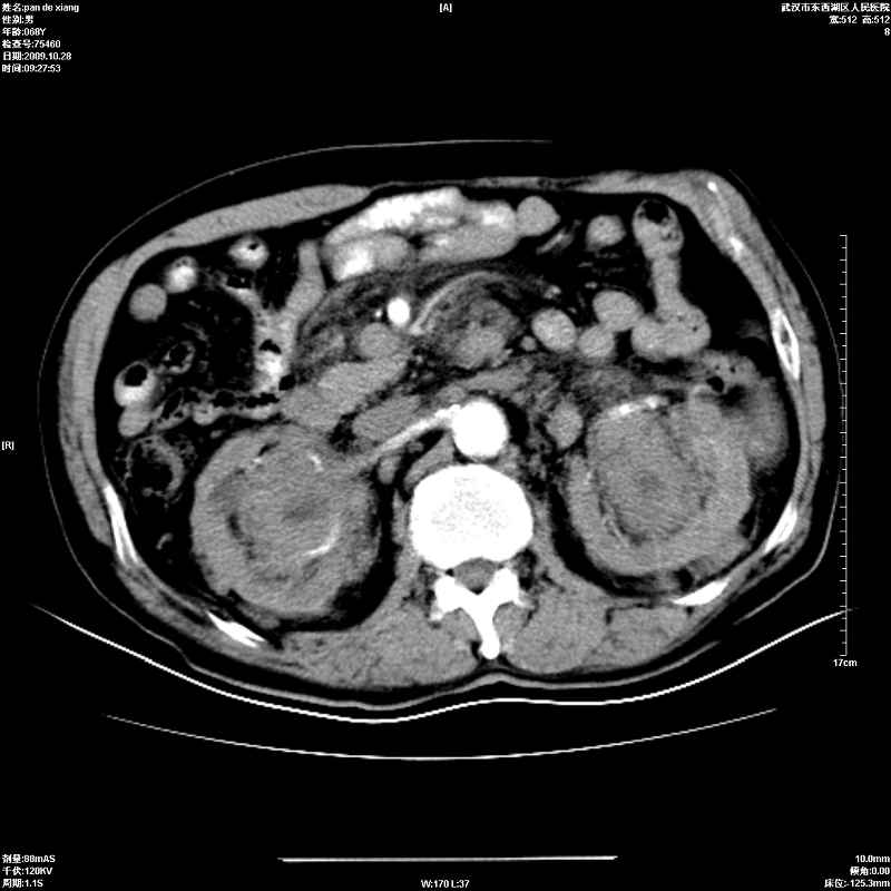
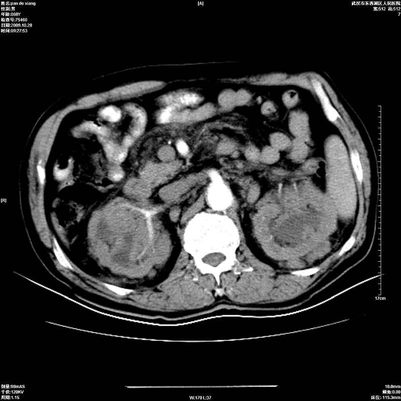
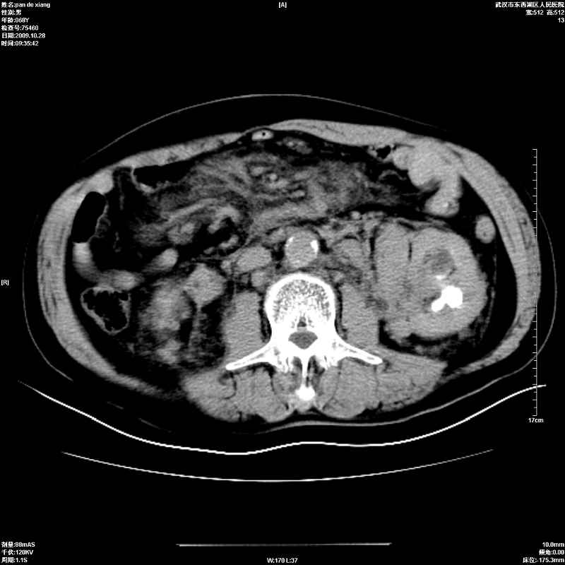
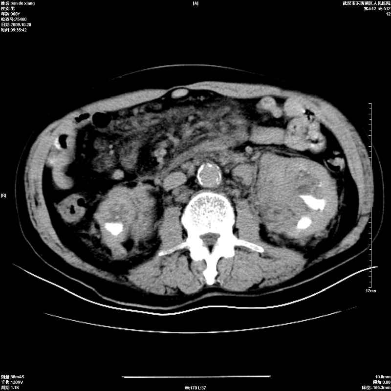
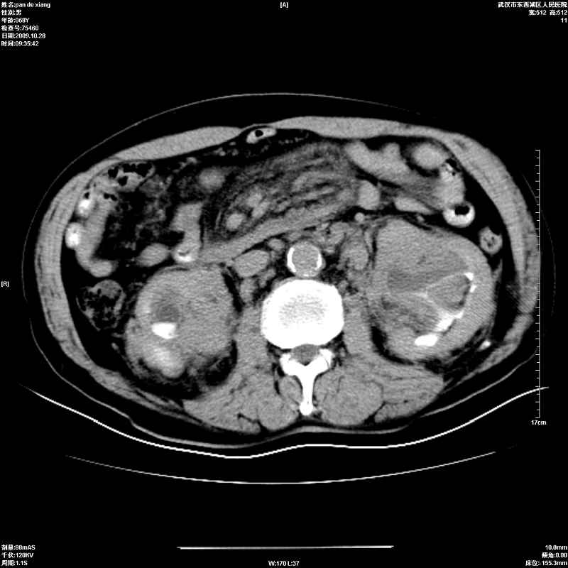
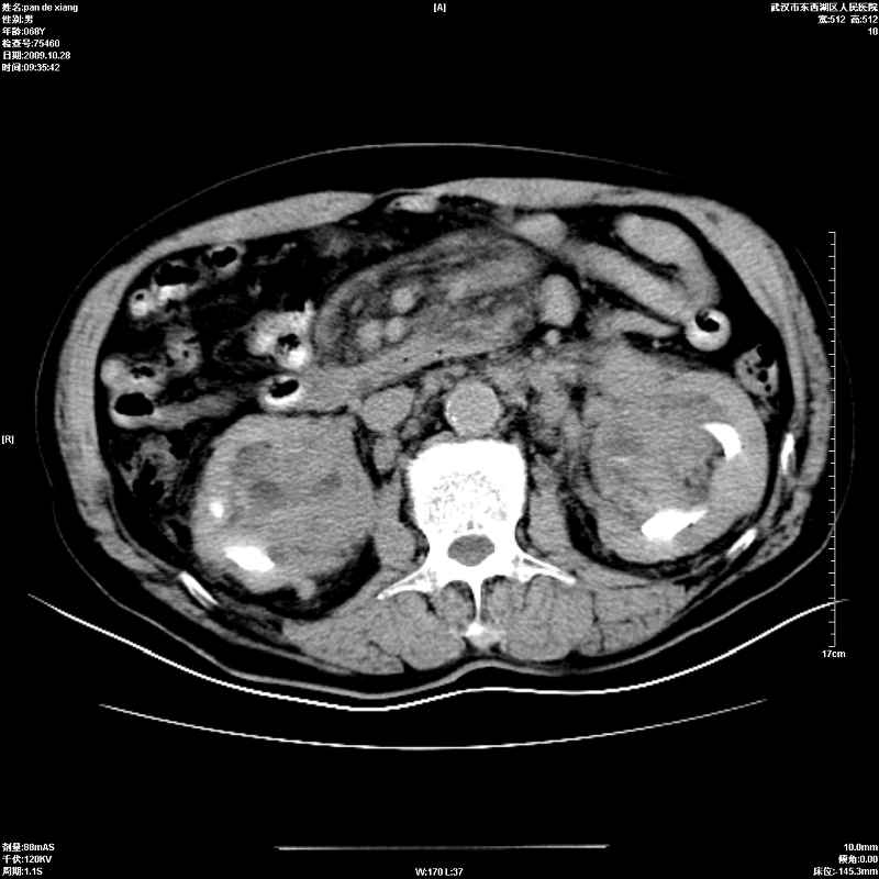
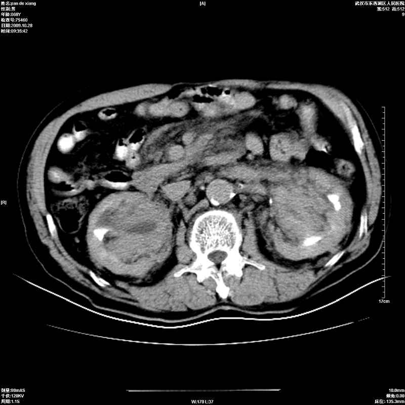
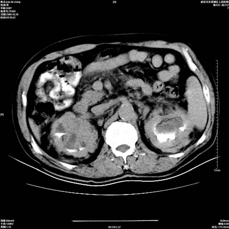
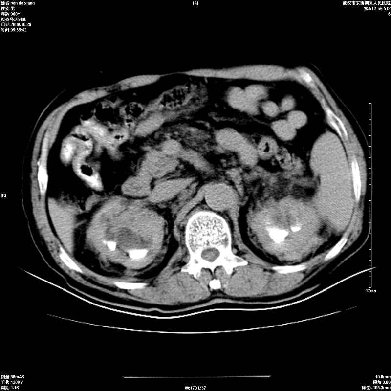
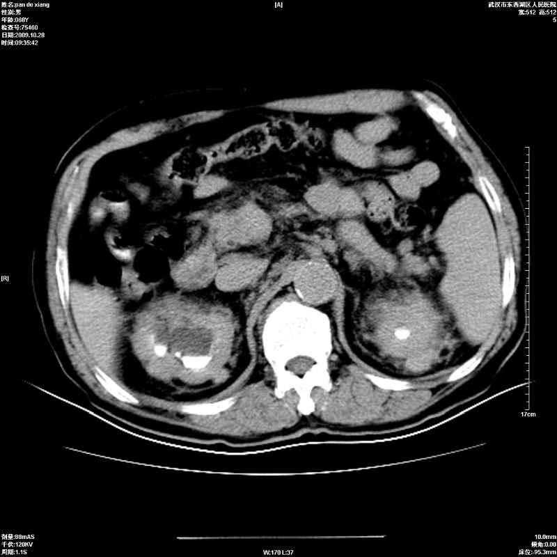
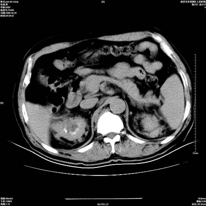
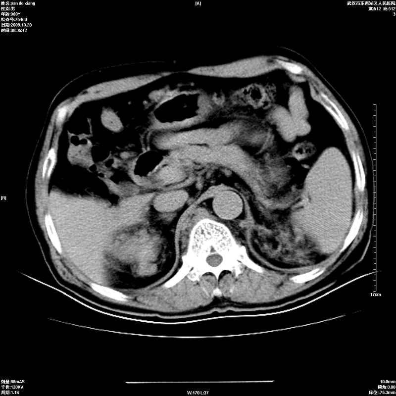
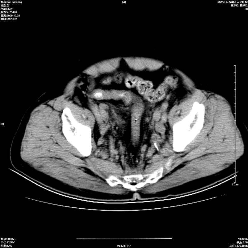
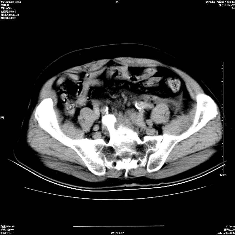
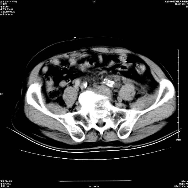
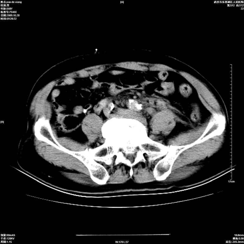
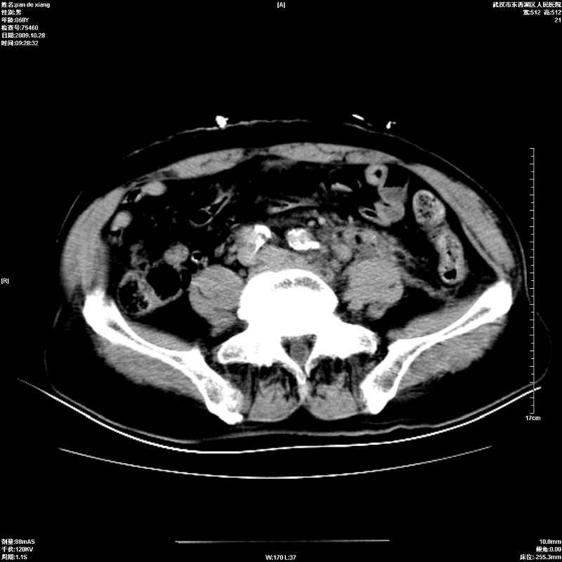
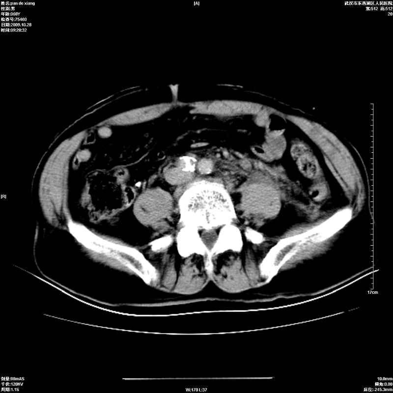
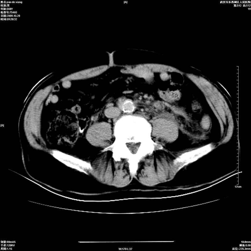
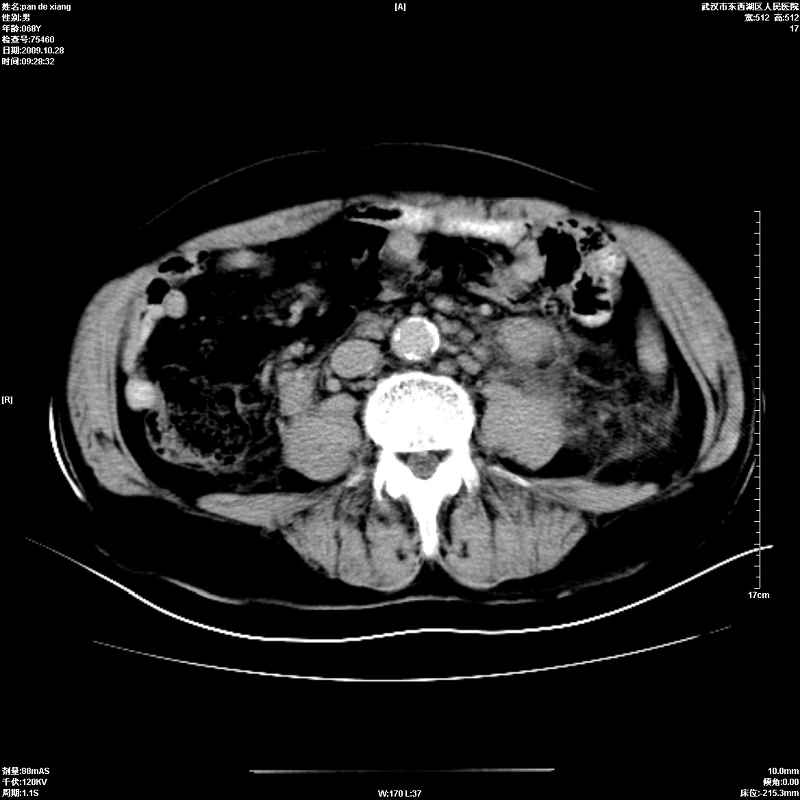
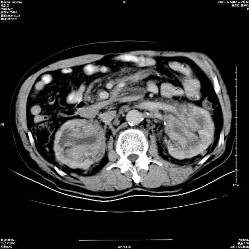
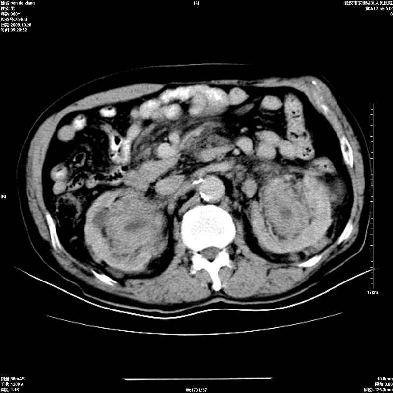
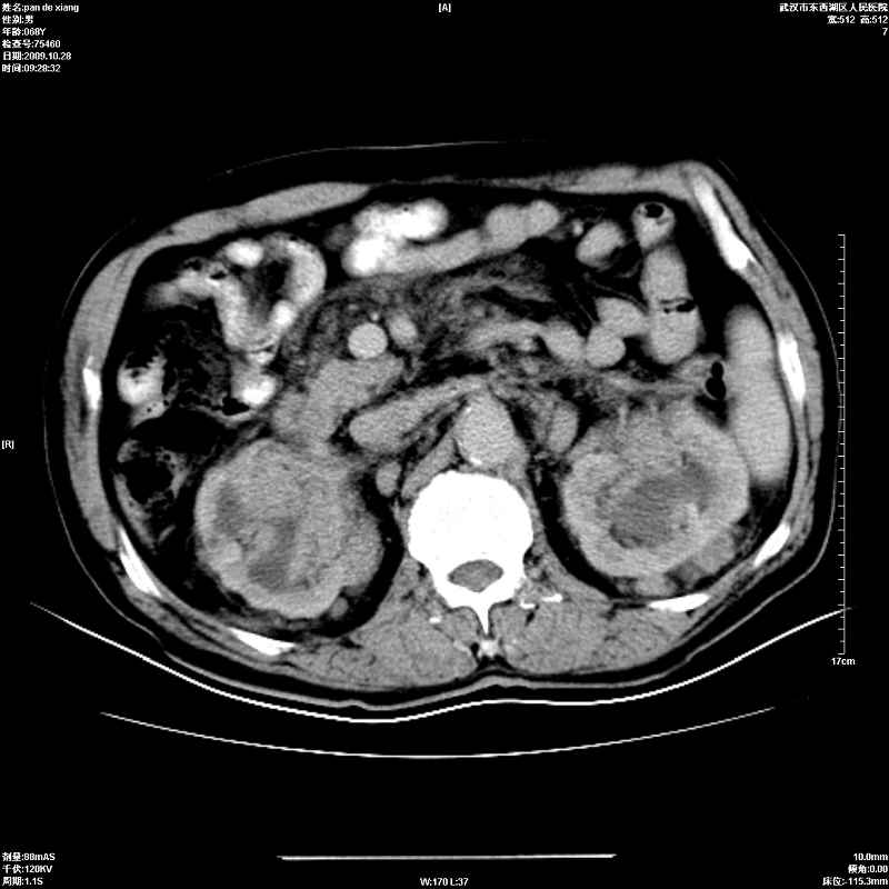
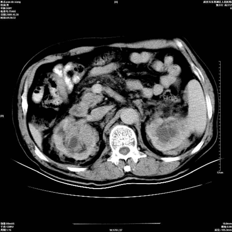
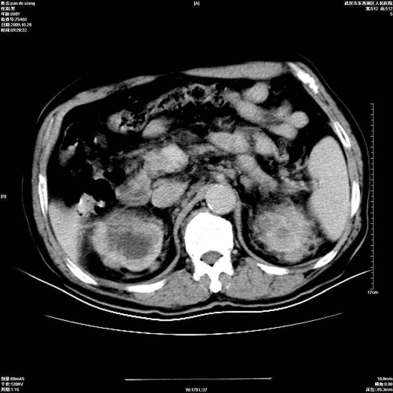
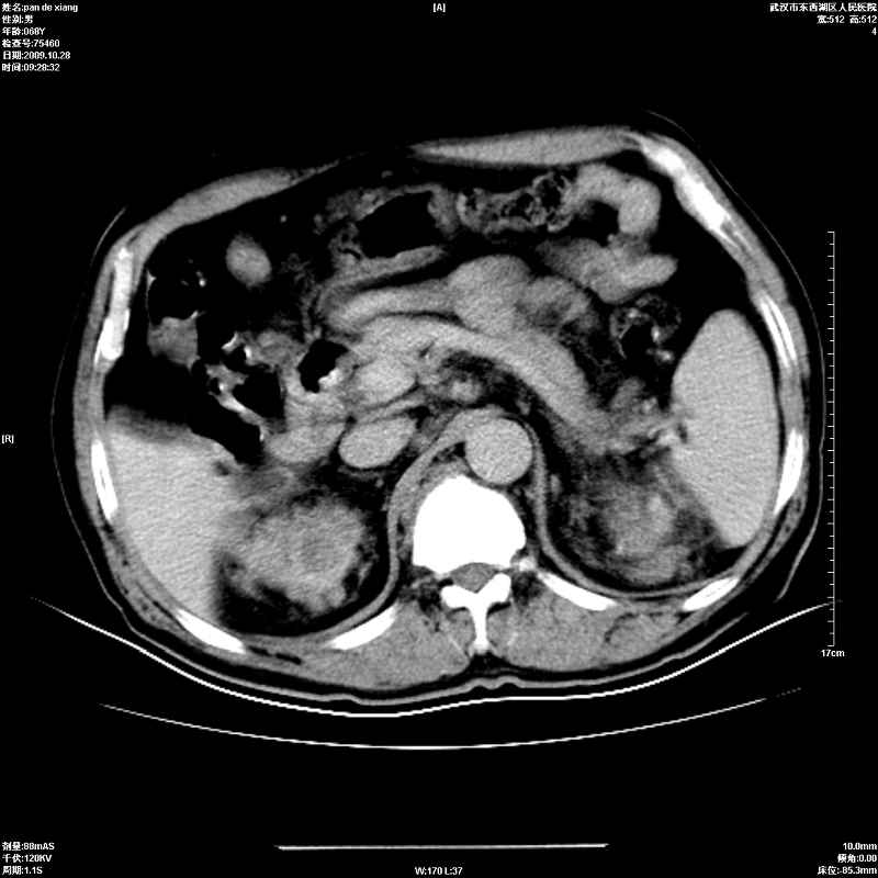
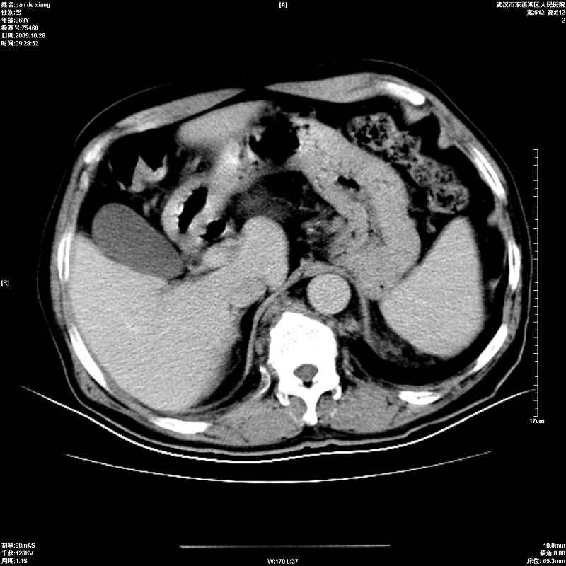
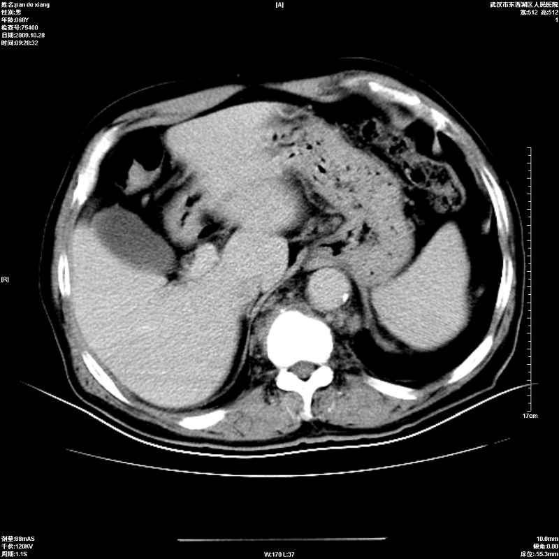
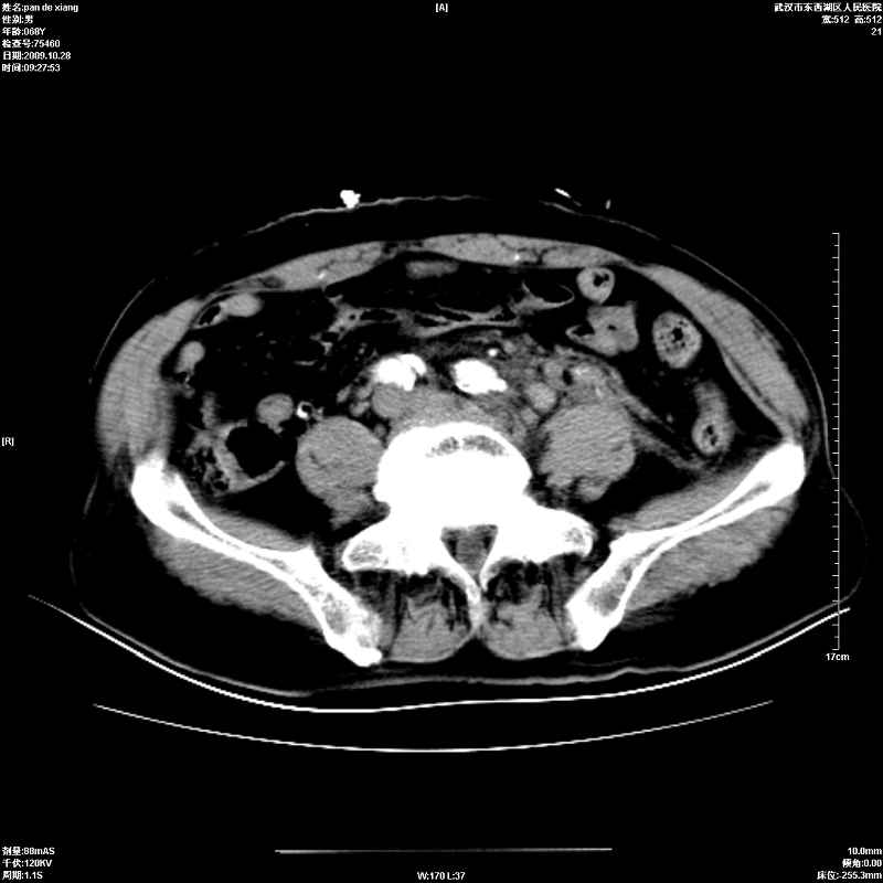
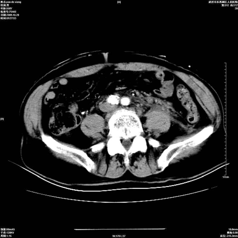
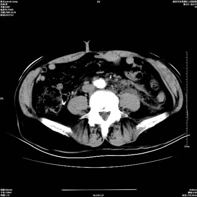
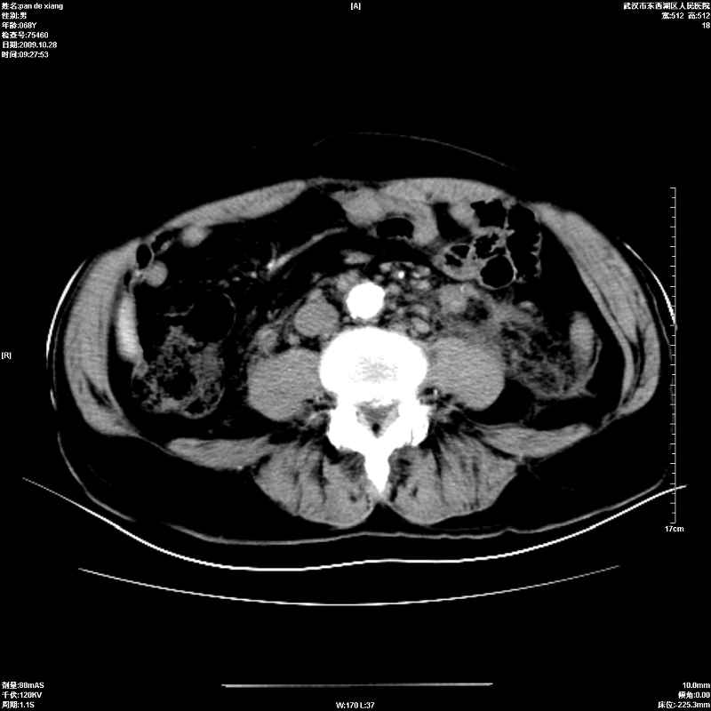
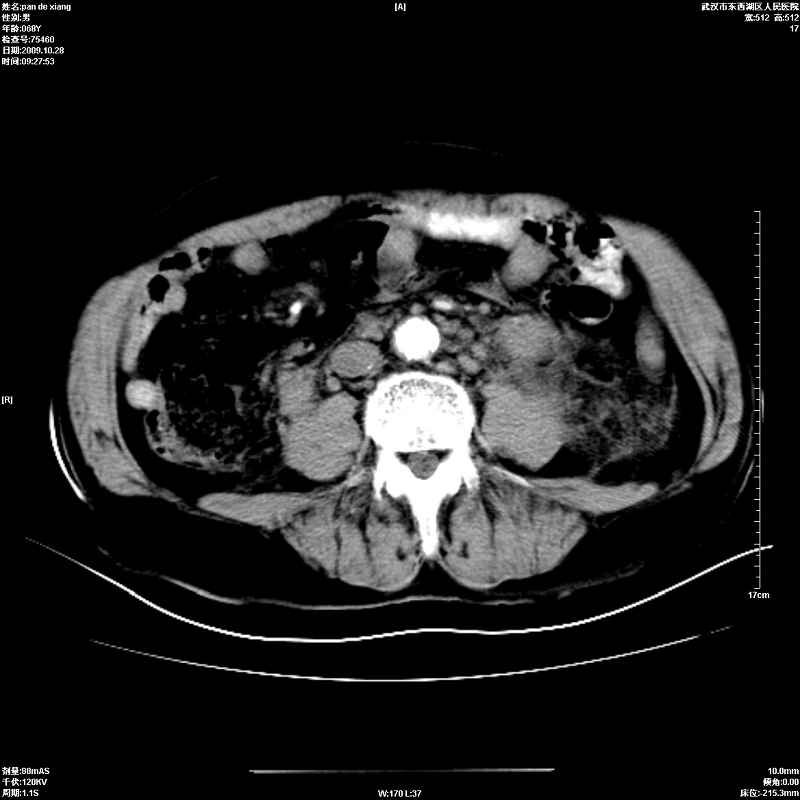
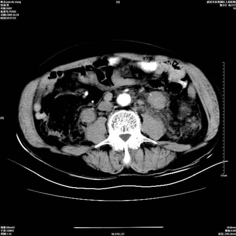
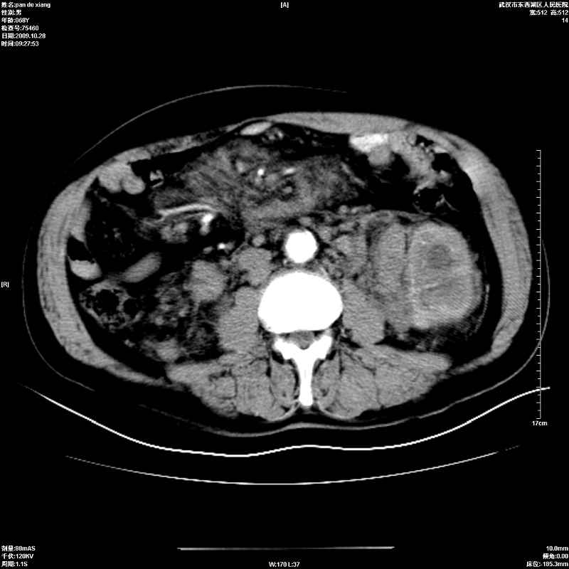
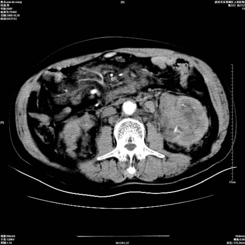
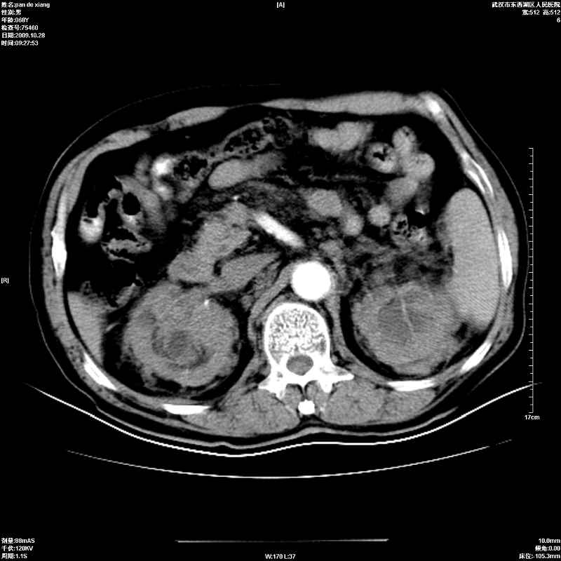
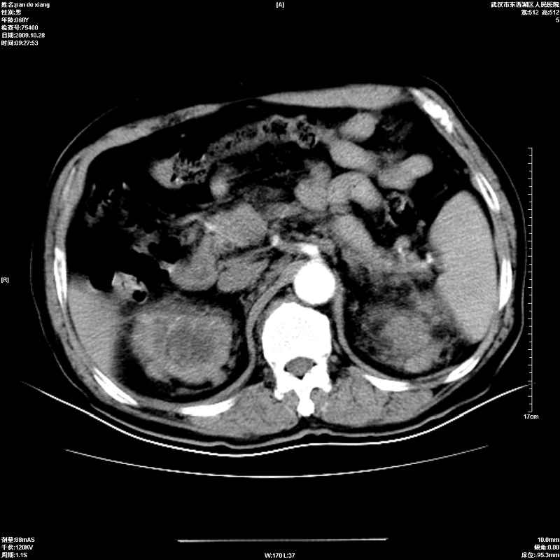
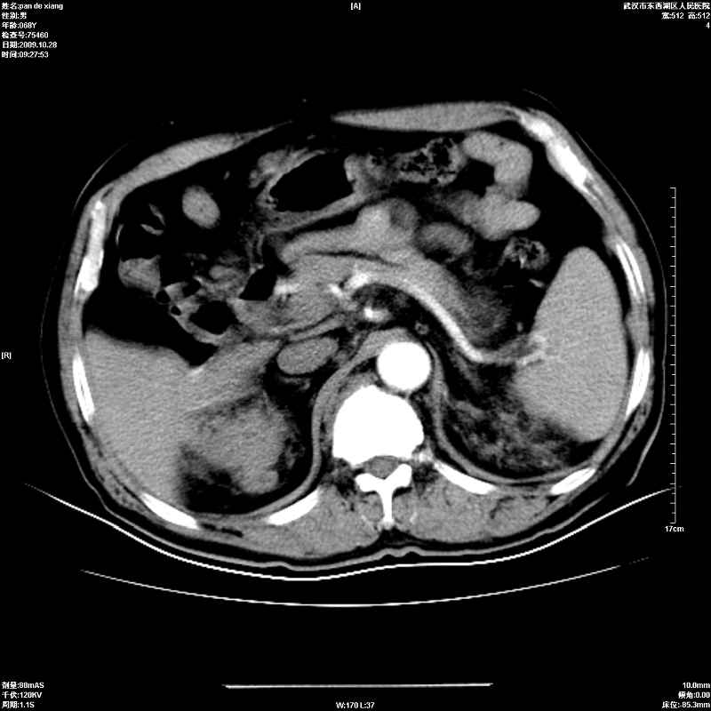
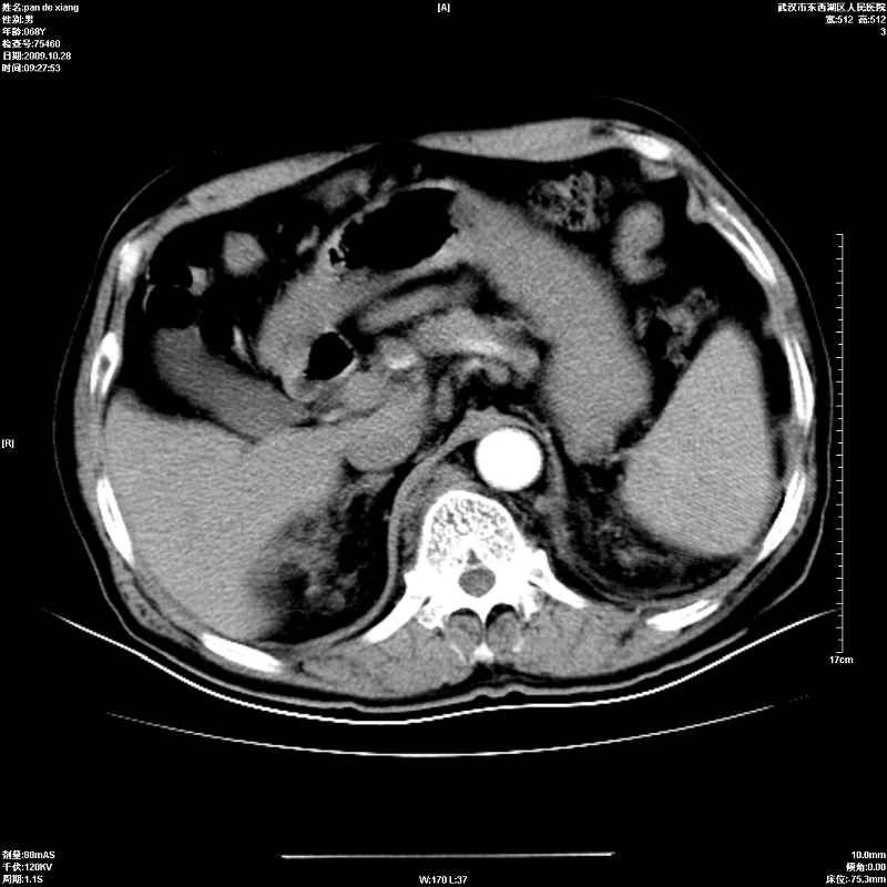
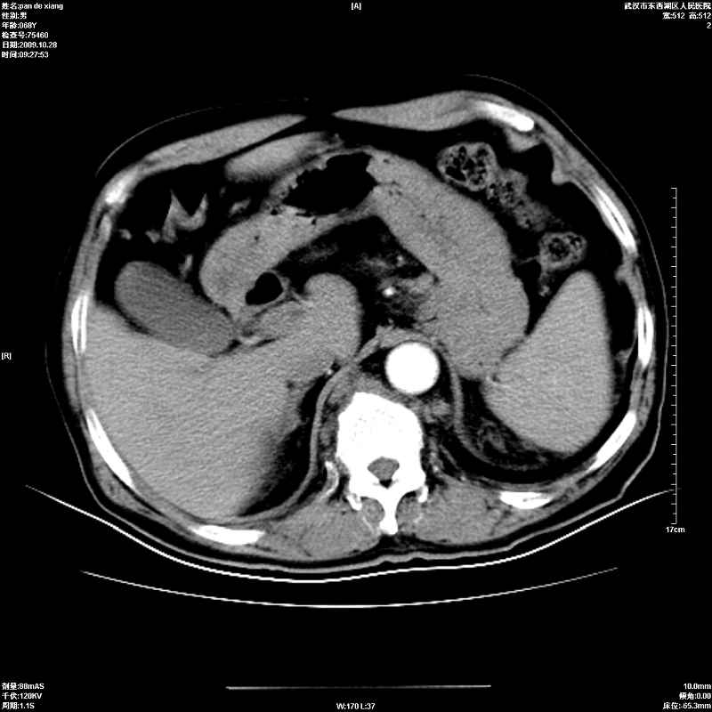
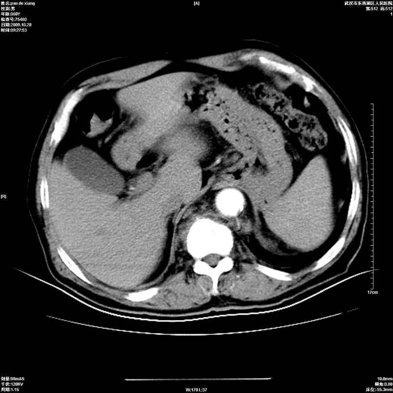
以下是引用杀毒软件在2009-10-28 20:41:00的发言:[br]结合临床考虑---白血病双肾改变或淋巴瘤。
以下是引用zxl51642在2009-10-29 9:59:00的发言:[br]结合临床“单克隆免疫球蛋白血症”,考虑双肾为继发损害并肾功能不全(尿中大量igg及少量iga、igm等大分子免疫球蛋白滤出所致继发损害),椎前软组织肿块为髓外造血。与浆细胞瘤有区别,平扫时有战友说的很清楚。
| 欢迎光临 医影在线 (http://bbs.radida.com/bbs/) | Powered by Discuz! X3.2 |