医影在线

标题: X6485:帮我看看像是肺部感染? [打印本页]

作者: gl8861    时间: 2009-10-29 02:58
标题: X6485:帮我看看像是肺部感染?
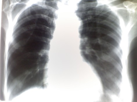
患者,女性,68岁,之前行ct检查示:有肺部感染



[本贴已被 翁志蓬 于 2009-10-28 21:58:51 修改过]

作者: zsl6918    时间: 2009-10-29 03:03
上传ct资料看看吧
作者: 杀毒软件    时间: 2009-10-29 04:16
右肺透光度增加
作者: 拾荒者    时间: 2009-10-29 05:26
条件不好,未见异常。
作者: ydx_74    时间: 2009-10-29 06:01
未见异常。
作者: jinguoji    时间: 2009-10-29 06:54
条件不好。
作者: 寻芳者    时间: 2009-10-29 07:30
ct的讯息比平片丰富,还是值得信赖的!!!
作者: jiahui7z    时间: 2009-10-29 17:00
左膈都不见了,片子所示的部分未见明显肺实质性病变。
作者: zxl51642    时间: 2009-10-29 17:50
ct的讯息比平片丰富,还是值得信赖的!!!
作者: 吴医师    时间: 2009-10-29 22:55
标题: 回复:x6485:帮我看看像是肺部感染?
以下是引用jiahui7z在2009-10-29 9:00:00的发言:[br]左膈都不见了,片子所示的部分未见明显肺实质性病变。

作者: 黑白光影    时间: 2009-10-29 23:28
只知道是胸片,看不出有感染。
作者: 谨言慎行    时间: 2009-10-30 00:18
再拍一张吧。
作者: 康鹏    时间: 2009-10-30 00:54
做个ct 看看吧
作者: sunbin    时间: 2009-10-30 02:04
未见明显异常。
作者: zhanggenliang    时间: 2009-10-30 02:11
左侧膈肌未包括。属不合格片。既然有ct,为什么不上传ct呢?此片太白,看不到实质性病变。再者,ct与此片间隔多长时间,治疗情况如何,不得而知
作者: xiaose    时间: 2009-11-28 06:18
片子条件太差了  还是lz照相技术不好啊  感觉左侧膈面和肋膈角都没显示完全
作者: shibing    时间: 2014-11-3 08:46
条件不好。




欢迎光临 医影在线 (http://bbs.radida.com/bbs/) Powered by Discuz! X3.2