医影在线
标题: X6487:大家帮我指点一下 [打印本页]
作者: gl8861 时间: 2009-10-29 21:15
标题: X6487:大家帮我指点一下
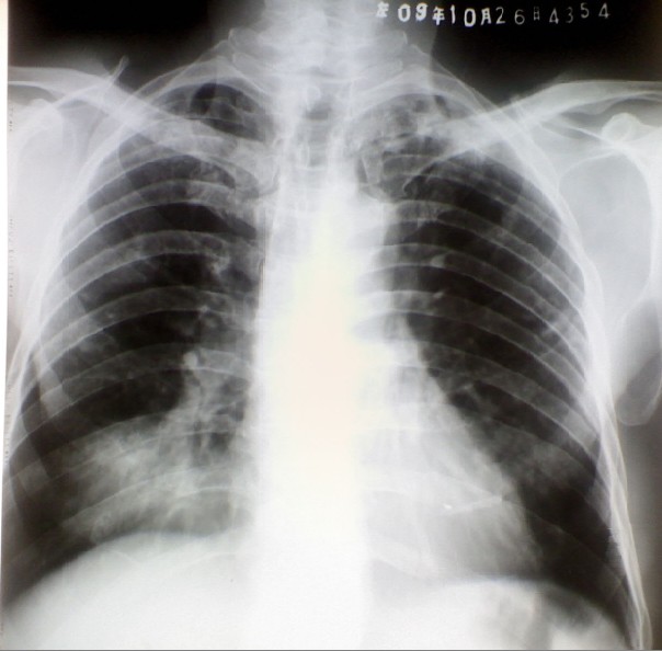
男。65岁。胸闷,现在右侧胸痛7天余。无发热
[本贴已被 jiajie 于 2009-10-29 21:49:24 修改过]
作者: zxl51642 时间: 2009-10-29 22:58
右下肺占位性病变,肺癌可能性大,建议ct。
作者: 吴医师 时间: 2009-10-29 23:10
加拍侧位或ct检查。年纪大,要考虑占位可能。
作者: 黑白光影 时间: 2009-10-29 23:31
两上增殖病灶(左甚),右下病灶考虑占位可能性大,感染或斜裂积液不排除。
作者: hguox 时间: 2009-10-29 23:35
加拍侧位或ct检查。年纪大,要考虑占位可能。
作者: 谨言慎行 时间: 2009-10-30 00:06
标题: 回复:大家帮我指点一下
以下是引用黑白光影在2009-10-29 15:31:00的发言:[br]两上增殖病灶(左甚),右下病灶考虑占位可能性大,感染或斜裂积液不排除。
拍侧位或ct有助于鉴别。
作者: dengkai 时间: 2009-10-30 00:18
加拍侧位或ct检查。年纪大,要考虑占位可能
作者: 学无崖 时间: 2009-10-30 01:04
考虑右下肺占位,建议ct检查。
作者: hg7503847 时间: 2009-10-30 01:19
双上肺少许增殖灶,右下肺占位性可能,支持肺部进一步检查。
作者: sunbin 时间: 2009-10-30 02:10
右下肺占位可能性大,建议ct检查。
作者: zhanggenliang 时间: 2009-10-30 02:18
双上肺可见斑片状阴影,部分密度均匀,边界清。部分密度不均,边界不清。右肺下野近心膈角处可见大片密度增高影,边界不清,密度不均。考虑双肺结核。右下肺感染。不排除占位可能。建议ct检查
作者: tfq6909 时间: 2009-10-30 04:05
还是要侧位片,这可不能猜谜语。
作者: hexue 时间: 2009-10-30 05:55
右下肺占位性病变,肺癌可能性大,建议ct。
作者: 拾荒者 时间: 2009-10-30 06:13
标题: 回复:x6487:大家帮我指点一下
以下是引用黑白光影在2009-10-29 15:31:00的发言:[br]两上增殖病灶(左甚),右下病灶考虑占位可能性大,感染或斜裂积液不排除。
建议进一步ct检查。
作者: dr.yang 时间: 2009-10-30 07:01
双上肺陈旧性结核病变;
右下肺阴影,考虑占位病变可能性大,建议ct进一步查。
作者: 五月的太阳 时间: 2009-10-30 16:14
两上增殖病灶(左甚),右下病灶考虑占位可能性大,感染或斜裂积液不排除。
作者: jinguoji 时间: 2009-10-30 16:57
标题: 回复:x6487:大家帮我指点一下
以下是引用黑白光影在2009-10-29 15:31:00的发言:[br]两上增殖病灶(左甚),右下病灶考虑占位可能性大,感染或斜裂积液不排除。
建议ct进一步检查。
作者: leihencan 时间: 2009-10-30 17:40
考虑感染性病变。
作者: 医学先锋 时间: 2009-10-30 18:49
右下肺占位可能性大,建议ct检查。
作者: 代课学生 时间: 2009-10-30 23:33
加拍侧位片或ct检查。
作者: dyqct 时间: 2009-10-31 01:29
标题: 回复:x6487:大家帮我指点一下
以下是引用吴医师在2009-10-29 15:10:00的发言:[br]加拍侧位或ct检查。年纪大,要考虑占位可能。
支持!
作者: shibing 时间: 2014-10-7 18:08
ct检查
| 欢迎光临 医影在线 (http://bbs.radida.com/bbs/) |
Powered by Discuz! X3.2 |