医影在线
标题: PED2965:颅脑CT平扫 [打印本页]
作者: 同 时间: 2009-10-30 00:48
标题: PED2965:颅脑CT平扫
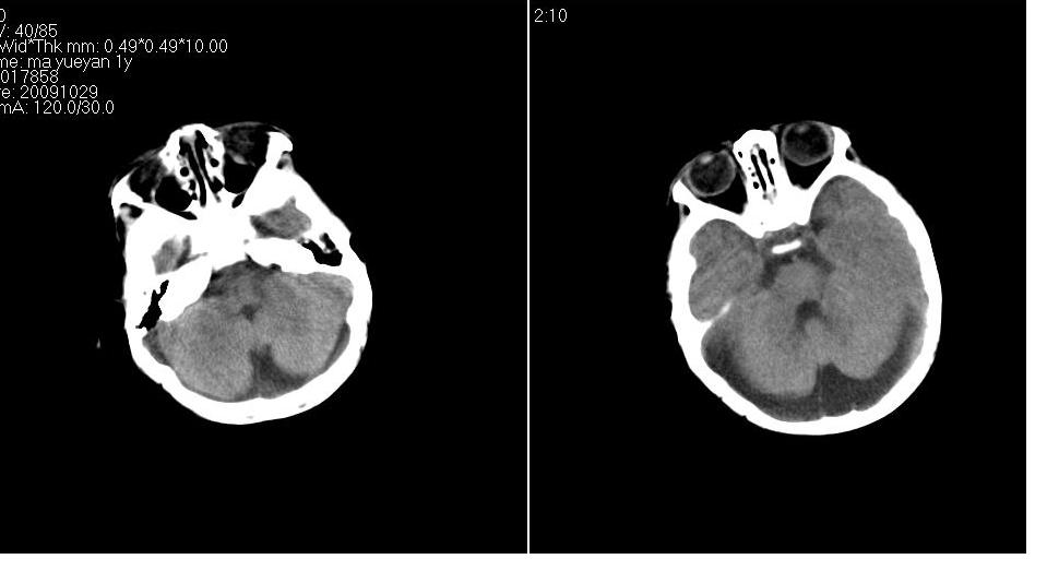
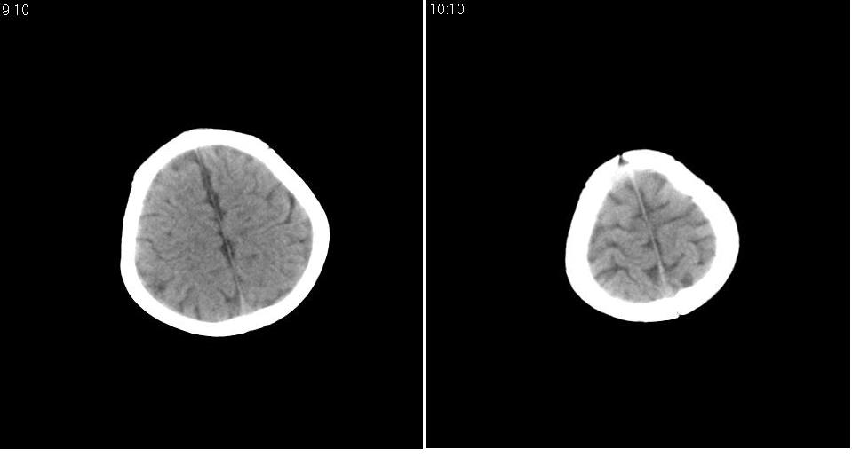
男 1岁,外伤就诊。智力正常,骨窗正常。




[本贴已被 jiajie 于 2009-10-29 21:53:00 修改过]
作者: zxl51642 时间: 2009-10-30 01:07
正常变异,大枕大池。鉴别:蛛网膜囊肿、双侧小脑发育不良。
作者: 杀毒软件 时间: 2009-10-30 02:11
顶
作者: cmcedu 时间: 2009-10-30 02:19
蛛网膜囊肿可能性大。
作者: 卜一 时间: 2009-10-30 03:06
蛛网膜囊肿可能性大。
作者: ljj8935 时间: 2009-10-30 03:13
支持楼上
作者: 道哥 时间: 2009-10-30 03:30
未见明显异常
作者: 泪洒红尘 时间: 2009-10-30 03:34
顶
作者: yangyang2000 时间: 2009-10-30 05:08
正常变异,大枕大池。鉴别:蛛网膜囊肿、双侧小脑发育不良
支持
作者: woly10000 时间: 2009-10-30 07:39
请问大枕大池与蛛网膜囊肿如何鉴别?
作者: 拾荒者 时间: 2009-10-30 07:42
标题: 回复:ped2965:颅脑ct平扫
以下是引用zxl51642在2009-10-29 17:07:00的发言:[br]正常变异,大枕大池。鉴别:蛛网膜囊肿、双侧小脑发育不良。
支持!
作者: wangjj555 时间: 2009-10-30 16:47
蛛网膜囊肿可能性大
作者: 蒂萨 时间: 2009-10-31 01:24
蛛网膜囊肿、双侧小脑发育不良
支持
作者: dyqct 时间: 2009-10-31 01:27
标题: 回复:ped2965:颅脑ct平扫
以下是引用拾荒者在2009-10-29 23:42:00的发言:[br][quote]以下是引用zxl51642在2009-10-29 17:07:00的发言:[br]正常变异,大枕大池。鉴别:蛛网膜囊肿、双侧小脑发育不良。
[br]支持![/quote]
作者: sunbin 时间: 2009-10-31 03:13
大枕大池,双侧小脑发育不良。
作者: 22222222 时间: 2009-10-31 07:30
正常变异,大枕大池。鉴别:蛛网膜囊肿、双侧小脑发育不良
支持
作者: wangzhongliang 时间: 2009-11-1 02:35
蛛网膜囊肿可能性大。
作者: zy_zj 时间: 2009-11-1 03:48
正常变异,大枕大池。鉴别:蛛网膜囊肿、双侧小脑发育不良。
蛛网膜囊肿一般是封闭的空间,张力较大,临近颅骨一般受压变薄。本例支持大枕大池
作者: yuhongjun 时间: 2009-11-1 14:30
正常变异,大枕大池。鉴别:蛛网膜囊肿、双侧小脑发育不良
支持
作者: 深泽交通 时间: 2009-11-1 17:57
考虑硬膜下积液
作者: scdlc2008 时间: 2009-11-2 07:32
大枕大池
作者: 施明 时间: 2009-11-2 17:34
诊断小脑发育不良是否早点?才一岁
作者: 513ytb 时间: 2009-11-3 03:32
正常变异,大枕大池。鉴别:蛛网膜囊肿、双侧小脑发育不良。
作者: fxc21cn 时间: 2009-11-4 19:14
大枕大池与蛛网膜囊肿的主要区别就是看颅骨有没有压迹,如果有的话一般考虑蛛网膜囊肿。
作者: ZIYOUFEIXIANG 时间: 2009-11-7 05:49
正常变异、进步检查做强化、与蛛网膜囊肿(枕大池囊肿)
作者: 随光逐影 时间: 2009-11-7 16:27
鉴别于巨大枕大池与枕大池区蛛网膜囊肿之间。
作者: wangaiying11 时间: 2009-11-9 06:01
大枕大池
| 欢迎光临 医影在线 (http://bbs.radida.com/bbs/) |
Powered by Discuz! X3.2 |