医影在线

标题: PED2967:胸部会诊, [打印本页]

作者: 07619    时间: 2009-10-31 03:00
标题: PED2967:胸部会诊,
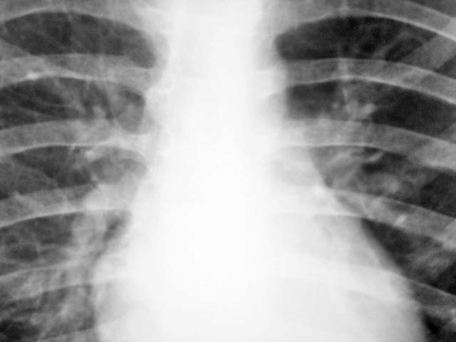
男.8岁.咳嗽发烧3天.咳血样痰2天



[本贴已被 jiajie 于 2009-10-30 19:05:48 修改过]

作者: dyqct    时间: 2009-10-31 04:05
胸部平片未见明显异常。可能为急性支气管炎。
作者: 杀毒软件    时间: 2009-10-31 04:56
未见明显异常
作者: zsl6918    时间: 2009-10-31 06:19
肺内未见明显异常
作者: xushanrong1972    时间: 2009-10-31 06:50
未见明显异常。
作者: 蒂萨    时间: 2009-10-31 07:57
未见明显异常
作者: zxl51642    时间: 2009-10-31 19:26
支气管炎
作者: sunbin    时间: 2009-11-1 01:28
提示支气管炎征象。
作者: yuhongjun    时间: 2009-11-1 01:31
肺内未见明显异常 。
作者: wangzhongliang    时间: 2009-11-1 02:31
未见明显异常。
作者: 道哥    时间: 2009-11-1 02:54
未见明显异常
作者: 拾荒者    时间: 2009-11-1 03:27
标题: 回复:ped2967:胸部会诊,
以下是引用sunbin在2009-10-31 17:28:00的发言:[br]提示支气管炎征象。

作者: zy_zj    时间: 2009-11-1 04:02
没见明确异常,可能为上呼吸道的问题,对症治疗后复诊吧
作者: 深泽交通    时间: 2009-11-1 17:54
考虑有支扩
作者: 太空射线    时间: 2009-11-2 03:50
正常胸片
作者: scdlc2008    时间: 2009-11-2 07:28
未见明显异常。
作者: 施明    时间: 2009-11-2 17:37
正常
作者: 施明    时间: 2009-11-3 17:33
没事
作者: 施明    时间: 2009-11-3 17:35
没事
作者: 老单    时间: 2009-11-3 19:39
右肺中下野中内带可疑囊腔
作者: fxc21cn    时间: 2009-11-4 19:10
未见明确异常。
作者: 2016    时间: 2009-11-5 03:38
肺内未见明显异常。
作者: 黑白光影    时间: 2009-11-7 05:10
右下肺野内带有炎症。
作者: wangaiying11    时间: 2009-11-9 05:42
支扩
作者: huenhao    时间: 2009-11-9 20:32
未见明显异常




欢迎光临 医影在线 (http://bbs.radida.com/bbs/) Powered by Discuz! X3.2