医影在线

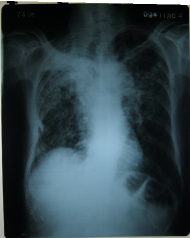
标题: X6526:某女72岁 咳嗽 气短 憋气最近加重 [打印本页]

作者: ZIYOUFEIXIANG    时间: 2009-11-10 06:07
标题: X6526:某女72岁 咳嗽 气短 憋气最近加重



[本贴已被 cefcmj 于 2009-11-9 23:20:13 修改过]

作者: 江广1996    时间: 2009-11-10 07:17
标题: 回复:某女72岁 咳嗽 气短 憋气最近加重

双侧继发性肺结核……
作者: yuhongjun    时间: 2009-11-10 14:44
慢支,肺气肿,双肺继发性结核。
作者: dyqct    时间: 2009-11-10 15:37
慢支,肺气肿,双肺继发性结核。建议ct除外右上肺合并其它。
作者: zjzjr    时间: 2009-11-10 19:07
慢支,肺气肿,双肺继发性结核。建议ct除外右上肺合并其它。
作者: zxl51642    时间: 2009-11-10 19:21
慢支,肺气肿,双肺继发性结核。建议ct除外右上肺合并其它。
作者: 医学先锋    时间: 2009-11-10 19:50
慢支,肺气肿,双肺继发性结核。建议ct除外右上肺合并其它。
作者: weixiaoxiaoxiao    时间: 2009-11-10 23:50
结核。
作者: jiahui7z    时间: 2009-11-11 02:12
标题: 回复:x6526:某女72岁 咳嗽 气短 憋气最近加重
以下是引用dyqct在2009-11-10 7:37:00的发言:[br]慢支,肺气肿,双肺继发性结核。建议ct除外右上肺合并其它。

作者: 黑白光影    时间: 2009-11-12 04:02
慢支,肺气肿,右上结核、肺纤维化并通气不良。
作者: 拾荒者    时间: 2009-11-12 05:53
慢支并感染,左肺气肿,双上肺结核待排,建议结合实验室检查或进一步检查。
作者: shibing    时间: 2014-10-16 08:48
ct




欢迎光临 医影在线 (http://bbs.radida.com/bbs/) Powered by Discuz! X3.2