医影在线
标题: PED2976:无独有偶.一天遇到二个一样的患儿.患儿,1岁半.脑瘫. [打印本页]
作者: 居洪涛 时间: 2009-11-10 07:18
标题: PED2976:无独有偶.一天遇到二个一样的患儿.患儿,1岁半.脑瘫.
















[本贴已被 居洪涛 于 2009-11-9 23:19:25 修改过]
[本贴已被 jiajie 于 2009-11-10 7:13:03 修改过]
作者: 听海观潮20 时间: 2009-11-10 08:02
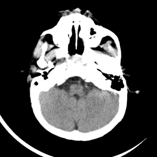
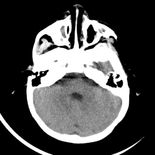
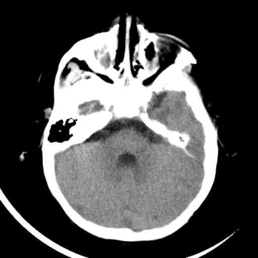
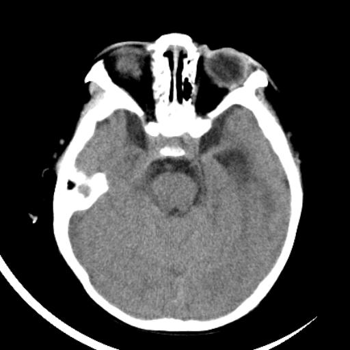
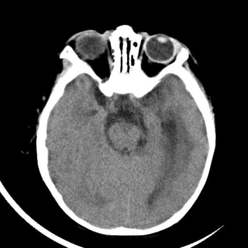
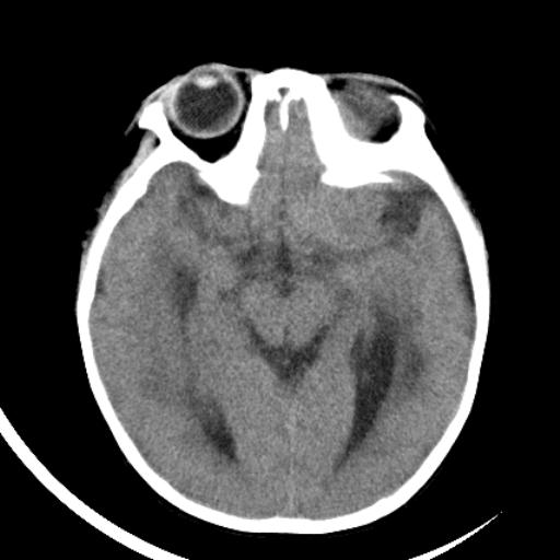
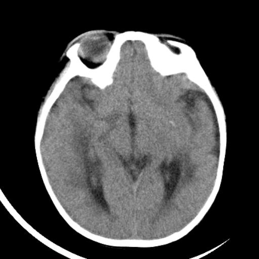
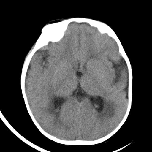
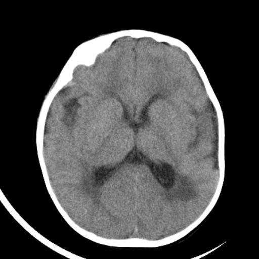
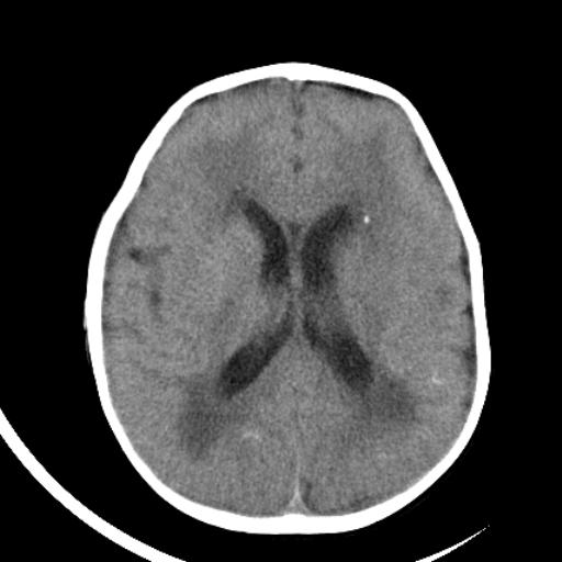
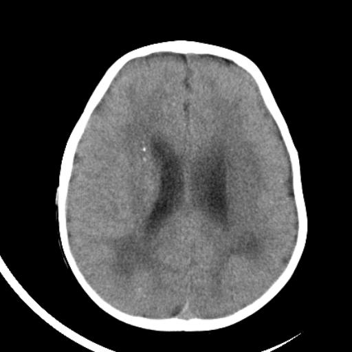
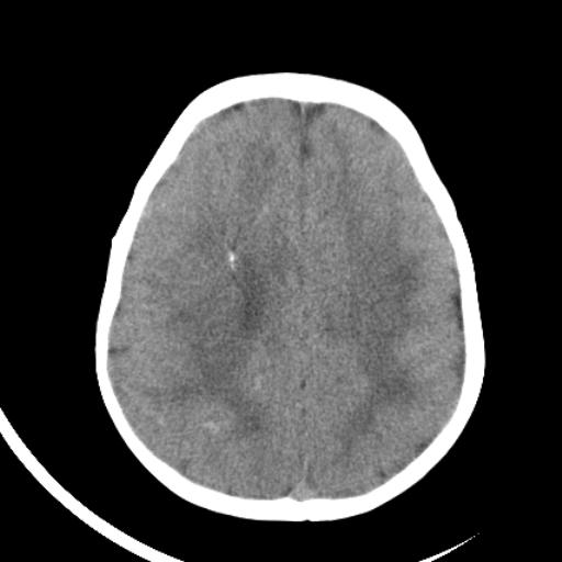
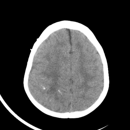
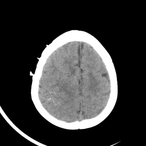
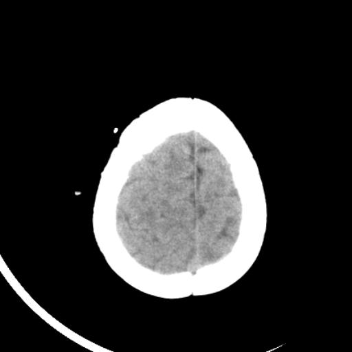
双侧脑室前后角周围白质片状低密度影,双侧侧脑室旁、双顶叶皮层及皮层下多个小原点状钙化灶,不除外torch感染。右顶叶脑回似乎较对侧大,建议mri检查以除外脑发育异常。
作者: 寇占峰 时间: 2009-11-10 08:21
考虑爱迪生弥漫性脑硬化症或硫脂沉积引起的异染性脑白质营养不良婴儿晚期型,,若为后者,一般活不过4岁。
作者: lizhjie 时间: 2009-11-10 12:51
torch综合征
作者: dyqct 时间: 2009-11-10 15:36
考虑:1、巨脑回畸形(皮质明显增厚+脑回明显增宽+白质减少)。
2、torch综合征(室管膜下钙化+白质内及皮髓质交界处多发钙化)。
作者: zxl51642 时间: 2009-11-10 19:48
结节性硬化并无脑回畸形,左侧枕顶叶不排除血管畸形。
作者: 同 时间: 2009-11-10 23:07
torch综合征。
作者: 拾荒者 时间: 2009-11-11 03:10
标题: 回复:ped2976:无独有偶.一天遇到二个一样的患儿.患儿,1岁半
以下是引用dyqct在2009-11-10 7:36:00的发言:[br]考虑:1、巨脑回畸形(皮质明显增厚+脑回明显增宽+白质减少)。[br] 2、torch综合征(室管膜下钙化+白质内及皮髓质交界处多发钙化)。
支持!
作者: jiangjing 时间: 2009-11-11 04:36
考虑:1、巨脑回畸形(皮质明显增厚+脑回明显增宽+白质减少)。
2、torch综合征(室管膜下钙化+白质内及皮髓质交界处多发钙化)。
作者: 吴医师 时间: 2009-11-11 21:21
标题: 回复:ped2976:无独有偶.一天遇到二个一样的患儿.患儿,1岁半
以下是引用dyqct在2009-11-10 7:36:00的发言:[br]考虑:1、巨脑回畸形(皮质明显增厚+脑回明显增宽+白质减少)。[br] 2、torch综合征(室管膜下钙化+白质内及皮髓质交界处多发钙化)。
作者: zjzjr 时间: 2009-11-13 04:09
标题: 回复:ped2976:无独有偶.一天遇到二个一样的患儿.患儿,1岁半
以下是引用dyqct在2009-11-10 7:36:00的发言:[br]考虑:1、巨脑回畸形(皮质明显增厚+脑回明显增宽+白质减少)。[br] 2、torch综合征(室管膜下钙化+白质内及皮髓质交界处多发钙化)。
作者: 影像孺子牛 时间: 2009-11-13 06:23
支持:
1、巨脑回畸形(皮质明显增厚+脑回明显增宽+白质减少)。
2、torch综合征(室管膜下钙化+白质内及皮髓质交界处多发钙化)。
作者: sunbin 时间: 2009-11-14 04:23
支持1、巨脑回畸形。2、torch综合症。
作者: wsfct 时间: 2009-11-14 22:09
结节性硬化并无脑回畸形
作者: docgobt103035 时间: 2009-11-15 03:44
以下是引用dyqct在2009-11-10 7:36:00的发言:
考虑:1、巨脑回畸形(皮质明显增厚+脑回明显增宽+白质减少)。
2、torch综合征(室管膜下钙化+白质内及皮髓质交界处多发钙化)。
作者: ZHANGZHONGSHOU 时间: 2009-11-15 04:59
标题: 回复:ped2976:无独有偶.一天遇到二个一样的患儿.患儿,1岁半
以下是引用dyqct在2009-11-10 7:36:00的发言:[br]考虑:1、巨脑回畸形(皮质明显增厚+脑回明显增宽+白质减少)。[br] 2、torch综合征(室管膜下钙化+白质内及皮髓质交界处多发钙化)。
作者: scdlc2008 时间: 2009-11-15 18:51
torch综合征
作者: zy_zj 时间: 2009-11-15 21:35
标题: 回复:ped2976:无独有偶.一天遇到二个一样的患儿.患儿,1岁半
以下是引用dyqct在2009-11-10 7:36:00的发言:[br]考虑:1、巨脑回畸形(皮质明显增厚+脑回明显增宽+白质减少)。[br] 2、torch综合征(室管膜下钙化+白质内及皮髓质交界处多发钙化)。
支持,另外脑瘫不是一个具体的病,而是指小儿因多种原因(如感染、出血、外伤等)引起的脑实质损害,出现非进行性、中枢性运动功能障碍而发展为瘫痪的疾病的统称。
| 欢迎光临 医影在线 (http://bbs.radida.com/bbs/) |
Powered by Discuz! X3.2 |