医影在线
标题: X6536:向高手请教 [打印本页]
作者: jiahui7z 时间: 2009-11-11 01:32
标题: X6536:向高手请教
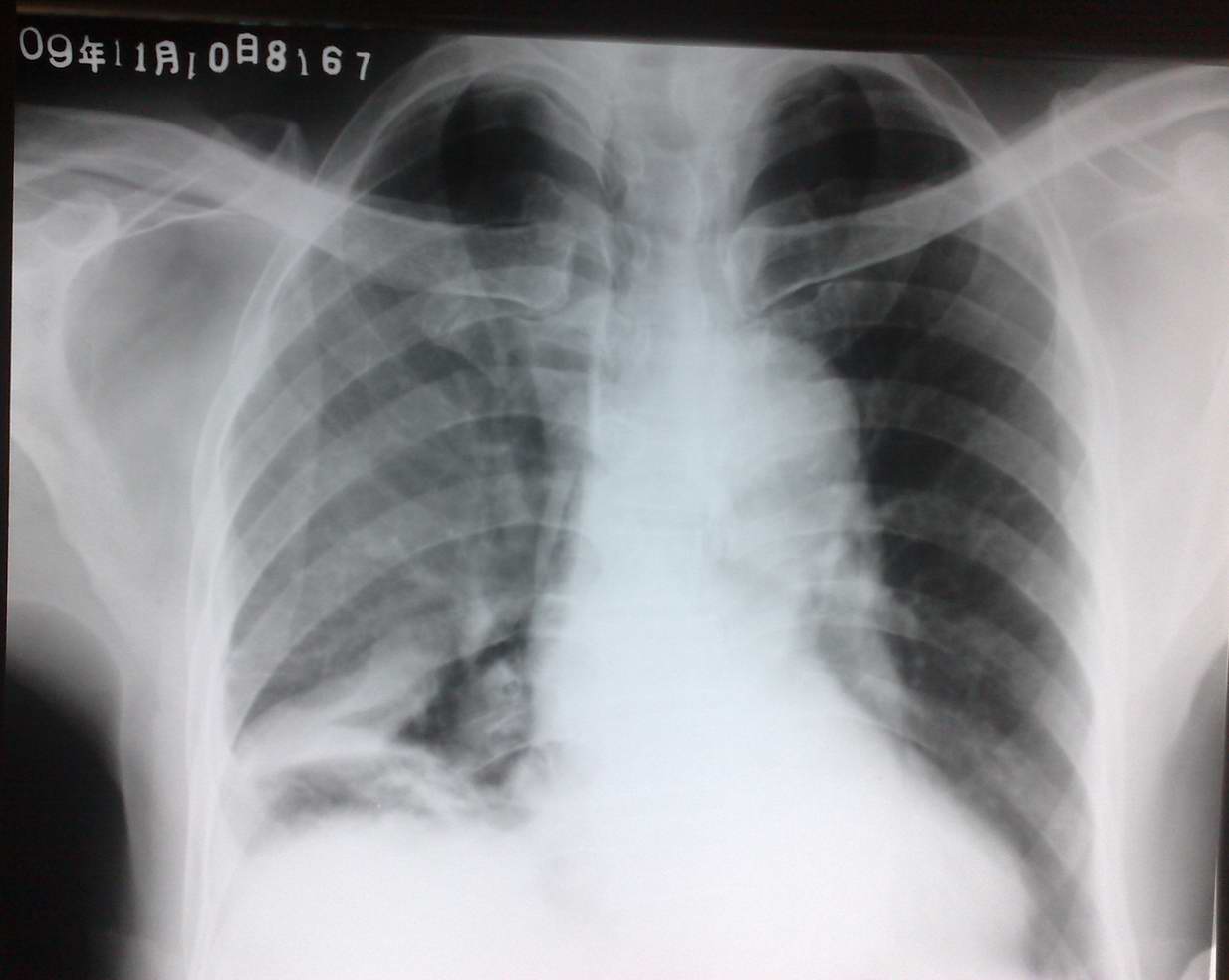
男性,74岁,反复咳嗽、咳痰、胸痛一个月,暂未发现其他不适。hbc:11.12x10的9次方, n:0.845,l:0.092,正常心电图。

用手机拍的,左膈面光滑,肋膈角锐利(未照出来),其余如片示。
[本贴已被 jiajie 于 2009-11-10 20:37:46 修改过]
作者: zxl51642 时间: 2009-11-11 02:05
wbc吧!wbc值1万1及中性粒升高提示细菌性感染。考虑右侧胸膜腔积液、叶间胸膜积液,右下盘状不张,临床及实验室提示合并右下感染。双肺透光度不对称可能是体位因素。建议ct排除占位性病变。
作者: dengkai 时间: 2009-11-11 02:44
考虑右下肺部感染,叶间胸膜积液?建议ct进一步明确情况
作者: zdgds 时间: 2009-11-11 03:29
应考虑到肺不张之可能,建议ct检查或抗炎后复查
作者: 泪洒红尘 时间: 2009-11-11 03:39
抗炎后复查
作者: xiazhuzhu 时间: 2009-11-11 03:59
标题: 回复:向高手请教
以下是引用zxl51642在2009-11-10 18:05:00的发言:[br]wbc吧!wbc值1万1及中性粒升高提示细菌性感染。考虑右侧胸膜腔积液、叶间胸膜积液,右下盘状不张,临床及实验室提示合并右下感染。双肺透光度不对称可能是体位因素。建议ct排除占位性病变。
作者: xiazhuzhu 时间: 2009-11-11 04:05
标题: 回复:向高手请教
以下是引用zxl51642在2009-11-10 18:05:00的发言:[br]wbc吧!wbc值1万1及中性粒升高提示细菌性感染。考虑右侧胸膜腔积液、叶间胸膜积液,右下盘状不张,临床及实验室提示合并右下感染。双肺透光度不对称可能是体位因素。建议ct排除占位性病变。
作者: jiangjing 时间: 2009-11-11 04:19
为什么不照侧位片------感染,胸腔积液,包裹及叶间积液,胸膜增厚。建议ct
作者: 老爱克斯 时间: 2009-11-11 04:27
右肺下野见不规则片状阴影,右肺透光减弱,右侧膈肌升高,欠光滑,膈顶位于外三分之一。
诊断:右侧胸腔积液,肺底积液,叶间积液伴右肺下叶膨胀不全。
作者: dyqct 时间: 2009-11-11 04:48
为什么不照侧位片?
作者: wgh407 时间: 2009-11-11 07:09
为什么不照侧位片------感染,胸腔积液,包裹及叶间积液,胸膜增厚。建议ct
作者: hexue 时间: 2009-11-11 07:21
考虑右侧胸膜腔积液、叶间胸膜积液,右下盘状不张,临床及实验室提示合并右下感染。双肺透光度不对称可能是体位因素。建议ct排除占位性病变。
作者: 513ytb 时间: 2009-11-11 07:39
诊断:右侧胸腔积液,肺底积液,叶间积液伴右肺下叶膨胀不全。
作者: 胡宇 时间: 2009-11-11 08:39
诊断:提示右侧胸腔积液,肺底积液,叶间积液伴右肺下叶膨胀不全,建议必要时ct检查。
作者: jinguoji 时间: 2009-11-11 14:58
考虑右侧胸膜腔积液、叶间胸膜积液,右下盘状不张,建议ct排除占位性病变。
作者: yuhongjun 时间: 2009-11-11 15:02
诊断:提示右侧胸腔积液,肺底积液,叶间积液伴右肺下叶膨胀不全,建议必要时ct检查。
作者: weixiaoxiaoxiao 时间: 2009-11-11 17:18
右侧胸膜炎及盘状肺不张,叶间积液?右下肺炎
作者: 吴医师 时间: 2009-11-11 18:56
右下肺炎。右侧胸膜炎。
作者: zsl6918 时间: 2009-11-11 20:04
强烈要求ct检查
作者: ql 时间: 2009-11-11 20:10
右侧胸膜炎及盘状肺不张,叶间积液
作者: mayone 时间: 2009-11-11 22:22
学习
作者: zhanggenliang 时间: 2009-11-11 22:29
标题: 回复:x6536:向高手请教
以下是引用zxl51642在2009-11-10 18:05:00的发言:[br]wbc吧!wbc值1万1及中性粒升高提示细菌性感染。考虑右侧胸膜腔积液、叶间胸膜积液,右下盘状不张,临床及实验室提示合并右下感染。双肺透光度不对称可能是体位因素。建议ct排除占位性病变。
叶间胸膜积液?没看出来
作者: 医学先锋 时间: 2009-11-11 23:51
右肺下野见不规则片状阴影,右侧膈欠光滑。抗炎后复查.
作者: 康鹏 时间: 2009-11-12 00:27
ct
作者: 拾荒者 时间: 2009-11-12 04:37
考虑右下肺感染,可短期抗炎治疗复查;是否有盘状肺不张及肺底积液要结合ct扫描或透视改变体位观察。
作者: lxm6578 时间: 2009-11-12 17:18
支持2楼,叶间胸膜纤维灶,透过度降低是侧壁胸膜反应。
作者: zjzjr 时间: 2009-11-12 20:23
为什么不照侧位片------感染,胸腔积液,包裹及叶间积液,胸膜增厚。建议ct
作者: shibing 时间: 2014-10-16 08:45
建议ct进一步明确情况
| 欢迎光临 医影在线 (http://bbs.radida.com/bbs/) |
Powered by Discuz! X3.2 |