医影在线

标题: CT23067:女,70岁,咳嗽、咳痰一个月,低热一周。 [打印本页]

作者: wpf    时间: 2009-11-11 07:13
标题: CT23067:女,70岁,咳嗽、咳痰一个月,低热一周。
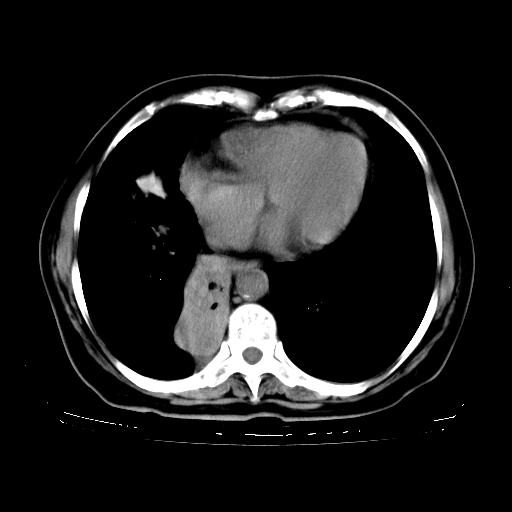
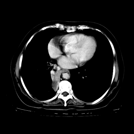
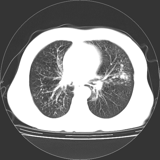
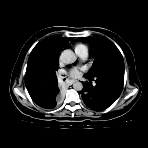
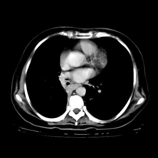
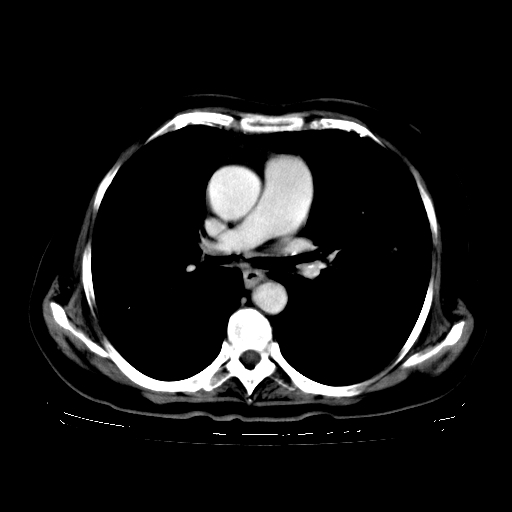
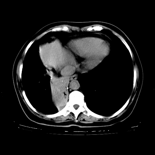
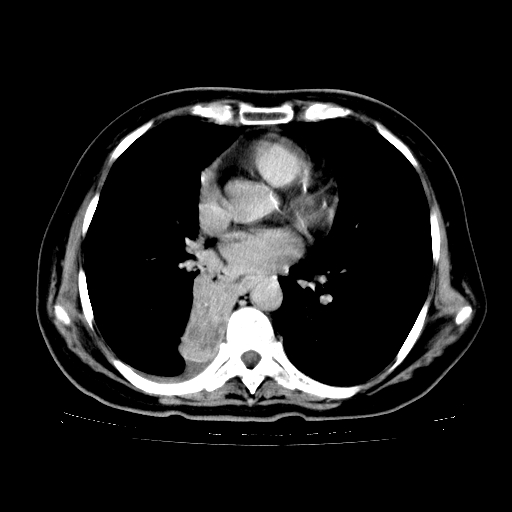
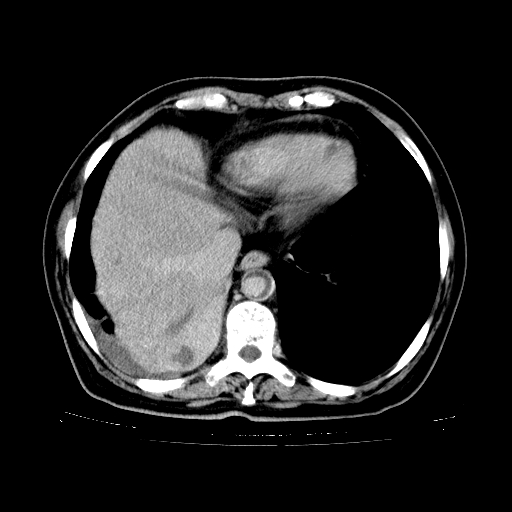
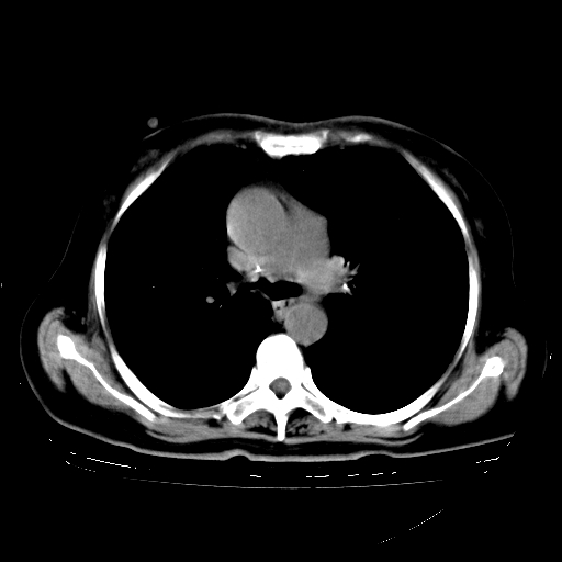
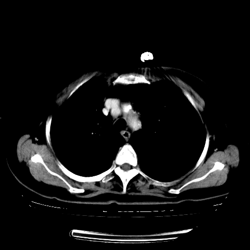
女,70岁,咳嗽、咳痰一个月,低热一周。





















































































[本贴已被 翁志蓬 于 2009-11-10 23:20:14 修改过]

作者: 听海观潮20    时间: 2009-11-11 07:37
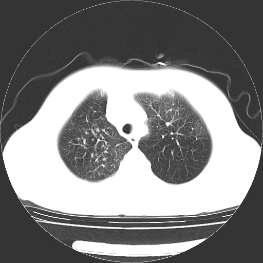
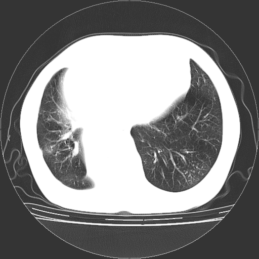
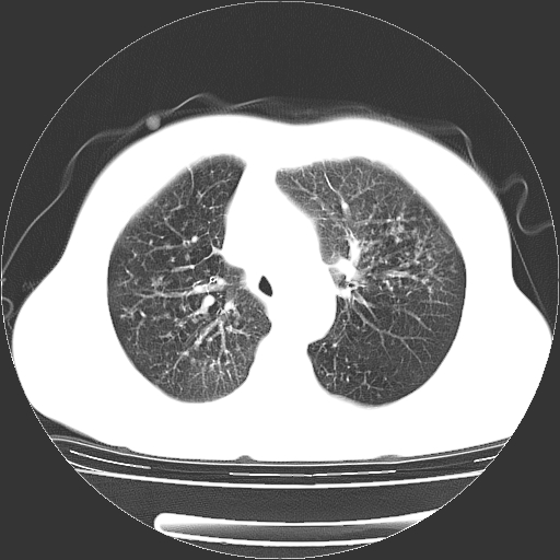
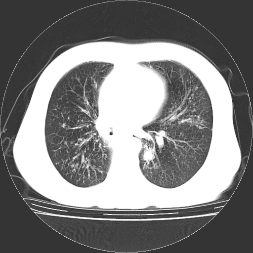
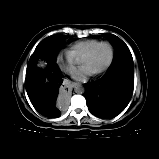
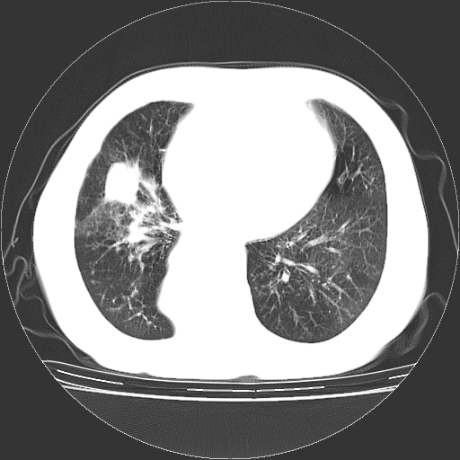
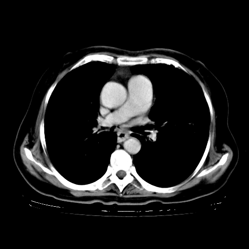
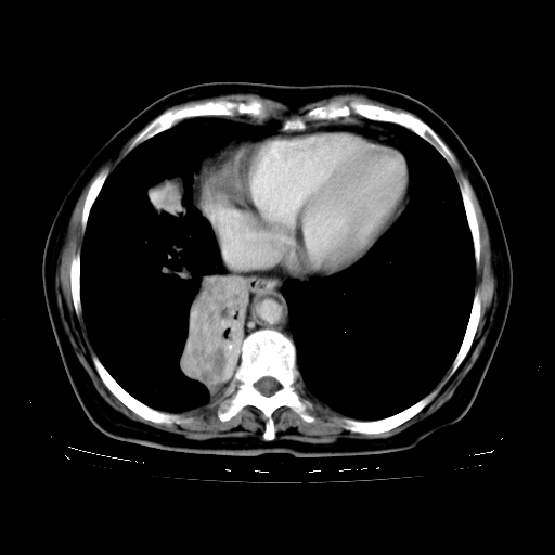
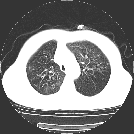
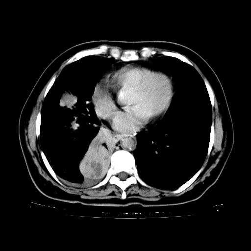
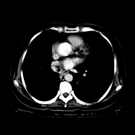
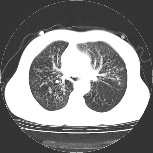
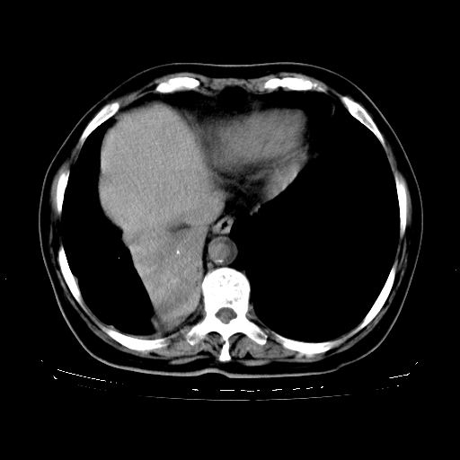
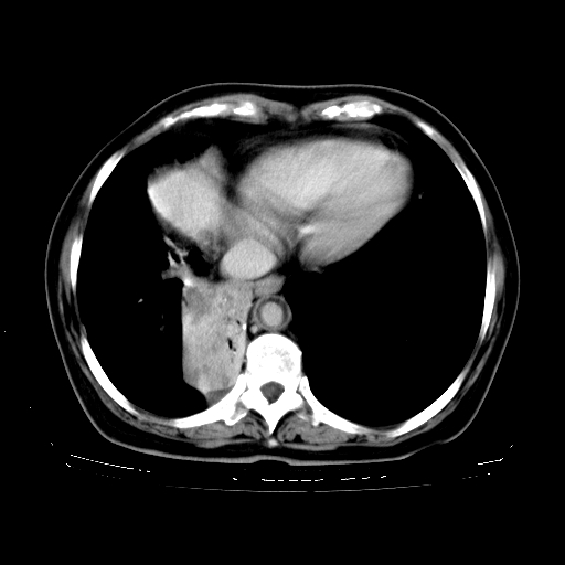
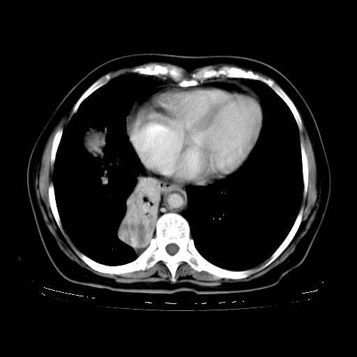
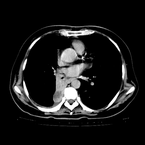
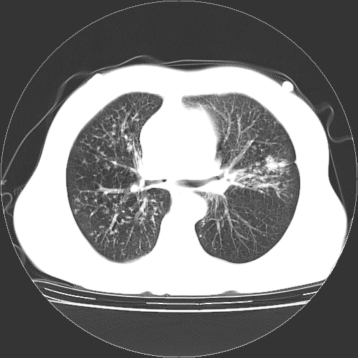
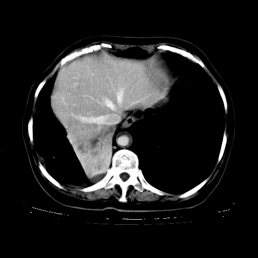
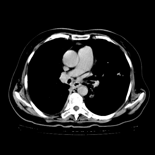
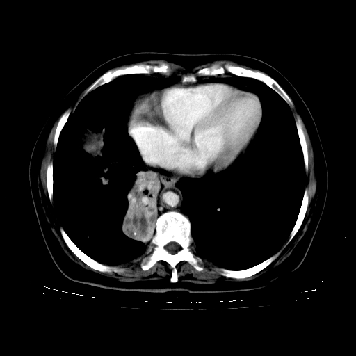
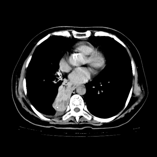
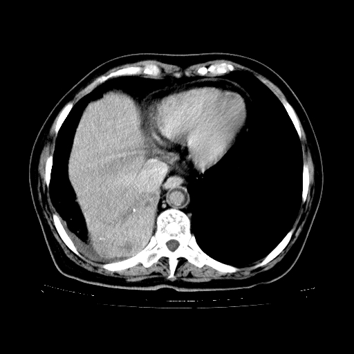
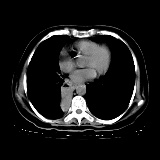
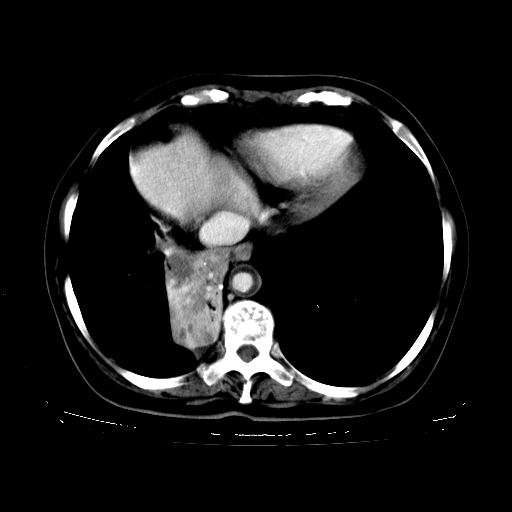
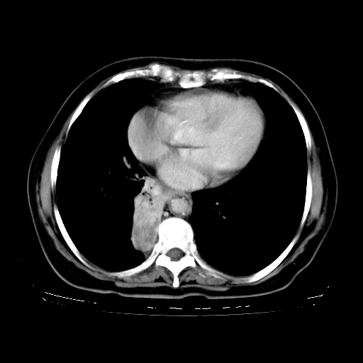
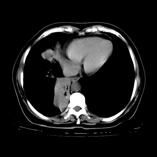
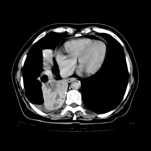
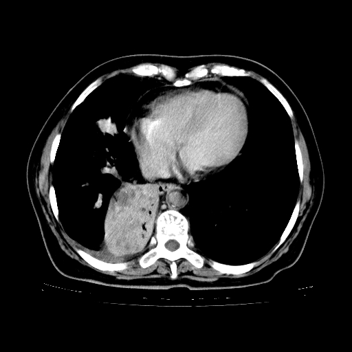
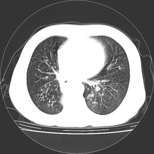
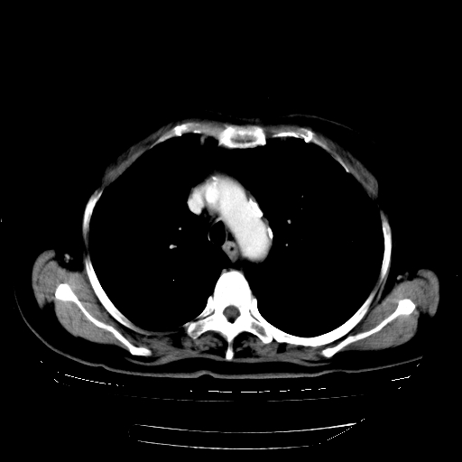
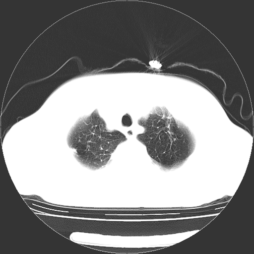
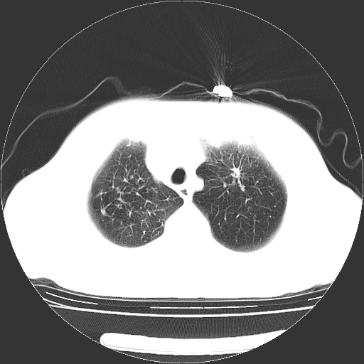
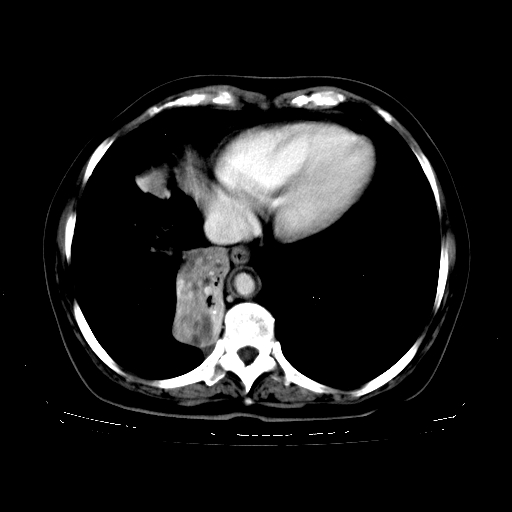
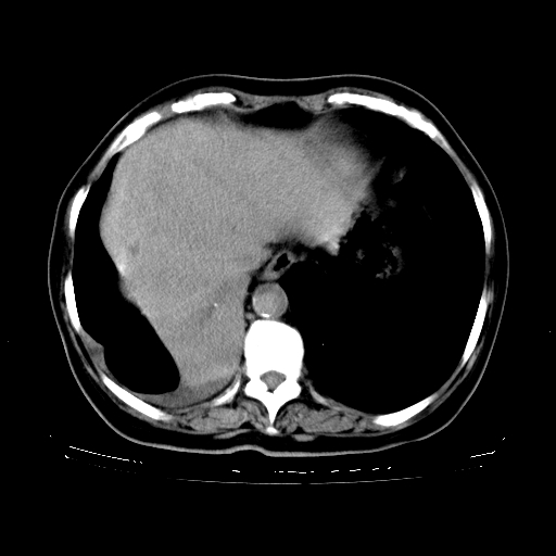
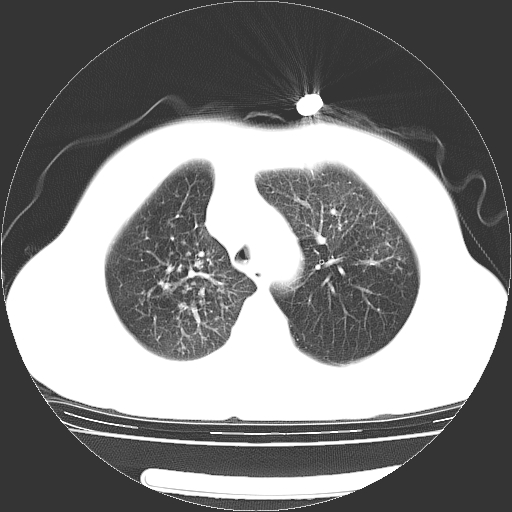
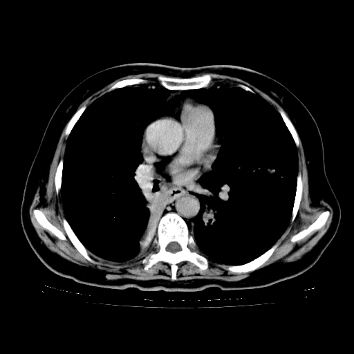
1.左上肺结核,部分纤维化。右肺中下叶部分肺不张,内见液化、坏死及点状钙化,右中下叶支气管壁增厚、管腔狭窄,见多个点状钙化,结合临床考虑支气管内膜结核,建议痰检查抗酸杆菌并参考血沉。两肺多个小圆点状高密度灶,境界模糊,多考虑结核肺内播散。但本人年龄较大首先应支气管镜检以除外右肺癌。
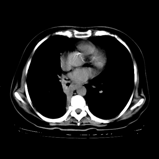
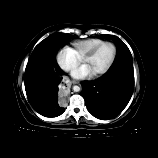
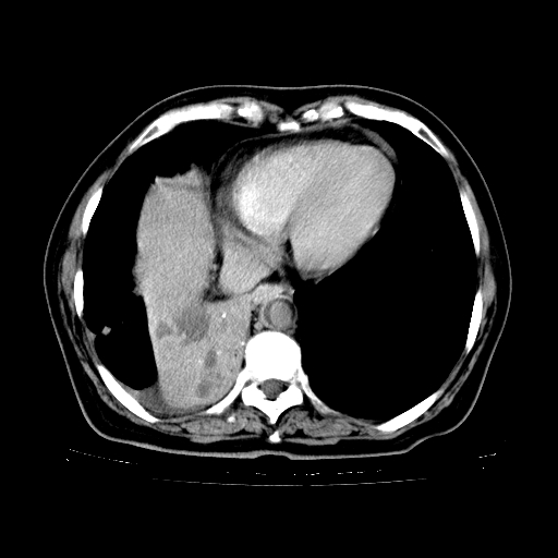
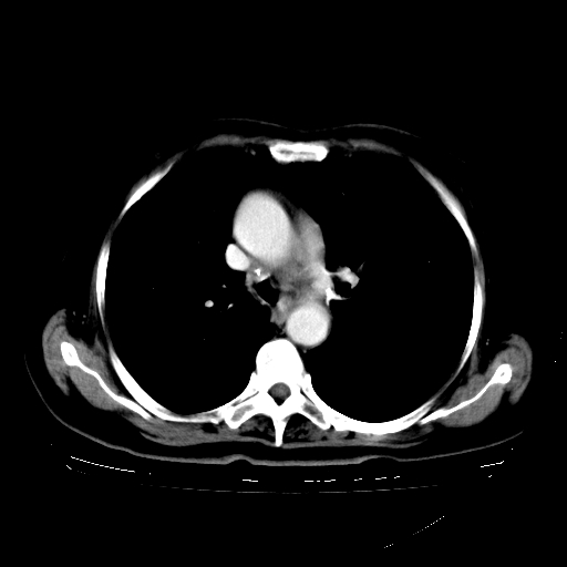
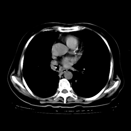
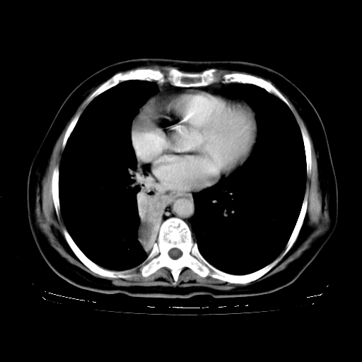
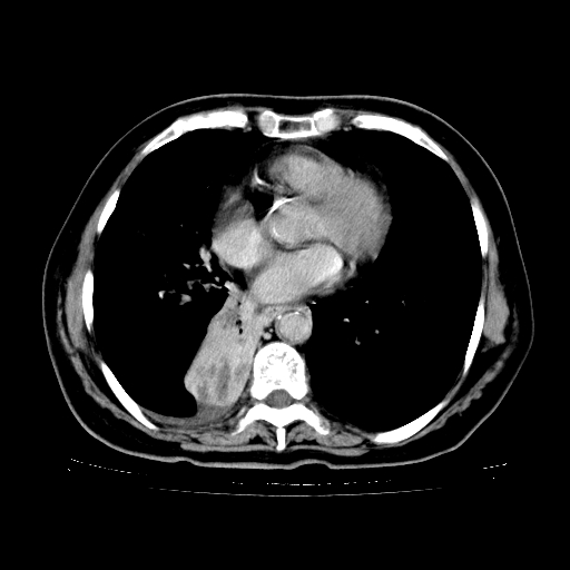
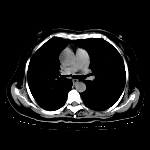
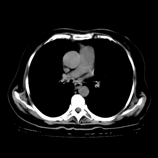
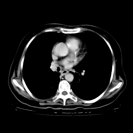
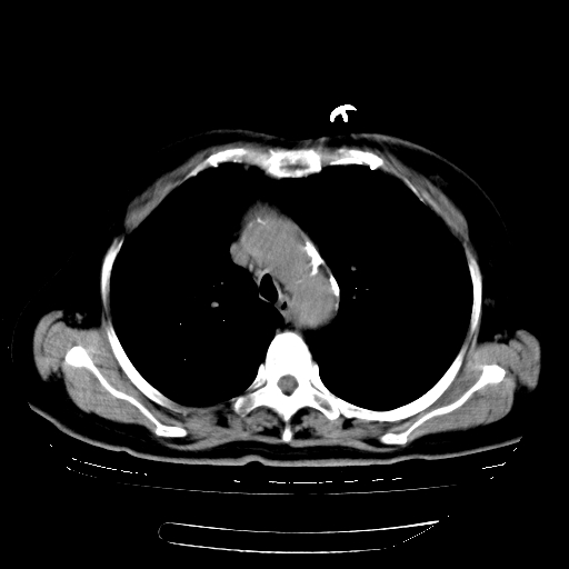
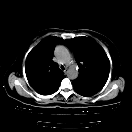
2.胸主动脉夹层。
作者: 蒂萨    时间: 2009-11-11 07:42
肺结核动脉夹层
作者: 地球上的    时间: 2009-11-11 08:30
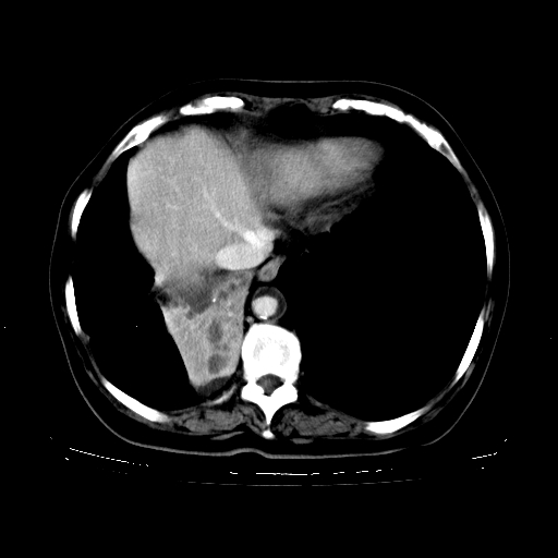
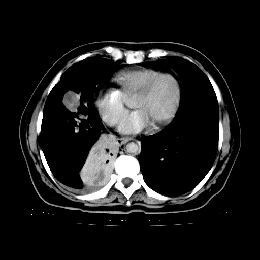
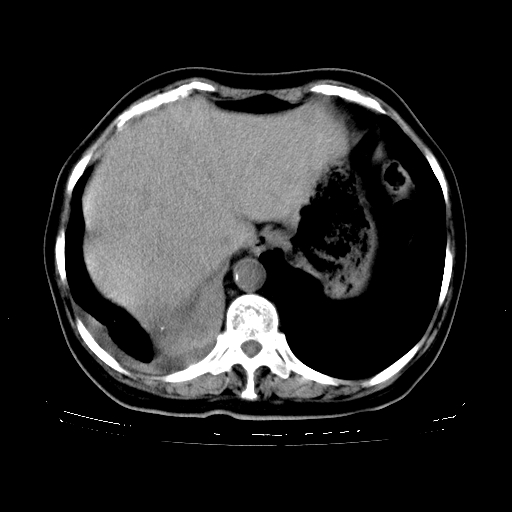
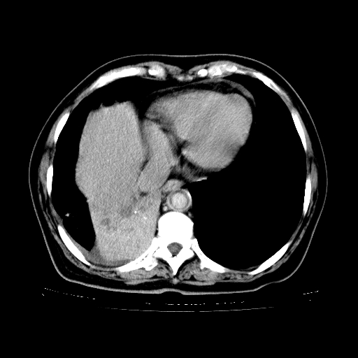
1、右肺占位,考虑周围型ca 。
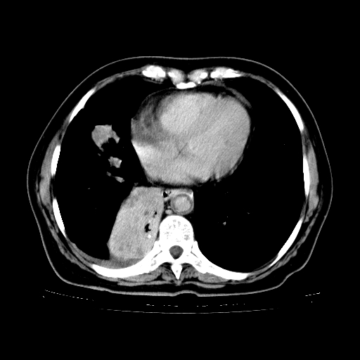
2、右下肺软组织密度肿块影,考虑肺隔离征。
3、两肺肺结核(右肺下叶背段及左肺)。
4、主动脉夹层。
作者: 地球上的    时间: 2009-11-11 08:33
1、右肺占位,考虑周围型ca 。
2、右下肺软组织密度肿块影,考虑肺隔离征。
3、两肺肺结核(右肺下叶背段及左肺)。
4、主动脉夹层。
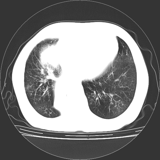
5、右侧少量胸腔积液。
作者: arven    时间: 2009-11-11 08:46
肺癌,结核,动脉夹层,肺隔离,病人真是祸不单行,好病例!
作者: yuhongjun    时间: 2009-11-11 14:45
1、右肺占位,考虑周围型ca 。
2、右下肺软组织密度肿块影,考虑肺隔离征。
3、两肺肺结核(右肺下叶背段及左肺)。
4、主动脉夹层。
5、右侧少量胸腔积液。
作者: zsl6918    时间: 2009-11-11 14:46
内膜结核,双肺播散
作者: 卜一    时间: 2009-11-11 15:12
一元论:内膜结核伴下肺阻塞性肺炎并双肺播散!另:主动脉夹层。右侧少量胸腔积液。
作者: 施明    时间: 2009-11-11 16:40
右中下叶开口处结节影 所以右肺下叶癌可能性大 不除外癌性淋巴管炎
作者: dyqct    时间: 2009-11-11 16:46
标题: 回复:ct23067:女,70岁,咳嗽、咳痰一个月,低热一周。
以下是引用卜一在2009-11-11 7:12:00的发言:[br]一元论:内膜结核伴下肺阻塞性肺炎并双肺播散!另:主动脉夹层。右侧少量胸腔积液。

支持!
作者: tian1238    时间: 2009-11-11 17:08
标题: 回复:ct23067:女,70岁,咳嗽、咳痰一个月,低热一周。
以下是引用听海观潮2008在2009-11-10 23:37:00的发言:[br]1.左上肺结核,部分纤维化。右肺中下叶部分肺不张,内见液化、坏死及点状钙化,右中下叶支气管壁增厚、管腔狭窄,见多个点状钙化,结合临床考虑支气管内膜结核,建议痰检查抗酸杆菌并参考血沉。两肺多个小圆点状高密度灶,境界模糊,多考虑结核肺内播散。但本人年龄较大首先应支气管镜检以除外右肺癌。[br]2.胸主动脉夹层。[br]

支持
作者: 道哥    时间: 2009-11-11 17:38
1、右肺占位,考虑周围型ca 。
2、右下肺软组织密度肿块影,考虑肺隔离征。
3、两肺肺结核(右肺下叶背段及左肺)。
4、主动脉夹层。
5、右侧少量胸腔积液。
作者: 郭凯    时间: 2009-11-11 17:53
支持9楼的一元论。
作者: zxl51642    时间: 2009-11-11 18:04
以下是引用听海观潮2008在2009-11-10 23:37:00的发言:
1.左上肺结核,部分纤维化。右肺中下叶部分肺不张,内见液化、坏死及点状钙化,右中下叶支气管壁增厚、管腔狭窄,见多个点状钙化,结合临床考虑支气管内膜结核,建议痰检查抗酸杆菌并参考血沉。两肺多个小圆点状高密度灶,境界模糊,多考虑结核肺内播散。但本人年龄较大首先应支气管镜检以除外右肺癌。
2.胸主动脉夹层。



支持
作者: zy_zj    时间: 2009-11-11 18:47
1.左上肺结核,部分纤维化。右肺中下叶部分肺不张,内见液化、坏死及点状钙化,右中下叶支气管壁增厚、管腔狭窄,见多个点状钙化,结合临床考虑支气管内膜结核,建议痰检查抗酸杆菌并参考血沉。两肺多个小圆点状高密度灶,境界模糊,多考虑结核肺内播散。但本人年龄较大首先应支气管镜检以除外右肺癌。
支持,首先一元论解释。胸主动脉部分层面环形低密度,中心强化。环形影不强化。不象真假腔的改变。我考虑动脉炎,不太支持夹层动脉瘤-和大家的观点不一致,希望楼主让患者再做个心血管的彩超吧。
作者: zjzjr    时间: 2009-11-11 18:50
继发型肺结核,右下肺支气管内膜结核.右侧少量胸腔积液.主动脉夹层.
作者: 吴医师    时间: 2009-11-11 19:27
支气管内膜结核肺内播散.右侧少量胸腔积液.主动脉夹层.
作者: zsl6918    时间: 2009-11-11 19:48
虽然没有淋巴结肿大,但结节病仍须除外
作者: 心路寻觅    时间: 2009-11-11 20:28
标题: 回复:ct23067:女,70岁,咳嗽、咳痰一个月,低热一周。
以下是引用地球上的老实人在2009-11-11 0:33:00的发言:[br]1、右肺占位,考虑周围型ca 。[br]2、右下肺软组织密度肿块影,考虑肺隔离征。[br]3、两肺肺结核(右肺下叶背段及左肺)。[br]4、主动脉夹层。[br]5、右侧少量胸腔积液。

支持!!!
作者: 黑白光影    时间: 2009-11-13 00:41
继发型肺结核,右下肺支气管内膜结核.右侧少量胸腔积液.主动脉夹层.
作者: dr.yang    时间: 2013-3-29 17:27
1.左上肺结核,部分纤维化。右肺中下叶部分肺不张,内见液化、坏死及点状钙化,右中下叶支气管壁增厚、管腔狭窄,见多个点状钙化,结合临床考虑支气管内膜结核,建议痰检查抗酸杆菌并参考血沉。两肺多个小圆点状高密度灶,境界模糊,多考虑结核肺内播散。但本人年龄较大首先应支气管镜检以除外右肺癌。
2.胸主动脉夹层。




欢迎光临 医影在线 (http://bbs.radida.com/bbs/) Powered by Discuz! X3.2