医影在线
标题: PED2978:胸片一张 [打印本页]
作者: 潘X 时间: 2009-11-11 18:58
标题: PED2978:胸片一张
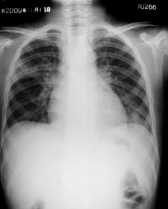
男,12岁,面部及双下肢浮肿5天,临床诊断为急性肾炎。

[本贴已被 jiajie 于 2009-11-12 11:48:58 修改过]
作者: zxl51642 时间: 2009-11-11 19:41
双肺感染性病变,抗炎后复查。
作者: zsl6918 时间: 2009-11-11 19:57
双肺感染性病变,建议ct观察病变程度及范围。
作者: wangaiying11 时间: 2009-11-11 21:33
双肺感染性病灶,建议抗炎后复查,必要时ct进一步检查
作者: zhanggenliang 时间: 2009-11-11 22:16
右肺上叶,左肺尖,左肺近心膈角处可见斑片状阴影,密度不均,边缘不清。考虑双肺感染,建议治疗后复查
作者: 医学先锋 时间: 2009-11-11 23:53
右肺上叶,左肺近心膈角处可见斑片状阴影,密度不均,边缘不清。考虑双肺感染,建议治疗后复查.
作者: zy_zj 时间: 2009-11-11 23:54
双肺感染性病灶,建议抗炎后复查,必要时ct进一步检查
作者: hfr 时间: 2009-11-11 23:59
急性肺部感染
作者: 黑白光影 时间: 2009-11-12 03:31
支持大家。
作者: 拾荒者 时间: 2009-11-12 03:32
标题: 回复:胸片一张
以下是引用医学先锋在2009-11-11 15:53:00的发言:[br]右肺上叶,左肺近心膈角处可见斑片状阴影,密度不均,边缘不清。考虑双肺感染,建议治疗后复查.
作者: 二陆一十二 时间: 2009-11-12 03:45
是否咳血,肺肾综合征?
作者: ydx_74 时间: 2009-11-12 04:50
肺肾综合征?
作者: 中医大 时间: 2009-11-12 05:09
急性肾炎,出现肺部片影,要考虑过敏性肺炎可能。
作者: 三维 时间: 2009-11-12 06:17
应首先考虑:肺-肾病综合征。
作者: 胡宇 时间: 2009-11-12 07:25
右肺上叶,左肺近心膈角处可见斑片状阴影,密度不均,边缘不清。考虑双肺感染,建议治疗后复查
作者: ctqiu 时间: 2009-11-12 17:43
是否考虑心衰
作者: huqi8888 时间: 2009-11-12 17:44
考虑为双肺感染。
作者: 潘X 时间: 2009-11-12 18:07
谢谢大家,此例病人问题主要是在右上肺第三、四肋间的片状阴影。左下肺炎性感染灶是有的,右水平裂上片状阴影,不小心会误诊为结核,结合临床,患都并无结核症状,而肾炎最常见的并发症为肺部感染。综合一下,首先考虑炎性感染,抗炎治疗后复查。
一已之见,不当之处请大家指正。
作者: ZHANGZHONGSHOU 时间: 2009-11-12 22:29
双肺炎症可能性大,建议抗炎治疗后复查。
作者: 同 时间: 2009-11-12 23:22
标题: 回复:ped2978:胸片一张
以下是引用zhanggenliang在2009-11-11 14:16:00的发言:[br]右肺上叶,左肺尖,左肺近心膈角处可见斑片状阴影,密度不均,边缘不清。考虑双肺感染,建议治疗后复查
作者: zjzjr 时间: 2009-11-13 04:11
双肺感染性病变,抗炎后复查。
作者: 道哥 时间: 2009-11-13 17:50
双肺感染性病灶,建议抗炎后复查,必要时ct进一步检查
作者: huangyinshan 时间: 2009-11-14 01:03
应首先考虑:肺-肾病综合征
作者: sunbin 时间: 2009-11-14 04:31
双肺感染,治疗后复查。
作者: 蒂萨 时间: 2009-11-14 05:18
支持
作者: hguox 时间: 2009-11-14 05:48
双肺炎症可能性大,建议抗炎治疗后复查
作者: xianiu520 时间: 2009-11-15 02:40
双肺炎症可能性大.
作者: docgobt103035 时间: 2009-11-15 03:33
支持大家
作者: scdlc2008 时间: 2009-11-15 18:57
双肺炎症
作者: zy_zj 时间: 2009-11-15 22:17
发病前不少患者有呼吸道感染,以后有反复咯血,大多数出现在肾脏病变之前,长者数年(最长可达12年),短者数月,少数则在肾炎后发生。x线检查见两肺有弥漫性或结节状阴影,自肺门向周围扩散,肺尖及近膈肌处清晰,常一侧较重,有的无咯血史,但经痰含铁血黄素及胸片检查证实有出血。在咯血时肺弥散功能减退,出现低氧血症,贫血常见。
肾脏表现:每例均有蛋白尿、红细胞及管型,可有肉眼血尿。肾功能减退,然而进展速度不一,有的患者可在1~2日内呈现急性肾功能衰竭,大多数在数周至数月内发展至尿毒症,少数演变较慢,有稳定在原水平或缓解以后又复发者。
血清学检查:抗肾小球基膜抗体效价均增高而其他自身抗体均阴性,个别病例有免疫球蛋白增高,抗基膜抗体浓度不一定和肺、肾病变的严重度成比例。
以上是肺——肾病综合征的表现。综合分析吧
作者: lh_0016 时间: 2009-11-16 01:27
双肺感染性病灶,建议抗炎治疗后复查。
作者: jmsmxj6513129 时间: 2009-11-16 22:44
考虑急性肾炎引起肺部改变,感染,肺水肿
作者: kzc_zxm 时间: 2009-11-17 04:34
肺肾综合征?
作者: dyqct 时间: 2009-11-18 04:19
意见比较一致。
| 欢迎光临 医影在线 (http://bbs.radida.com/bbs/) |
Powered by Discuz! X3.2 |