医影在线

标题: X6540:女,咳嗽,咳痰五个月。现低热。 [打印本页]

作者: 吴医师    时间: 2009-11-11 19:49
标题: X6540:女,咳嗽,咳痰五个月。现低热。
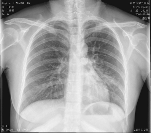
女,咳嗽,咳痰五个月。现低热。



[本贴已被 翁志蓬 于 2009-11-12 2:00:32 修改过]

作者: zsl6918    时间: 2009-11-11 19:56
肺内感染,建议ct检查
作者: ql    时间: 2009-11-11 20:06
tb
作者: xiaoyongxia    时间: 2009-11-11 20:11
左下肺密度增高模糊,多考虑肺炎,tb不除外,建议ct..
作者: zxl51642    时间: 2009-11-11 20:14
标题: 回复:女,咳嗽,咳痰五个月。现低热。
以下是引用xiaoyongxia在2009-11-11 12:11:00的发言:[br]左下肺密度增高模糊,多考虑肺炎,tb不除外,建议ct.. [br]

作者: dengkai    时间: 2009-11-11 21:19
左下肺密度增高模糊,多考虑肺炎,内膜tb不除外,建议痰检,支气管镜检及ct
作者: wangaiying11    时间: 2009-11-11 21:23
左下肺肺炎,不除外tb,建议查痰
作者: zhanggenliang    时间: 2009-11-11 22:22
标题: 回复:女,咳嗽,咳痰五个月。现低热。
以下是引用dengkai在2009-11-11 13:19:00的发言:[br]左下肺密度增高模糊,多考虑肺炎,内膜tb不除外,建议痰检,支气管镜检及ct

作者: hfr    时间: 2009-11-11 23:55
左下肺慢性肺炎。治疗后短期随访或痰检除外tb
作者: LIAOQIANG    时间: 2009-11-12 00:16
左肺下野感染(结核可能性大)。
作者: 康鹏    时间: 2009-11-12 00:29
左下肺感染,建议抗感染2周后复查。
必要时ct
作者: xshq371    时间: 2009-11-12 00:36
跟据病史左下多考虑结核,建议ct.
作者: 黑白光影    时间: 2009-11-12 03:20
不知治疗情况如何?
感染性病变,结核不排除。
作者: 拾荒者    时间: 2009-11-12 03:49
左肺中下野沿纹理示片絮状模糊阴影,结合临床考虑感染性改变,结核不除外,建议结合实验室检查。
作者: ydx_74    时间: 2009-11-12 04:46
跟据病史左下多考虑结核
作者: weixiaoxiaoxiao    时间: 2009-11-12 04:52
考虑左下肺炎症
作者: 张同涛    时间: 2009-11-12 05:12
左下肺炎症
作者: jinguoji    时间: 2009-11-12 07:20
左下肺炎,建议抗炎后复查。
作者: 胡宇    时间: 2009-11-12 07:24
左下肺密度增高模糊,多考虑肺炎,tb不除外,建议ct..
作者: 影像新手    时间: 2009-11-12 07:57
左下肺感染
作者: ZHANGZHONGSHOU    时间: 2009-11-12 15:38
支气管扩张并感染可能性大,肺结核待排,建议进一步检查
作者: 眼睛    时间: 2009-11-12 19:23
左肺下感染
作者: zjzjr    时间: 2009-11-12 20:34
左下肺密度增高模糊,多考虑肺炎,tb不除外,建议ct..
作者: 吴医师    时间: 2009-11-14 06:06
痰检找到抗酸杆菌。临床诊断结核。谢谢大家。
作者: shibing    时间: 2014-10-17 08:00
感染




欢迎光临 医影在线 (http://bbs.radida.com/bbs/) Powered by Discuz! X3.2