医影在线

标题: CT23079:F,18.颈部包块3年。 [打印本页]

作者: ydx_74    时间: 2009-11-11 23:10
标题: CT23079:F,18.颈部包块3年。
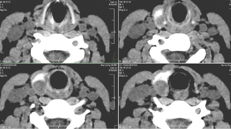
ct:双侧多发性甲状腺占位,考虑多发性甲状腺腺瘤伴部分腺瘤内出血可能大。










[本贴已被 翁志蓬 于 2009-11-11 22:57:22 修改过]

作者: lirenxiong    时间: 2009-11-11 23:49
内结节有强化表现!出血结合平扫ct值有无变化!
作者: zxl51642    时间: 2009-11-11 23:52
结节性甲状腺肿并囊变。
作者: 同    时间: 2009-11-12 00:06
结节性甲状腺腺肿伴囊变。
作者: duguo    时间: 2009-11-12 00:45
标题: 回复:f,18.颈部包块3年。
以下是引用同在2009-11-11 16:06:00的发言:[br]结节性甲状腺腺肿伴囊变。

作者: 卜一    时间: 2009-11-12 01:08
结节性甲状腺肿并囊变。
作者: zylcq608    时间: 2009-11-12 02:31
结节性甲状腺肿并囊变。
作者: zsl6918    时间: 2009-11-12 04:47
符合结节性甲状腺肿
作者: 吴医师    时间: 2009-11-12 07:16
结节性甲状腺肿并囊变。
作者: zjzjr    时间: 2009-11-12 17:52
符合结节性甲状腺肿
作者: 黑白光影    时间: 2009-11-13 00:56
支持大家。
作者: dr.yang    时间: 2013-3-29 18:10
结节性甲状腺肿并囊变。




欢迎光临 医影在线 (http://bbs.radida.com/bbs/) Powered by Discuz! X3.2