医影在线

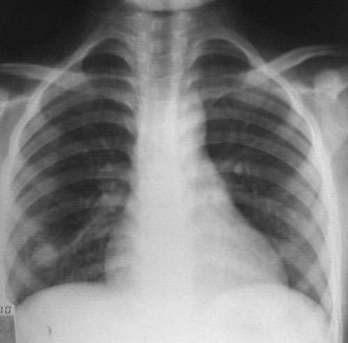
标题: PED2980:男、12岁、轻咳伴发热。 [打印本页]

作者: ganeng.2008    时间: 2009-11-13 06:20
标题: PED2980:男、12岁、轻咳伴发热。



[本贴已被 jiajie 于 2009-11-13 6:58:45 修改过]

作者: zsl6918    时间: 2009-11-13 06:26
有结节须ct明确性质及数目
作者: wanchuanyi1982    时间: 2009-11-13 06:44
首先考虑支原体肺炎,建议治疗复查
作者: 地球上的    时间: 2009-11-13 06:57
结合临床应首先考虑炎症性病变,同意以上各位楼主意见。
作者: yuhongjun    时间: 2009-11-13 14:08
不好说啊 不出外结核
作者: zxl51642    时间: 2009-11-13 17:46
球形病灶,临床有感染症状,血源性肺脓肿不排除。tb及支原体肺炎不会出现此征象。
作者: 道哥    时间: 2009-11-13 17:47
右肺结节灶,左肺好像也有,建议ct明确。
作者: huangyinshan    时间: 2009-11-14 01:04
球形病灶,临床有感染症状,血源性肺脓肿不排除。肺血管畸形要排除
作者: 同    时间: 2009-11-14 02:44
标题: 回复:ped2980:男、12岁、轻咳伴发热。
以下是引用道哥在2009-11-13 9:47:00的发言:[br]右肺结节灶,左肺好像也有,建议ct明确。

作者: 拾荒者    时间: 2009-11-14 04:03
标题: 回复:ped2980:男、12岁、轻咳伴发热。
以下是引用zsl6918在2009-11-12 22:26:00的发言:[br]有结节须ct明确性质及数目

作者: sunbin    时间: 2009-11-14 04:35
支持6楼意见。
作者: 蒂萨    时间: 2009-11-14 05:15
ct明确性质及数目
作者: docgobt103035    时间: 2009-11-15 05:06
有结节须ct明确性质及数目
作者: scdlc2008    时间: 2009-11-15 18:55
ct
作者: zy_zj    时间: 2009-11-15 22:22
这样的结节,没有什么特异的征象。不做ct,就是猜。可能性很多,但都不准确。
作者: zjzjr    时间: 2009-11-16 20:34
首先考虑炎症,建议治疗后复查.
作者: jmsmxj6513129    时间: 2009-11-16 22:42
右肺下野圆形结节,考虑血源性肺脓肿,肺炎不除外
作者: dyqct    时间: 2009-11-18 04:05
标题: 回复:ped2980:男、12岁、轻咳伴发热。
以下是引用zjzjr在2009-11-16 12:34:00的发言:[br]首先考虑炎症,建议治疗后复查.

还是要做个ct。




欢迎光临 医影在线 (http://bbs.radida.com/bbs/) Powered by Discuz! X3.2