医影在线

标题: MRI2584:静脉窦血栓?请会诊! [打印本页]

作者: 心愿    时间: 2009-11-20 00:44
标题: MRI2584:静脉窦血栓?请会诊!
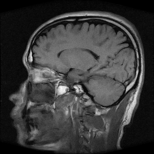
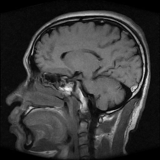
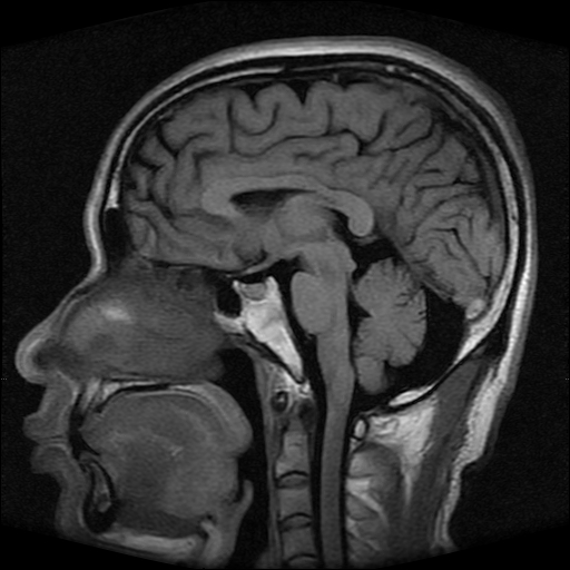
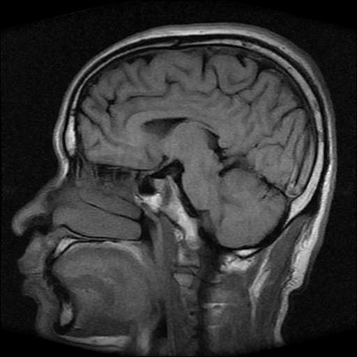
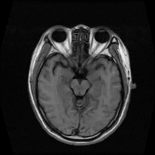
男性,39岁。头晕,视物模糊2月余。血压142/85。矢状窦内高信号有问题吗?














[本贴已被 jiajie 于 2009-11-19 19:45:01 修改过]

作者: wangwenzhang715    时间: 2009-11-20 03:32
正常脂肪信号影。
作者: chengzyzw    时间: 2009-11-20 17:04
正常,若不放心,可以mrv证实
作者: 三博    时间: 2009-11-20 18:11
支持chengzyzw
作者: qiuleiyu    时间: 2009-11-20 22:40
图片不全请提供。
作者: 贝壳汗脚    时间: 2009-11-21 00:39
看着正常
作者: hqr123    时间: 2009-11-21 00:50
正常信号影,很多病人有类似情况
作者: wenjun5463    时间: 2009-11-21 04:59
正常mri表现!
作者: 黑白人生    时间: 2009-11-21 07:13
这种病例以前也见过, 但平常的阅片过程比较少注意,而且一些资料上介绍或者图片也比较少,我觉得此病例应该考虑静脉窦血栓。
起码近来我注意的正常人静脉窦内部不是如此信号。
希望有资料的战友发一些静脉窦血栓的详细诊断过程出来
作者: 37度    时间: 2010-1-6 21:03
标题: 回复:mri2584:静脉窦血栓?请会诊!
以下是引用hqr123在2009-11-20 16:50:00的发言:[br]正常信号影,很多病人有类似情况

作者: wgfi1234    时间: 2010-4-11 01:02
t1wi像可以出现缓慢流速血管呈高信号,应加t2wi及mrv




欢迎光临 医影在线 (http://bbs.radida.com/bbs/) Powered by Discuz! X3.2