医影在线

标题: CT23211:张男,典型病例。 [打印本页]

作者: liuyue    时间: 2009-11-20 21:32
标题: CT23211:张男,典型病例。
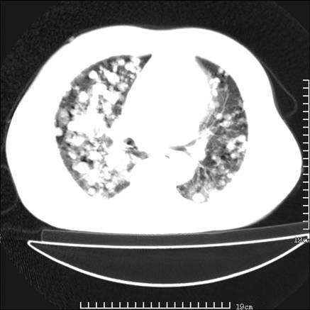
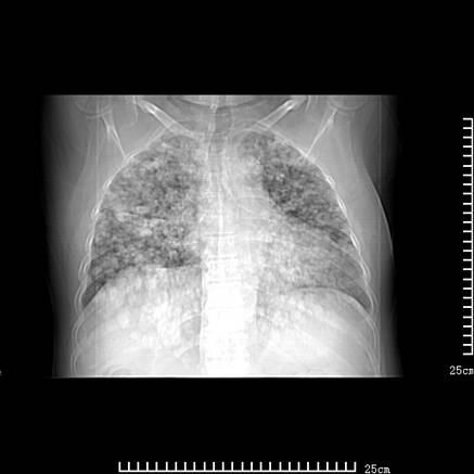
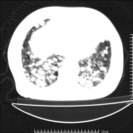
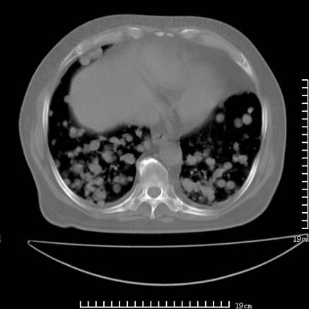
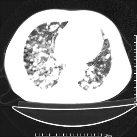
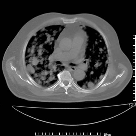
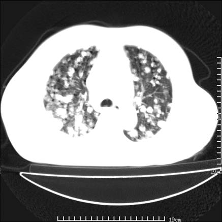
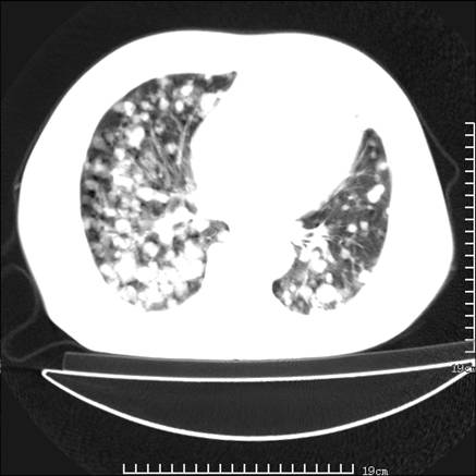
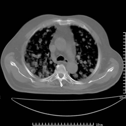
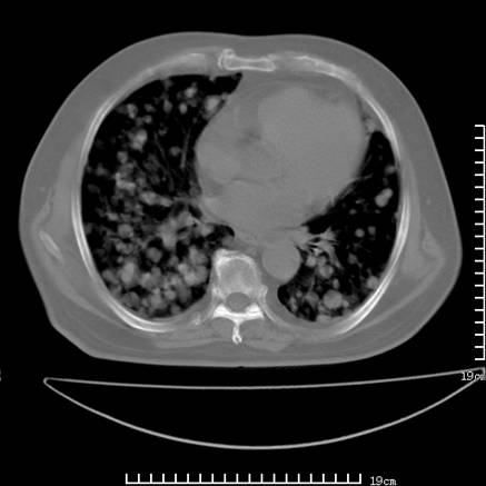
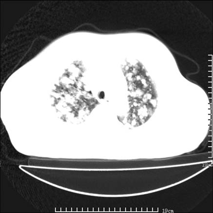
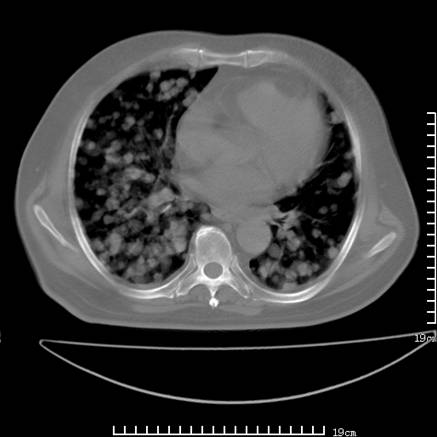
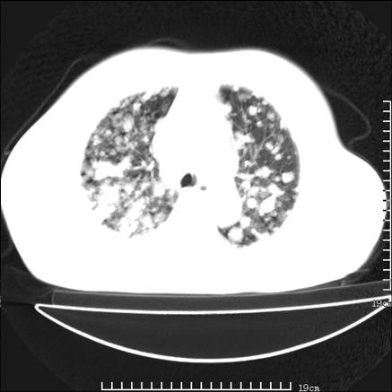
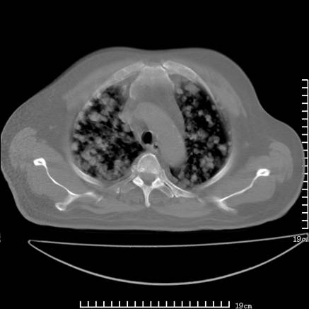
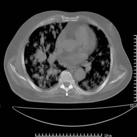
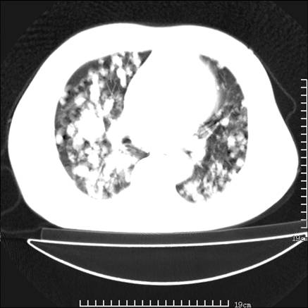
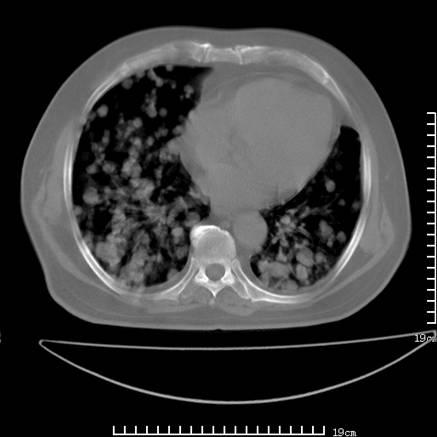
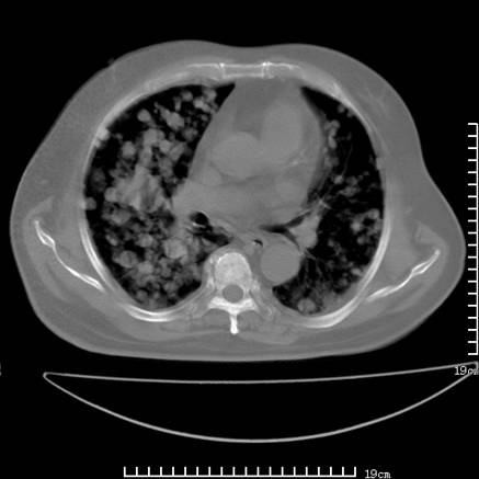
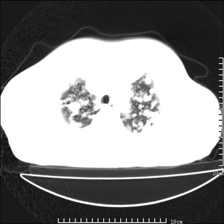
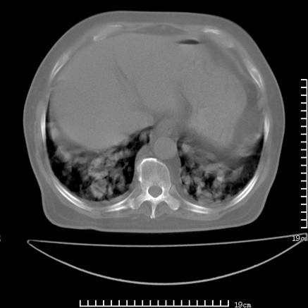
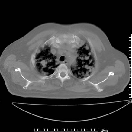
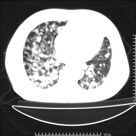
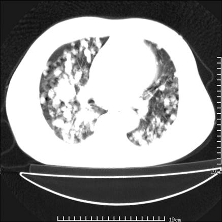
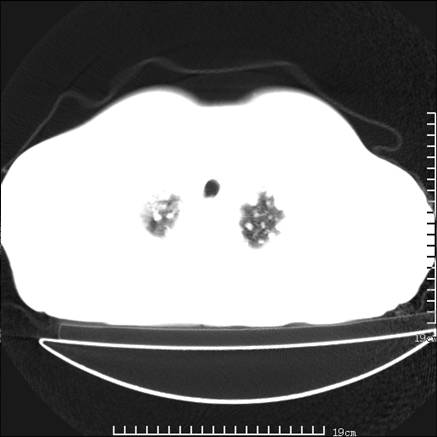
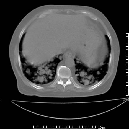
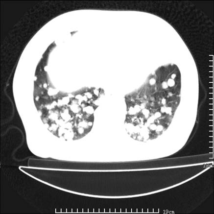
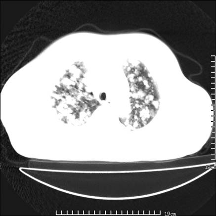
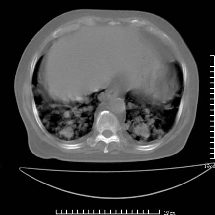
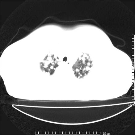
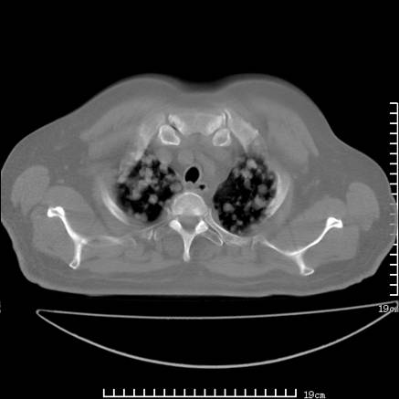
张男,75岁,干咳半年余,小便不利二年,b超检查前列腺增大,未见明显肿块;前列腺癌血生化检查多项指标明显增高。















































[本贴已被 jiajie 于 2009-11-20 18:48:07 修改过]

作者: zxl51642    时间: 2009-11-20 22:31
双肺内多发转移瘤,纵膈淋巴结转移。来源前列腺?建议盆腔mri进一步检查。
作者: qiuleiyu    时间: 2009-11-20 22:53
支持;典型转移瘤。
作者: zjzjr    时间: 2009-11-20 23:51
支持;典型转移瘤
作者: zsl6918    时间: 2009-11-21 02:53
双肺转移满了。
作者: mlyzhw    时间: 2009-11-21 03:05
支持;典型转移瘤
作者: 听海观潮20    时间: 2009-11-21 03:09
两肺广泛转移瘤。
作者: 黑白光影    时间: 2009-11-21 05:27
典型转移瘤。
作者: shuiyuan    时间: 2009-11-21 05:33
双肺转移瘤
作者: yuhongjun    时间: 2009-11-21 14:46
支持;典型转移瘤。




欢迎光临 医影在线 (http://bbs.radida.com/bbs/) Powered by Discuz! X3.2