医影在线

标题: CT23212:女,58岁,咳嗽三个月余 [打印本页]

作者: liuyue    时间: 2009-11-20 21:44
标题: CT23212:女,58岁,咳嗽三个月余
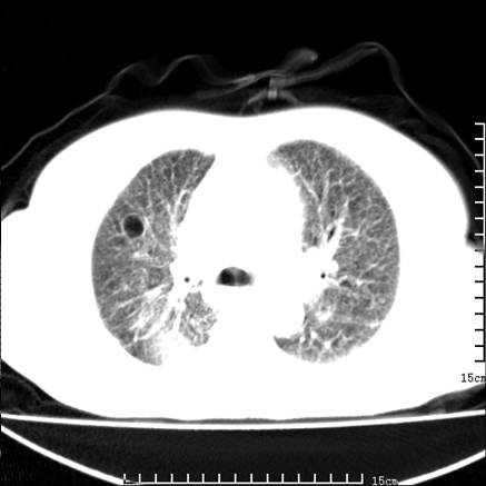
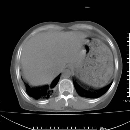
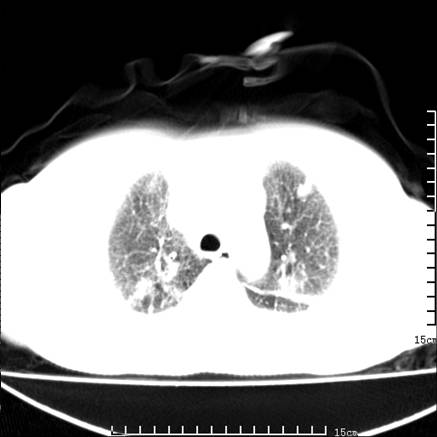
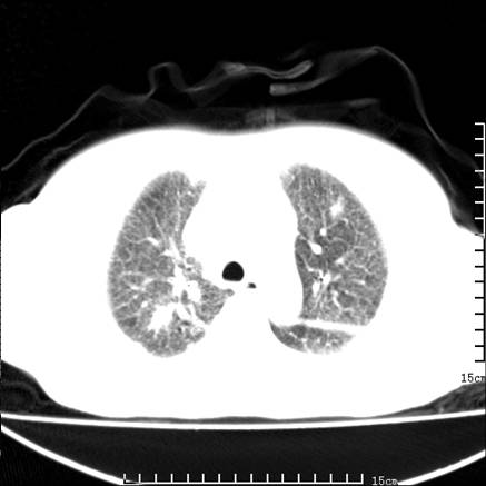
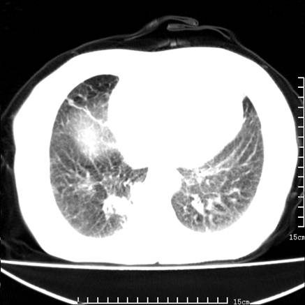
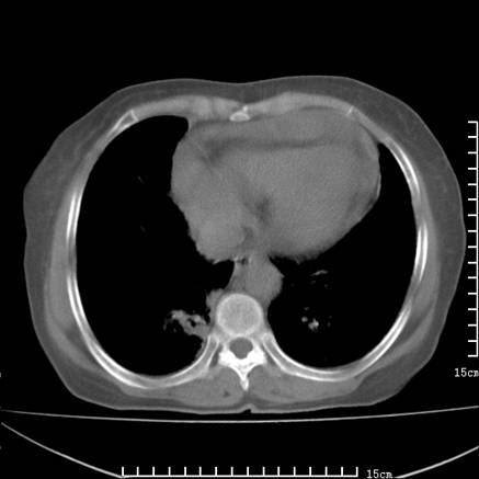
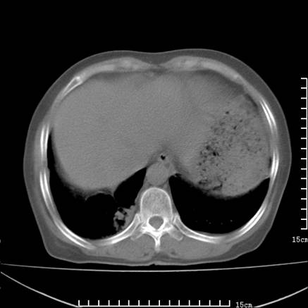
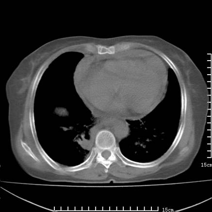
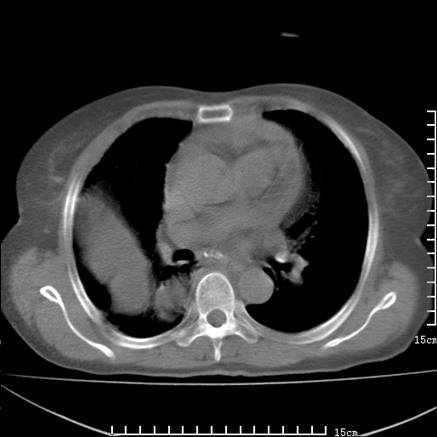
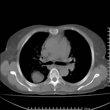
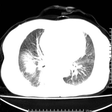
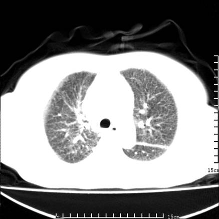
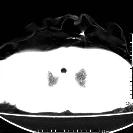
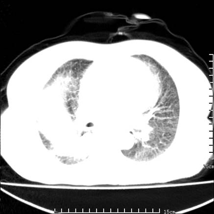
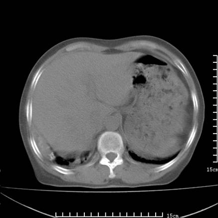
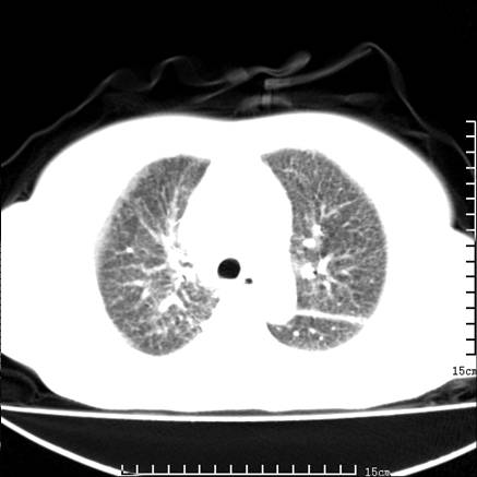
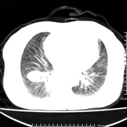
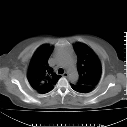
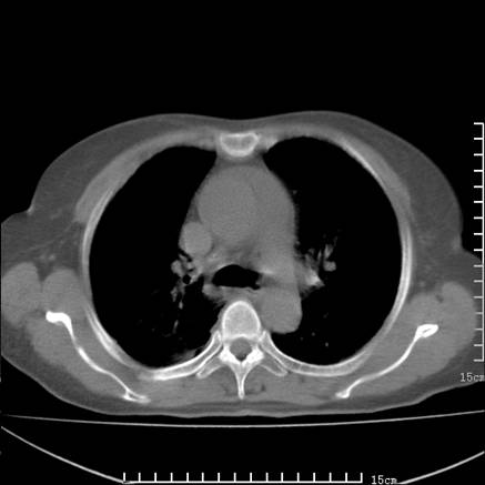
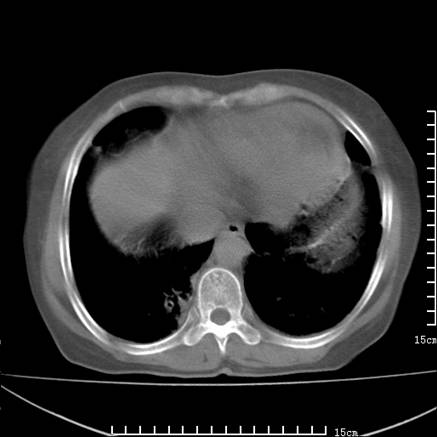
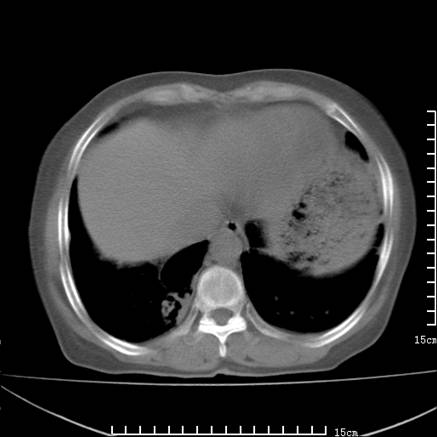
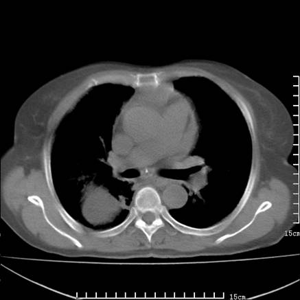
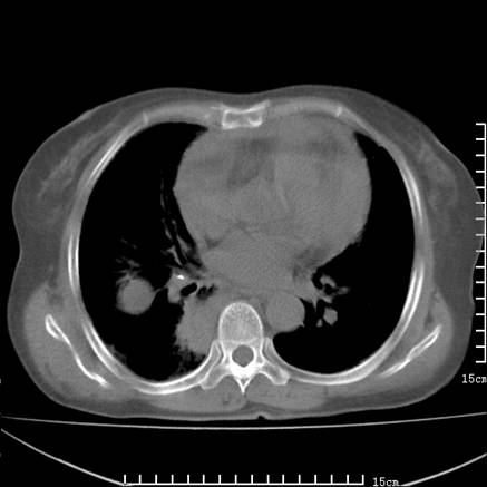
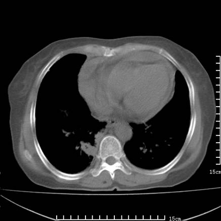
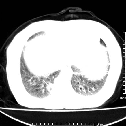
女,王某,58岁,咳嗽三个月余,基层医院二个月前诊为肺结核,用抗结核药二个月无明显疗效。

















































[本贴已被 jiajie 于 2009-11-20 18:49:47 修改过]

作者: zjzjr    时间: 2009-11-21 00:51
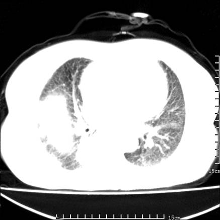
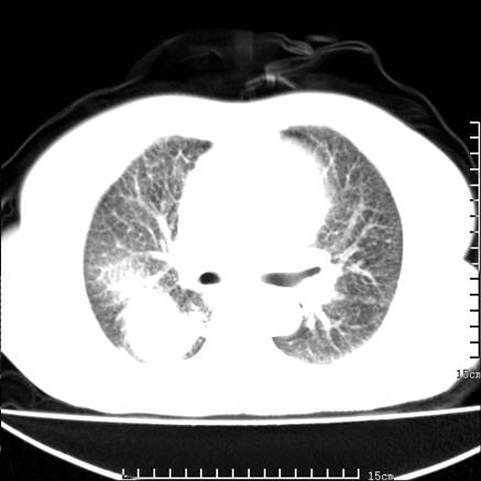
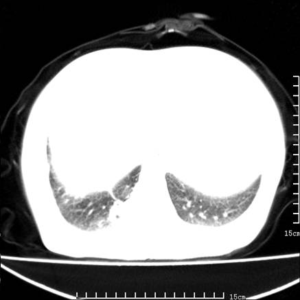
心包积液致肺瘀血.右侧周围型肺癌伴肺内转移,中间裂积液,叶间胸膜肥厚.右上肺大泡,右侧胸膜肥厚.
作者: zxl51642    时间: 2009-11-21 00:59
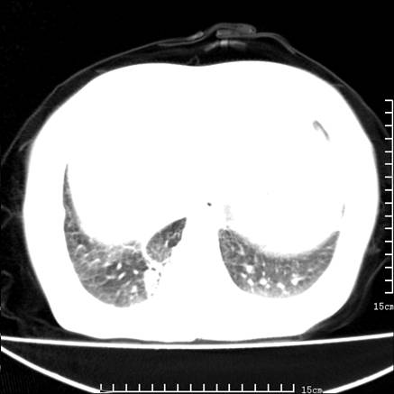
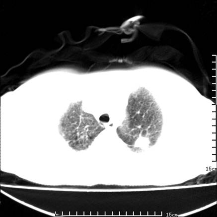
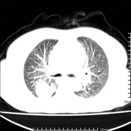
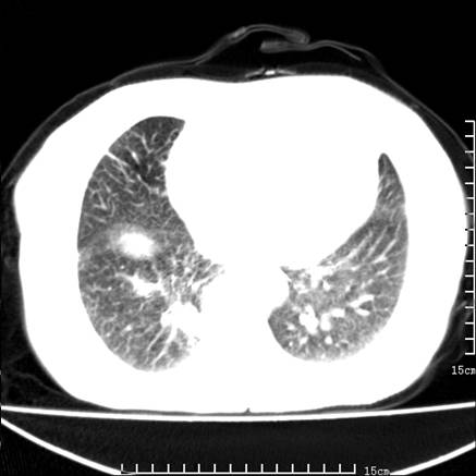
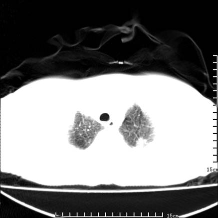
双肺继发型tb,心功能不全并肺淤血、心包、双侧叶间裂积液,肺大泡,右下胸膜肥厚钙化。
作者: zsl6918    时间: 2009-11-21 02:47
肺窗真难看,建议重做!
作者: 黑白光影    时间: 2009-11-21 05:38
支持  双肺继发型tb,心功能不全并肺淤血、心包、双侧叶间裂积液,肺大泡,右下胸膜肥厚钙化。
作者: yuhongjun    时间: 2009-11-21 14:45
支持  双肺继发型tb,心功能不全并肺淤血、心包、双侧叶间裂积液,肺大泡,右下胸膜肥厚钙化。




欢迎光临 医影在线 (http://bbs.radida.com/bbs/) Powered by Discuz! X3.2