医影在线

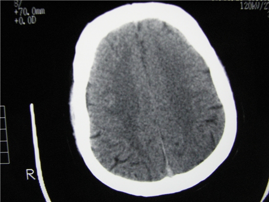
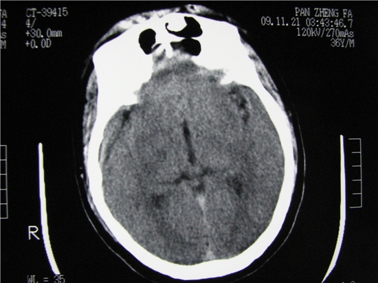
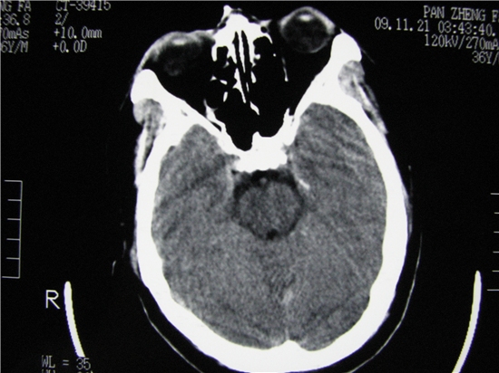
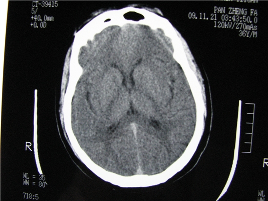
标题: CT23231:男 32岁 车祸伤,鼻腔内出血明显。 [打印本页]

作者: 黑白总动员    时间: 2009-11-21 13:03
标题: CT23231:男 32岁 车祸伤,鼻腔内出血明显。






















[本贴已被 翁志蓬 于 2009-11-22 1:48:40 修改过]

作者: yuhongjun    时间: 2009-11-21 14:07
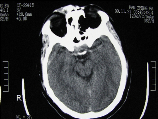
额窦里是什么,骨窗怎么不清晰,是不窗宽窗位的事。
作者: 卜一    时间: 2009-11-21 14:14
不排除鼻骨骨折!
作者: zsl6918    时间: 2009-11-21 15:12
软组织及额窦内异物
作者: 张辉9999    时间: 2009-11-21 15:40
不排除鼻骨骨折!额窦骨瘤?
作者: 风、自由    时间: 2009-11-21 16:55
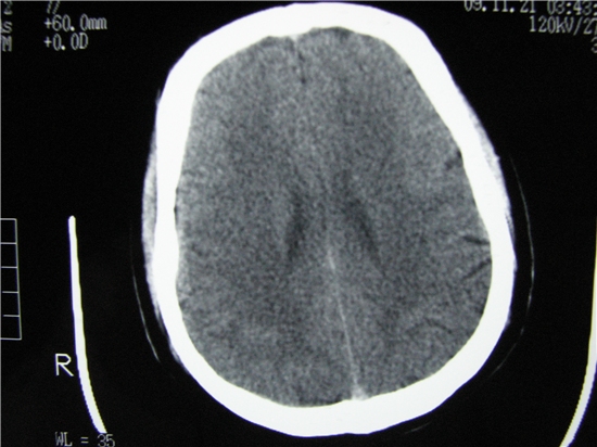
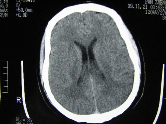
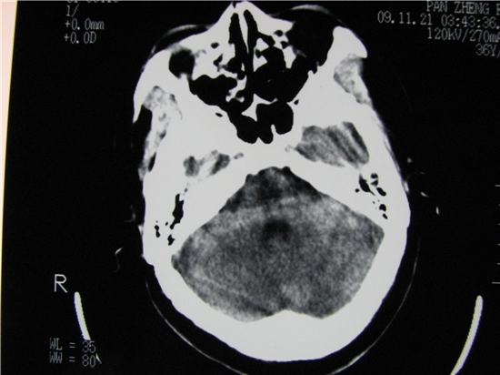
额窦内及额部软组织内可见多发游离类骨质密度影,考虑额骨骨折可能。
鼻骨层面较少,无法判断鼻骨。
建议薄扫一下。
作者: zhengfaming    时间: 2009-11-21 17:04
额窦内应该是正常的,和体位有关系,当你用三位重建就知道了
作者: zjzjr    时间: 2009-11-21 17:32
额窦致密骨瘤,前额部及右顶部头皮损伤伴异物存留
作者: zxl51642    时间: 2009-11-21 17:32
左侧额骨、鼻骨骨折,头面部软组织肿胀。
作者: 影象小辈    时间: 2009-11-21 18:05
左侧额骨、鼻骨骨折,额窦内的应该是游离骨块
作者: 蒂萨    时间: 2009-11-21 19:03
额窦致密骨瘤,




欢迎光临 医影在线 (http://bbs.radida.com/bbs/) Powered by Discuz! X3.2