医影在线
标题: X6591:胸部、请多多指教。 [打印本页]
作者: 快乐男生 时间: 2009-11-23 02:32
标题: X6591:胸部、请多多指教。
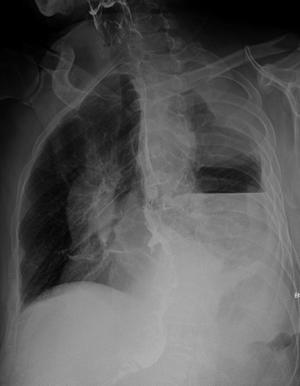
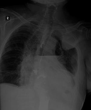
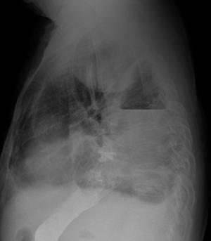
患者、男,66y,食道贲门ca术后13多天,不规则发热,来科照片:



[本贴已被 jiajie 于 2009-11-22 18:41:21 修改过]
作者: dyqct 时间: 2009-11-23 04:11
考虑:1、食道胃胸腔吻合术后改变;
2、左侧液气胸;
3、图像欠清,右侧难以观察。
作者: jinguoji 时间: 2009-11-23 05:09
标题: 回复:x6591:胸部、请多多指教。
以下是引用dyqct在2009-11-22 20:11:00的发言:[br]考虑:1、食道胃胸腔吻合术后改变;[br] 2、左侧液气胸;[br] 3、图像欠清,右侧难以观察。
作者: 黑白光影 时间: 2009-11-23 05:15
标题: 回复:x6591:胸部、请多多指教。
以下是引用dyqct在2009-11-22 20:11:00的发言:[br]考虑:1、食道胃胸腔吻合术后改变;[br] 2、左侧液气胸;[br] 3、图像欠清,右侧难以观察。
作者: yuhongjun 时间: 2009-11-23 13:48
标题: 回复:x6591:胸部、请多多指教。
以下是引用dyqct在2009-11-22 20:11:00的发言:[br]考虑:1、食道胃胸腔吻合术后改变;[br] 2、左侧液气胸;[br] 3、图像欠清,右侧难以观察。
作者: 小初学者 时间: 2009-11-23 14:43
食管纵隔漏
作者: 吴教授 时间: 2009-11-23 16:19
透视看到的不太清楚,胸腔胃不能除外。和临床联系术式。
作者: 快乐男生 时间: 2009-11-23 17:00
考不考虑左侧下肺背段脓肿?,那个气液平好像在肺内。
另外左侧肺尖区高密度影。是胸膜增厚吗?
请专家们指点。
作者: zxl51642 时间: 2009-11-23 18:45
以下是引用dyqct在2009-11-22 20:11:00的发言:
考虑:1、食道胃胸腔吻合术后改变;
2、左侧液气胸;
3、图像欠清,右侧难以观察。建议ct
作者: 医盲 时间: 2009-11-23 19:45
以下是引用dyqct在2009-11-22 20:11:00的发言:
考虑:1、食道胃胸腔吻合术后改变;
2、左侧液气胸;
3、图像欠清,右侧难以观察。建议ct
作者: zjzjr 时间: 2009-11-23 20:35
考虑:1、食道胃胸腔吻合术后改变;
2、左侧液气胸;
3、图像欠清,右侧难以观察。
作者: 龙潭虎穴 时间: 2009-11-24 00:22
学习了
作者: ydx_74 时间: 2009-11-24 00:58
食管纵隔漏
作者: hexue 时间: 2009-11-24 03:54
1、食道胃胸腔吻合术后改变;
2、左侧液气胸;
作者: zhanggenliang 时间: 2009-11-24 04:30
标题: 回复:x6591:胸部、请多多指教。
以下是引用dyqct在2009-11-22 20:11:00的发言:[br]考虑:1、食道胃胸腔吻合术后改变;[br] 2、左侧液气胸;[br] 3、图像欠清,右侧难以观察。
作者: yuanshiyi 时间: 2009-11-24 04:54
1、胸腔胃,术后改变。液平面为胃泡影。
2、左侧胸膜增厚。
作者: lishaocong81964 时间: 2009-11-24 05:09
以下是引用dyqct在2009-11-22 20:11:00的发言:
考虑:1、食道胃胸腔吻合术后改变;
2、左侧液气胸;
3、图像欠清,右侧难以观察。建议ct
作者: 拾荒者 时间: 2009-11-24 05:16
标题: 回复:x6591:胸部、请多多指教。
以下是引用吴教授在2009-11-23 8:19:00的发言:[br]透视看到的不太清楚,胸腔胃不能除外。和临床联系术式。
作者: 吴医师 时间: 2009-11-24 18:52
标题: 回复:x6591:胸部、请多多指教。
以下是引用吴教授在2009-11-23 8:19:00的发言:[br]透视看到的不太清楚,胸腔胃不能除外。和临床联系术式。
作者: LIAOQIANG 时间: 2009-11-24 22:39
左侧液气胸?
作者: 华英雄 时间: 2009-11-25 02:42
支持——食管纵隔漏。
作者: masterle 时间: 2009-11-25 04:09
同意以上观点,建议ct检查
作者: zhangxiangjun 时间: 2009-11-25 06:57
以下是引用dyqct在2009-11-22 20:11:00的发言:
考虑:1、食道胃胸腔吻合术后改变;
2、左侧液气胸;
3、图像欠清,右侧难以观察。
作者: shibing 时间: 2009-11-25 18:24
考虑:1、食道胃胸腔吻合术后改变;
2、左侧液气胸;
3、图像欠清,右侧难以观察。
作者: 快乐男生 时间: 2009-11-25 19:19
1、观察钡剂未流入气液平面内,考虑左后胸腔内包裹性气液平面改变
2、左侧胸壁包裹性胸腔积 液 结合临床病程行ct检查,
这是北京专家的会诊,(二炮总医院远程会诊结论)
作者: sunbin 时间: 2009-11-25 23:11
左侧液气胸,局部包裹可能。
作者: wsmg-自在 时间: 2009-11-26 05:07
考虑:1、食道胃胸腔吻合术后改变;
2、左侧液气胸
作者: 帅河马 时间: 2009-11-26 20:55
学习了
作者: shibing 时间: 2014-11-2 09:31
考虑:1、食道胃胸腔吻合术后改变;
2、左侧液气胸;
3、图像欠清,右侧难以观察。
| 欢迎光临 医影在线 (http://bbs.radida.com/bbs/) |
Powered by Discuz! X3.2 |