医影在线
标题: PED3005:女13岁 4月前有臀部肌肉注射史髂骨少见 [打印本页]
作者: 13081830109 时间: 2009-11-25 21:23
标题: PED3005:女13岁 4月前有臀部肌肉注射史髂骨少见
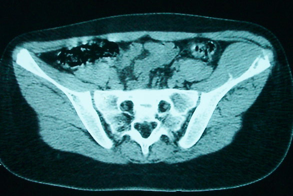
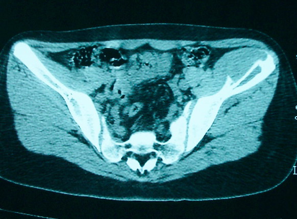
女 13岁 4月前有臀部肌肉注射史 3月前发热 最高体温38.5 2月前出现左髂骨疼痛 不剧烈能忍受 发热时高时低 按感冒治疗无好转 近日左髂骨疼痛加重 一星期前wbc 12.2 今日wbc9.5














[本贴已被 jiajie 于 2009-11-25 18:46:11 修改过]
作者: 深泽交通 时间: 2009-11-25 22:09
考虑骨肉瘤
作者: sunbin 时间: 2009-11-25 22:29
左侧髂骨溶骨性骨质破坏,骨皮质侵蚀,灶周可见软组织肿块,支持考虑骨肉瘤可能性大。
作者: 水过无痕 时间: 2009-11-25 22:36
支持2楼楼主所述,考虑恶性占位性病变,骨肉瘤可能性大。
作者: 北方的狼 时间: 2009-11-25 22:41
软组织内高密度是什么?
作者: zxl51642 时间: 2009-11-25 22:52
髓腔起源,弥漫性溶骨性骨质破坏并软组织肿块,膨胀不明显,无显著钙化及瘤骨,有骨膜反应,结合年龄考虑恶性,尤文氏肉瘤可能性大。
鉴别:尤文氏肉瘤>毛细血管扩张型骨肉瘤>骨原发淋巴瘤>朗格罕氏细胞增生症>软黏纤>慢性骨髓炎>tb。
作者: zjzjr 时间: 2009-11-25 23:12
左侧髂骨溶骨性骨质破坏,骨皮质侵蚀,灶周可见软组织肿块,支持考虑骨肉瘤可能性大。
作者: 小林秋风 时间: 2009-11-26 00:25
尤文氏肉瘤
作者: 康鹏 时间: 2009-11-26 00:32
骨恶性病变,
作者: sdzyy 时间: 2009-11-26 01:20
髓腔起源,弥漫性溶骨性骨质破坏并软组织肿块,膨胀不明显,无显著钙化及瘤骨,有骨膜反应,结合年龄考虑恶性,尤文氏肉瘤可能性大。
支持!
作者: zsl6918 时间: 2009-11-26 01:24
尤文氏肉瘤可能性大
作者: jiangguowu 时间: 2009-11-26 01:32
支持恶性骨肿瘤
作者: 黄毛小子 时间: 2009-11-26 02:22
支持恶性骨肿瘤
作者: 蒂萨 时间: 2009-11-26 03:56
左侧髂骨溶骨性骨质破坏,骨皮质侵蚀,灶周可见软组织肿块
作者: dyqct 时间: 2009-11-26 07:12
标题: 回复:ped3005:女13岁 4月前有臀部肌肉注射史髂骨少见
以下是引用zjzjr在2009-11-25 15:12:00的发言:[br]左侧髂骨溶骨性骨质破坏,骨皮质侵蚀,灶周可见软组织肿块,支持考虑骨肉瘤可能性大。
支持!
作者: wangwenzhang715 时间: 2009-11-26 19:01
支持髂骨低毒性骨髓炎或骨结核:骨质破坏,髂腰肌明显肿胀,非长管状骨部位。
作者: 37度 时间: 2009-11-27 20:33
左侧髂骨溶骨性骨质破坏,骨皮质侵蚀,灶周可见软组织肿块,支持考虑骨肉瘤可能性大。
作者: 拾荒者 时间: 2009-11-28 05:55
左侧髂骨溶骨性骨质破坏,骨皮质侵蚀,灶周可见骨膜反应及软组织肿块,支持考虑骨肉瘤可能性大。
作者: huangyinshan 时间: 2009-11-30 00:29
左侧髂骨溶骨性骨质破坏,骨皮质侵蚀,灶周可见软组织肿块,支持考虑骨肉瘤可能性大。
作者: scdlc2008 时间: 2009-11-30 01:28
骨肉瘤可能性大
作者: 胡宇 时间: 2009-12-2 07:11
支持髂骨低毒性骨髓炎或骨结核:骨质破坏,髂腰肌明显肿胀,非长管状骨部位。
作者: dineaf 时间: 2010-1-22 19:49
骨质破坏+增生+软组织肿胀提示骨髓炎
| 欢迎光临 医影在线 (http://bbs.radida.com/bbs/) |
Powered by Discuz! X3.2 |