医影在线
标题: X6619:先传胸片一张,男,58岁,胸闷2年余。 [打印本页]
作者: 天地睹狭 时间: 2009-11-30 00:09
标题: X6619:先传胸片一张,男,58岁,胸闷2年余。
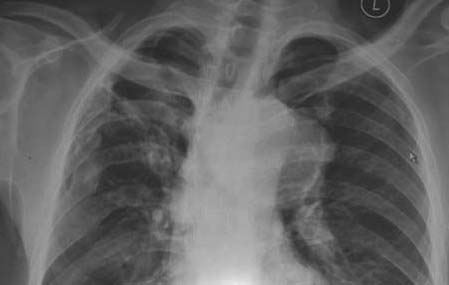
先传胸片一张,男,58岁,胸闷2年余。
[本贴已被 jiajie 于 2009-11-29 18:55:49 修改过]
作者: 天地睹狭 时间: 2009-11-30 00:11
sorry,胸片下些份因弄脏了切了,病变主要在上纵隔。
作者: dr.yang 时间: 2009-11-30 01:27
主动脉瘤?ct吧
右侧陈旧肋骨骨折骨愈合。
右上肺陈旧病变。
作者: zjgdzq 时间: 2009-11-30 02:22
纵隔占位
作者: lixiwang 时间: 2009-11-30 02:49
右中纵膈占位,肋骨骨折不言而语,ct检查。
作者: 拾荒者 时间: 2009-11-30 03:36
右侧多发陈旧肋骨骨折,主动脉球区软组织影,建议结合ct检查。
作者: zhanggenliang 时间: 2009-11-30 03:54
右侧多发陈旧性肋骨骨折。主动脉球软组织影。建议ct
作者: gaoyang8 时间: 2009-11-30 04:12
右侧多发陈旧性肋骨骨折,主动脉球软组织影,建议ct。
作者: 吴教授 时间: 2009-11-30 04:15
右上肺纤维化,肋骨骨折,主动脉弓大了,透视看看。别啥事都往ct那里,原来没ct病也看了。
作者: zxl51642 时间: 2009-11-30 04:46
右侧多发肋骨陈旧骨折,上纵膈占位,透光度较高,密度明显低于血管影,外缘“蛋壳样”钙化,皮样囊肿或囊性畸胎瘤?胸腺囊肿?上传ct吧!
作者: ganeng.2008 时间: 2009-11-30 06:21
气管受压变形,考虑纵隔占位。
作者: dyqct 时间: 2009-11-30 06:23
右侧多发陈旧肋骨骨折,主动脉球区软组织影,建议结合ct检查。支持!
作者: yuhongjun 时间: 2009-11-30 13:56
右侧多发陈旧肋骨骨折,主动脉球区软组织影,建议结合ct检查。支持!
作者: 拂晓 时间: 2009-11-30 18:16
标题: 回复:x6619:先传胸片一张,男,58岁,胸闷2年余。
以下是引用yuhongjun在2009-11-30 5:56:00的发言:[br]右侧多发陈旧肋骨骨折,主动脉球区软组织影,建议结合ct检查。支持! [br] [br]
作者: 吴医师 时间: 2009-11-30 18:29
右侧多发陈旧肋骨骨折,主动脉球区软组织影,建议结合ct检查。支持!
作者: LIAOQIANG 时间: 2009-11-30 22:50
主动脉球软组织影,主动脉瘤?建议ct。
作者: 谨言慎行 时间: 2009-11-30 23:44
中纵膈占位性病变-皮样囊肿?右侧多发肋骨骨折。
作者: zjzjr 时间: 2009-11-30 23:48
右侧多发陈旧肋骨骨折,主动脉球区软组织影,建议结合ct检查。支持!
作者: 江广1996 时间: 2009-12-1 02:40
右侧多发肋骨骨折已愈合,右上纵隔占位,侧位应在中纵隔,因为气管明显受压移位。结合外伤史,是否可考虑为假性动脉瘤,或是陈旧性纵隔血肿。降主动脉的边缘是清楚的,真性动脉瘤不太象,其形态也不对。年纪偏大,不考虑先天性疾病。
作者: fylzm 时间: 2009-12-1 04:23
应该给个侧位
作者: 黑白光影 时间: 2009-12-1 05:55
标题: 回复:x6619:先传胸片一张,男,58岁,胸闷2年余。
以下是引用zxl51642在2009-11-29 20:46:00的发言:[br]右侧多发肋骨陈旧骨折,上纵膈占位,透光度较高,密度明显低于血管影,外缘“蛋壳样”钙化,皮样囊肿或囊性畸胎瘤?胸腺囊肿?上传ct吧!
作者: jinguoji 时间: 2010-1-16 07:32
标题: 回复:x6619:先传胸片一张,男,58岁,胸闷2年余。
以下是引用拾荒者在2009-11-29 19:36:00的发言:[br]右侧多发陈旧肋骨骨折,主动脉球区软组织影,建议结合ct检查。
作者: xkncyyhyq 时间: 2010-1-16 15:05
没有ct。该怎么版、
作者: fylzm 时间: 2010-1-17 05:45
你为什么不给个侧位,就一个正位,只能猜!
作者: 西瓜999号 时间: 2010-1-18 02:17
右侧多发肋骨陈旧骨折,上纵膈占位,透光度较高,密度明显低于血管影,外缘“蛋壳样”钙化,皮样囊肿或囊性畸胎瘤?胸腺囊肿?上
作者: 战刀 时间: 2010-1-18 03:06
右侧多发陈旧肋骨骨折,主动脉球区软组织影,建议结合ct检查。
作者: Doctorluo 时间: 2010-1-18 03:25
主动脉瘤压迫气管-胸闷
| 欢迎光临 医影在线 (http://bbs.radida.com/bbs/) |
Powered by Discuz! X3.2 |