医影在线
标题: X6625:m78,胸疼月余,咯血3天, [打印本页]
作者: 当兵的 时间: 2009-11-30 19:45
标题: X6625:m78,胸疼月余,咯血3天,


[本贴已被 cefcmj 于 2009-11-30 16:33:08 修改过]
作者: zxl51642 时间: 2009-11-30 20:08
双下肺间质性感染,抗炎后复查,男78岁,必要时ct排除占位。
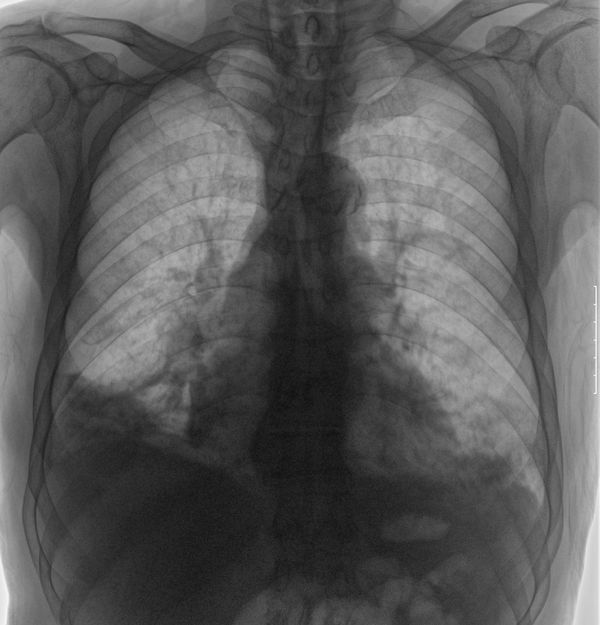
作者: 吴医师 时间: 2009-11-30 21:14
两下肺片状密度不均增高影,边缘不清,两侧膈面不清,右侧肋膈角消失。主动脉弧形钙化影。考虑两下肺感染性病变。抗炎后复查或ct检查。
作者: LIAOQIANG 时间: 2009-11-30 22:10
考虑双下肺感染,不除外肺栓塞。建议必要时ct检查。
作者: masterle 时间: 2009-11-30 22:22
两下肺感染;右侧胸腔积液,主动脉硬化;可疑肺血增多;建议ct检查了解详细情况
作者: dyqct 时间: 2009-11-30 22:28
标题: 回复:m78,胸疼月余,咯血3天,
以下是引用吴医师在2009-11-30 13:14:00的发言:[br]两下肺片状密度不均增高影,边缘不清,两侧膈面不清,右侧肋膈角消失。主动脉弧形钙化影。考虑两下肺感染性病变。抗炎后复查或ct检查。
支持!
作者: 谨言慎行 时间: 2009-11-30 23:55
标题: 回复:m78,胸疼月余,咯血3天,
以下是引用吴医师在2009-11-30 13:14:00的发言:[br]两下肺片状密度不均增高影,边缘不清,两侧膈面不清,右侧肋膈角消失。主动脉弧形钙化影。考虑两下肺感染性病变。抗炎后复查或ct检查。
作者: zjzjr 时间: 2009-12-1 00:00
考虑两下肺感染性病变。抗炎后复查或ct检查。
作者: 吴教授 时间: 2009-12-1 00:10
不知心肾功能怎样,肺水肿不能除外。
作者: 37度 时间: 2009-12-1 00:17
两下肺片状密度不均增高影,边缘不清,两侧膈面不清,右侧肋膈角消失。主动脉弧形钙化影。考虑两下肺感染性病变。抗炎后复查或ct检查。
作者: 拾荒者 时间: 2009-12-1 03:27
标题: 回复:x6625:m78,胸疼月余,咯血3天,
以下是引用吴医师在2009-11-30 13:14:00的发言:[br]两下肺片状密度不均增高影,边缘不清,两侧膈面不清,右侧肋膈角消失。主动脉弧形钙化影。考虑两下肺感染性病变。抗炎后复查或ct检查。
支持!
作者: 513ytb 时间: 2009-12-1 03:53
双下肺间质性感染,抗炎后复查,男78岁,必要时ct排除占位.
作者: wsmg-自在 时间: 2009-12-1 04:47
考虑两下肺感染性病变,。抗炎后复查或ct检查,病史肺心病?
作者: 黑白光影 时间: 2009-12-1 05:33
支持大家。
作者: zhangxiangjun 时间: 2009-12-1 05:57
支持大家先抗炎复查的结论。但病人年纪较大,又病史咯血,所以一定严格抗炎。
作者: gaoyang8 时间: 2009-12-1 07:03
加照右侧位片或ct排除右下肺占位性病变。
作者: 韦伟 时间: 2009-12-1 07:05
考虑两下肺感染性病变。抗炎后复查或ct检查。
作者: x-man 时间: 2009-12-1 07:39
双下肺感染性病变,右侧胸腔积液,建议治疗后复查。
作者: hexue 时间: 2009-12-1 07:42
考虑两下肺感染性病变。抗炎后复查或ct检查。
作者: muzi888 时间: 2009-12-1 19:08
两下肺感染;右侧胸腔积液,主动脉硬化;可疑肺血增多;建议ct检查了解详细情况
作者: 天鹰2008 时间: 2009-12-1 19:09
右侧胸膜属于陈旧性病变,左下肺野属支扩病变,慢支肺气肿合并肺部感染。
作者: yuebin 时间: 2009-12-1 19:58
考虑支扩合并两下肺感染性病变,右侧胸腔积液局部包裹。建议ct明确。
作者: sunbin 时间: 2009-12-2 01:48
两下肺感染性病变,抗炎治疗后复查,或ct检查。
作者: ydx_74 时间: 2009-12-2 04:12
考虑两下肺感染性病变
作者: xuan68 时间: 2009-12-2 04:27
两下肺感染性病变,抗炎治疗后复查,或ct检查
作者: zhanggenliang 时间: 2009-12-2 06:35
标题: 回复:x6625:m78,胸疼月余,咯血3天,
以下是引用吴医师在2009-11-30 13:14:00的发言:[br]两下肺片状密度不均增高影,边缘不清,两侧膈面不清,右侧肋膈角消失。主动脉弧形钙化影。考虑两下肺感染性病变。抗炎后复查或ct检查。
描述清晰,诊断明确。支持吴医师的帖子
作者: jinguoji 时间: 2010-1-16 07:20
两下肺感染性病变,抗炎后复查或ct检查。
| 欢迎光临 医影在线 (http://bbs.radida.com/bbs/) |
Powered by Discuz! X3.2 |