医影在线

标题: CT23368B:肺部外围弥慢性病变(补充) [打印本页]

作者: revenger    时间: 2009-12-1 06:06
标题: CT23368B:肺部外围弥慢性病变(补充)
ct23368:http://www.radida.com/bbs/forum.php?mod=viewthread&tid=60568
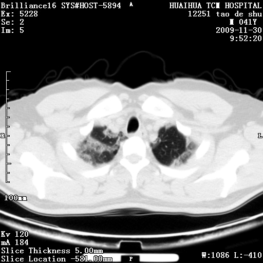
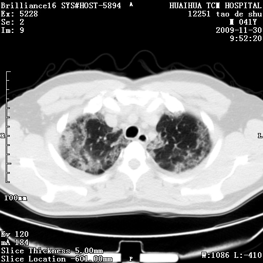
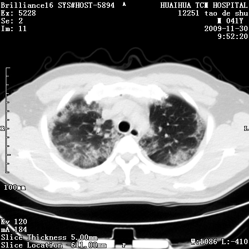
男性,41岁,林业局干部。5天前(2009-11-25)因受寒咳嗽发热在市一医院门诊就诊,胸片报告支管炎。门诊治疗无好转,遂转入我院住院治疗。现主要为发热,38度,咳嗽较轻。血象不高,中性72%,嗜酸性细胞未见报告。血小板8万。尿有蛋白管型。肝功能异常。心电图:阵发性心动过速。请分析ct是什么病。
补充图片:















































[本贴已被 jiajie 于 2009-12-1 8:08:09 修改过]

作者: masterle    时间: 2009-12-1 10:27
做咽拭子培养了吗?别是甲流!
作者: frzh    时间: 2009-12-1 16:05
肺窗图像太少,考虑间质性肺炎
作者: 深泽交通    时间: 2009-12-1 16:39
考虑非肺染 肝脏多发性小囊肿
作者: dkgwq    时间: 2009-12-1 17:00
两肺上叶炎性改变,查一下咽拭子培养考虑甲流?
作者: 听海观潮20    时间: 2009-12-1 18:29
两肺外带斑片状及磨玻璃样高密度灶,考虑感染性病变,过敏性肺炎不除外。
作者: 吴医师    时间: 2009-12-1 18:36
考虑间质性肺炎。肝脏多发性小囊肿
作者: zxl51642    时间: 2009-12-1 18:41
iip,肝脏多发性小囊肿
作者: muzi888    时间: 2009-12-1 18:44
两肺外带斑片状及磨玻璃样高密度灶,考虑感染性病变,过敏性肺炎不除外。
作者: shuiyuan    时间: 2009-12-1 19:06
考虑间质性肺炎。肝脏多发性小囊肿
作者: 秋生    时间: 2009-12-1 19:48
1、双肺感染性病变,查有无重症甲流
2、查过 hiv,不能除外pcp
作者: zjzjr    时间: 2009-12-1 20:39
血下板低,不会是出血合并感染吧,有咯血吗.




欢迎光临 医影在线 (http://bbs.radida.com/bbs/) Powered by Discuz! X3.2